• 中国科技期刊卓越行动计划项目资助期刊
  • 中国精品科技期刊
  • EI
  • Scopus
  • CAB Abstracts
  • Global Health
  • 北大核心期刊
  • DOAJ
  • EBSCO
  • 中国核心学术期刊RCCSE A+
  • 中国科技核心期刊CSTPCD
  • JST China
  • FSTA
  • 中国农林核心期刊
  • 中国开放获取期刊数据库COAJ
  • CA
  • WJCI
  • 食品科学与工程领域高质量科技期刊分级目录第一方阵T1
中国精品科技期刊2020
冯玲玲,冯进,李春阳. 海蜇Ⅰ型胶原蛋白的提取及结构特性研究[J]. 食品工业科技,2021,42(7):15−21. doi: 10.13386/j.issn1002-0306.2020050237.
引用本文: 冯玲玲,冯进,李春阳. 海蜇Ⅰ型胶原蛋白的提取及结构特性研究[J]. 食品工业科技,2021,42(7):15−21. doi: 10.13386/j.issn1002-0306.2020050237.
FENG Lingling, FENG Jin, LI Chunyang. Extraction and Structural Characteristics of Type I Collagen from Rhopilema esculenta [J]. Science and Technology of Food Industry, 2021, 42(7): 15−21. (in Chinese with English abstract). doi: 10.13386/j.issn1002-0306. 2020050237.
Citation: FENG Lingling, FENG Jin, LI Chunyang. Extraction and Structural Characteristics of Type I Collagen from Rhopilema esculenta [J]. Science and Technology of Food Industry, 2021, 42(7): 15−21. (in Chinese with English abstract). doi: 10.13386/j.issn1002-0306. 2020050237.

海蜇Ⅰ型胶原蛋白的提取及结构特性研究

Extraction and Structural Characteristics of Type I Collagen from Rhopilema esculenta

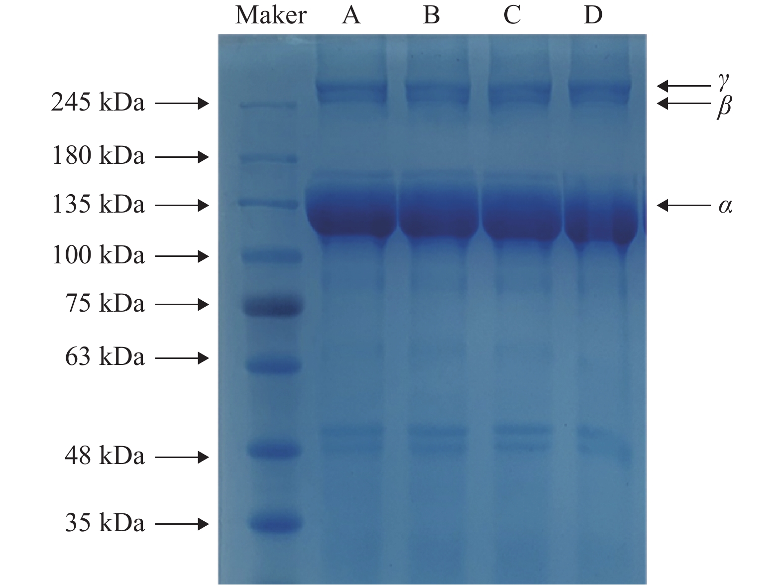
  • 摘要: 以海蜇为原料,采用盐酸-胃蛋白酶法提取胶原蛋白,并通过聚丙烯酰胺凝胶电泳(SDS-Polyacrylamide gel electrophoresis,SDS-PAGE)、紫外光谱(UV-visible spectroscopy,UV)、氨基酸分析、红外光谱(Fourier-transform infrared spectroscopy,FTIR)、圆二色谱(Circular dichroism,CD)以及扫描电镜(Scanning electron microscope,SEM)对其结构特性进行了系统全面的研究。结果显示,海蜇胶原蛋白在135 kDa左右有一条α-链,在245 kDa以上有一条β-链和γ-链,紫外吸收峰在233 nm处,符合I型胶原蛋白的特征,其亚基组成可能为α1(I)3。海蜇胶原蛋白中含量最高的氨基酸为甘氨酸,占氨基酸总量的25.99%,且含有15.94%的亚氨基酸。红外光谱和圆二色谱均表明海蜇胶原蛋白分子排布紧凑,具有主要由氢键构成的完整三螺旋结构。扫描电镜结果显示海蜇胶原蛋白具有多层聚集、以纤维为主的无规则网状结构。

     

    Abstract: In this study, collagen was extracted from Rhopilema esculenta using hydrochloric acid-pepsin methodology, and its detailed structure were characterized by SDS-Polyacrylamide gel electrophoresis (SDS-PAGE), UV-visible spectroscopy (UV), amino acid analysis, Fourier-transform infrared spectroscopy (FTIR), circular dichroism (CD), and scanning electron microscope (SEM). The SDS-PAGE pattern of Rhopilema esculenta collagen presented an α-chain at about 135 kDa with a β-chain and γ-chain above 245 kDa. In addition, the UV absorption peak of Rhopilema esculenta collagen was centered at 233 nm, revealing that the Rhopilema esculenta collagen herein adopted the feathers of type I collagen with a possible subunit composition of α1(I)3. The most abundant amino acid in Rhopilema esculenta collagen was glycine, accounting for 25.99% of the total amino acids. Besides, the collagen in this work contained 15.94% imino acid. Results of Fourier transform infrared spectroscopy and circular dichroism suggested that the Rhopilema esculenta collagen presented a compact triple helix structure that maintained primarily by hydrogen bonds. The images of Rhopilema esculenta collagen under SEM observation showed mainly irregular networks consist mainly of multilayered fibers.

     

/

返回文章
返回