• 中国科技期刊卓越行动计划项目资助期刊
  • 中国精品科技期刊
  • 首都科技期刊卓越行动计划
  • EI
  • Scopus
  • CAB Abstracts
  • Global Health
  • 北大核心期刊
  • DOAJ
  • EBSCO
  • 中国核心学术期刊RCCSE A+
  • 中国科技核心期刊CSTPCD
  • JST China
  • FSTA
  • 中国农林核心期刊
  • 中国开放获取期刊数据库COAJ
  • CA
  • WJCI
  • 食品科学与工程领域高质量科技期刊分级目录第一方阵T1
中国精品科技期刊2020
马文君,滕琳,王培培,等. 基因共表达对人源LysoPLD异源可溶性表达、纯化及酶学性质的影响J. 食品工业科技,2021,42(7):102−109. doi: 10.13386/j.issn1002-0306.2020060091.
引用本文: 马文君,滕琳,王培培,等. 基因共表达对人源LysoPLD异源可溶性表达、纯化及酶学性质的影响J. 食品工业科技,2021,42(7):102−109. doi: 10.13386/j.issn1002-0306.2020060091.
MA Wenjun, TENG Lin, WANG Peipei, et al. Effect of Gene Co-expression on Heterologous Soluble Expression,Purification and Enzymatic Properties of Human LysoPLDJ. Science and Technology of Food Industry, 2021, 42(7): 102−109. (in Chinese with English abstract). doi: 10.13386/j.issn1002-0306.2020060091.
Citation: MA Wenjun, TENG Lin, WANG Peipei, et al. Effect of Gene Co-expression on Heterologous Soluble Expression,Purification and Enzymatic Properties of Human LysoPLDJ. Science and Technology of Food Industry, 2021, 42(7): 102−109. (in Chinese with English abstract). doi: 10.13386/j.issn1002-0306.2020060091.

基因共表达对人源LysoPLD异源可溶性表达、纯化及酶学性质的影响

Effect of Gene Co-expression on Heterologous Soluble Expression,Purification and Enzymatic Properties of Human LysoPLD

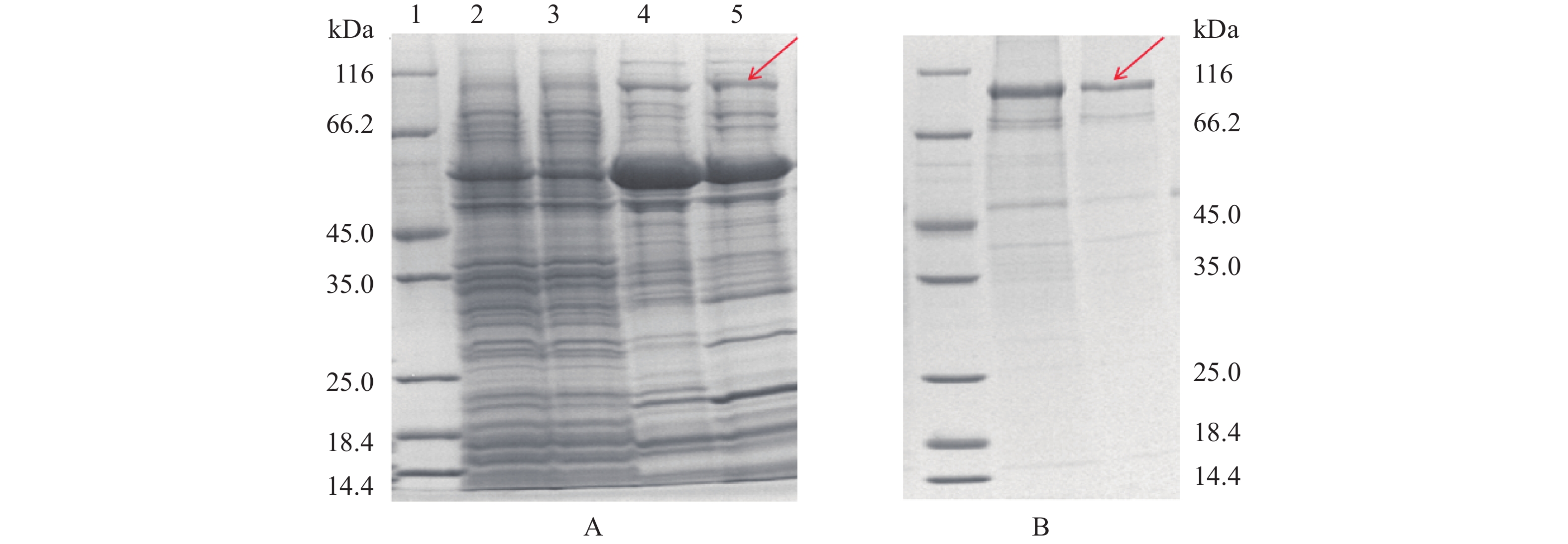
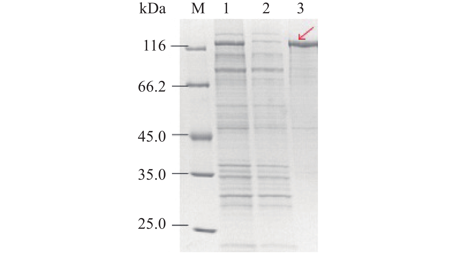
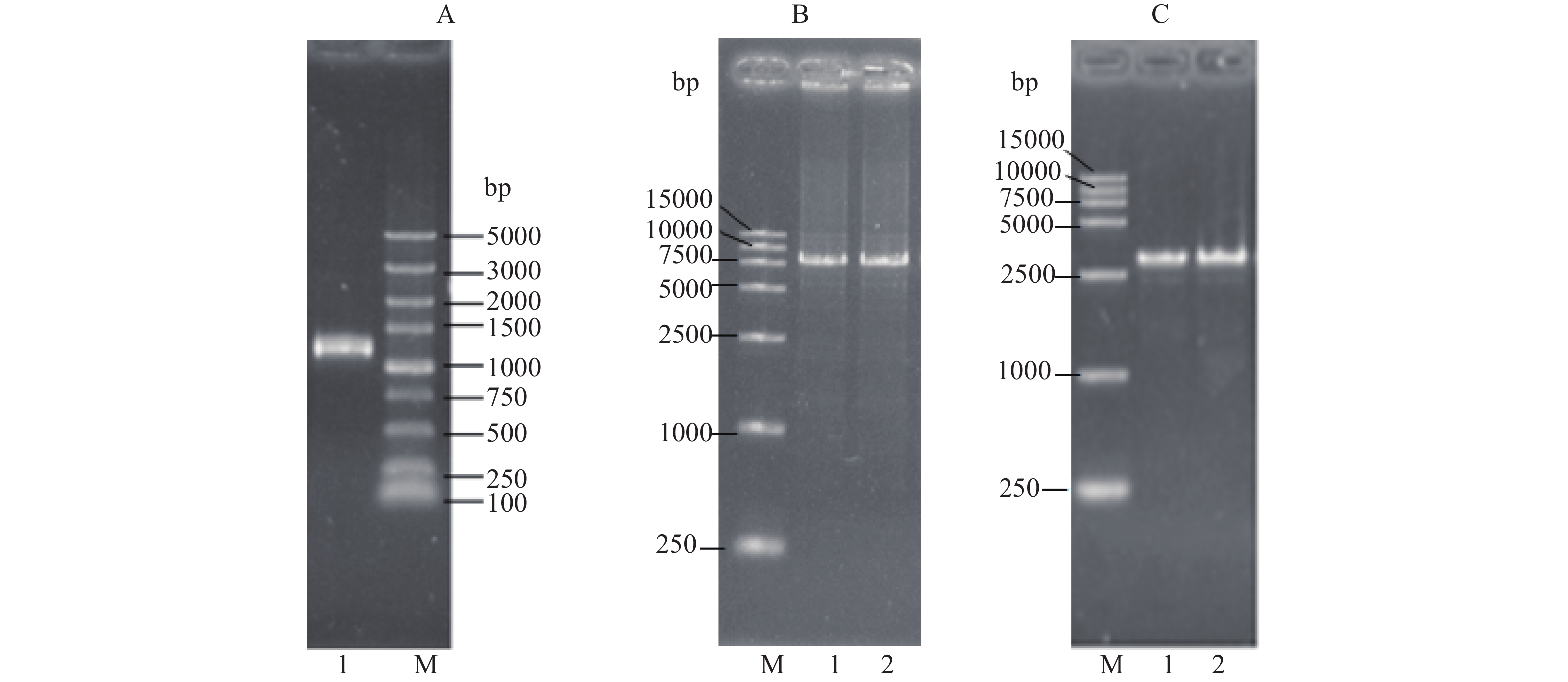
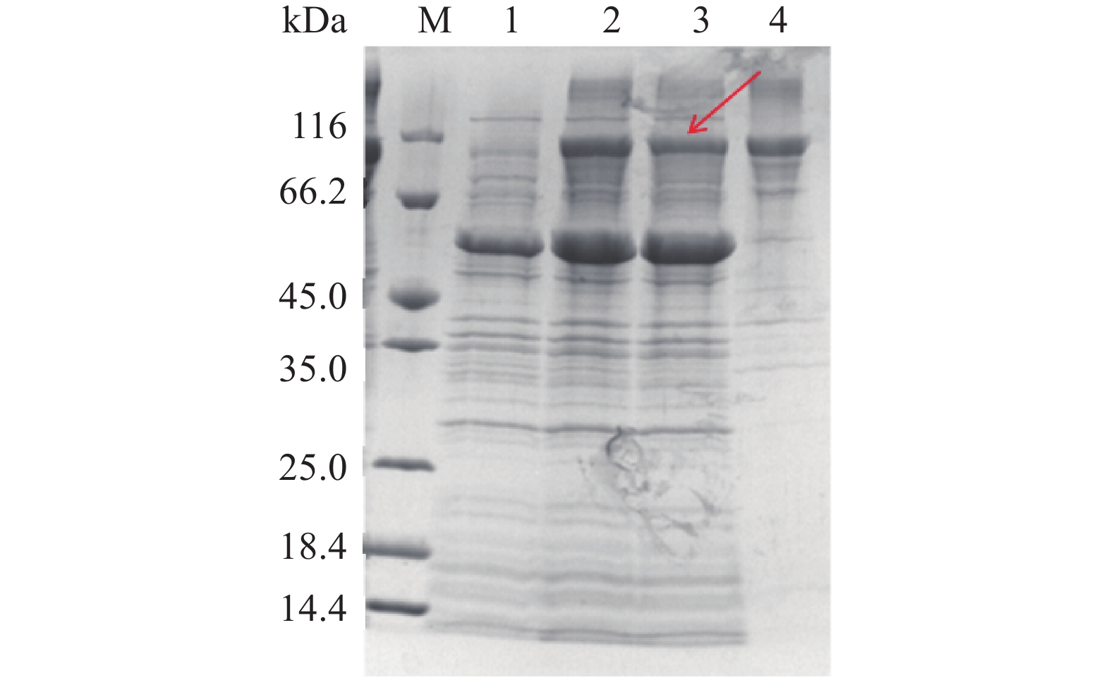
  • 摘要: 目的:为实现人源溶血磷脂酶D(LysoPLD)的原核异源可溶性表达。方法:通过NCBI检索,确定人源LysoPLD基因序列(GenBank: L46720.1)。采用密码子优化后的序列,克隆至pET-28a表达载体中,采用共表达麦芽糖结合蛋白融合标签(MBP)和共表达促蛋白正确折叠分子伴侣触发因子Trigger factor(tig)两种方式提高LysoPLD蛋白在大肠杆菌中的异源可溶性表达,建立对应蛋白的纯化工艺包括离子柱纯化,硫酸铵盐析,疏水柱纯化,淀粉树脂柱(Amylose Resin)纯化,分离纯化获得的重组酶,经聚丙烯酰胺凝胶电泳(SDS-PAGE)测定蛋白纯度,以对羟基棕榈酸酯为底物对比两种蛋白的酶学性质。结果:成功构建载体pET28a-MBP-LysoPLD和pET28a-pTF16-LysoPLD,并获得工程菌BL21(DE3)-pET28a-MBP-LysoPLD和BL21(DE3)-pET28a-pTf16-LysoPLD。BL21(DE3)-pET28a-MBP-LysoPLD经0.6 mmol/L异丙基硫代半乳糖苷(IPTG)低温诱导过夜可获得上清表达的MBP-LysoPLD蛋白;BL21(DE3)-pET28a-pTf16-LysoPLD在含有0.5 μg/mL L-Arabinose的LB培养基中培养,经0.1 mmol/L IPTG低温诱导表达,可获得可溶性表达的LysoPLD蛋白,经纯化,酶纯度可大于80%。以对羟基棕榈酸酯为底物,对比两种方法得到的蛋白的酶学性质,发现二者催化反应的最适温度、最适pH、最适Ca2+浓度、比酶活基本一致。结论:两种基因共表达方式都可实现人源LysoPLD的在大肠杆菌中的可溶性表达,且酶学性质基本相同。

     

    Abstract: Objective:This study aimed to express soluble human LysoPLD in Escherichia coli.Methods:Human LysoPLD gene sequence (GenBank: L46720.1) was retrieved from NCBI and synthesized chemically. The codon optimized sequence was cloned into pET-28a vector and transformed to the E.coli BL2(DE3) strain which was co-expressed with maltose binding protein fusion tag (MBP) or co-expressed with a pTF16 chaperone plasmid, then induced by isopropyl thiogalactoside (IPTG). The downstream purification process was established, including ion column elution, ammonium sulfate salting out, hydrophobic column purification, and amylose resin purification. The LysoPLD purity was determined by polyacrylamide gel electrophoresis (SDS-PAGE) and the enzymatic properties were determined by catalytic reaction of p-hydroxypalmitate.Results:The plasmids pET28a-MBP-LysoPLD and pET28a-pTf16-LysoPLD were constructed, then transformed into the E.coli BL21(DE3) strain respectively. BL21(DE3)-pET28a-MBP-LysoPLD was induced by 0.6 mmol/L IPTG, and incubated overnight to obtain MBP-LysoPLD protein; BL21(DE3)-pET28a-pTF16-LysoPLD was cultured in LB medium containing 0.5 µg/mL L-arabinose then induced by 0.1 mmol/L IPTG, the soluble LysoPLD was obtained. After downstream purification, the purity of the human LysoPLDs expressed through both methods were more than 80%. It was found that using p-hydroxypalmitate as substrate, the optimum reaction conditions including optimal temperature, pH and Ca2+ concentration for both LysoPLDs were basically the same.Conclusion:In this study, two different methods for improving soluble expression of human LysoPLD in E.coli were established and proved to be successful. The purified human LysoPLDs were enzymatically active, and the enzymatic activity were basically the same.

     

/

返回文章
返回