• 中国科技期刊卓越行动计划项目资助期刊
  • 中国精品科技期刊
  • 首都科技期刊卓越行动计划
  • EI
  • Scopus
  • CAB Abstracts
  • Global Health
  • 北大核心期刊
  • DOAJ
  • EBSCO
  • 中国核心学术期刊RCCSE A+
  • 中国科技核心期刊CSTPCD
  • JST China
  • FSTA
  • 中国农林核心期刊
  • 中国开放获取期刊数据库COAJ
  • CA
  • WJCI
  • 食品科学与工程领域高质量科技期刊分级目录第一方阵T1
中国精品科技期刊2020
代媛媛,李美莹,李琳,等. 加工方式对牛肉蛋白质氧化的影响J. 食品工业科技,2022,43(2):70−76. doi: 10.13386/j.issn1002-0306.2021040226.
引用本文: 代媛媛,李美莹,李琳,等. 加工方式对牛肉蛋白质氧化的影响J. 食品工业科技,2022,43(2):70−76. doi: 10.13386/j.issn1002-0306.2021040226.
DAI Yuanyuan, LI Meiying, LI Lin, et al. Effect of Processing Methods on Protein Oxidation of BeefJ. Science and Technology of Food Industry, 2022, 43(2): 70−76. (in Chinese with English abstract). doi: 10.13386/j.issn1002-0306.2021040226.
Citation: DAI Yuanyuan, LI Meiying, LI Lin, et al. Effect of Processing Methods on Protein Oxidation of BeefJ. Science and Technology of Food Industry, 2022, 43(2): 70−76. (in Chinese with English abstract). doi: 10.13386/j.issn1002-0306.2021040226.

加工方式对牛肉蛋白质氧化的影响

Effect of Processing Methods on Protein Oxidation of Beef

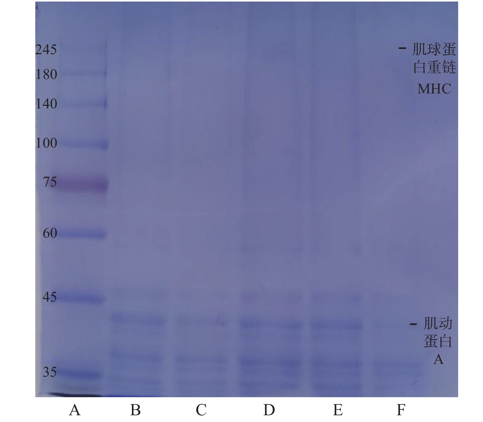
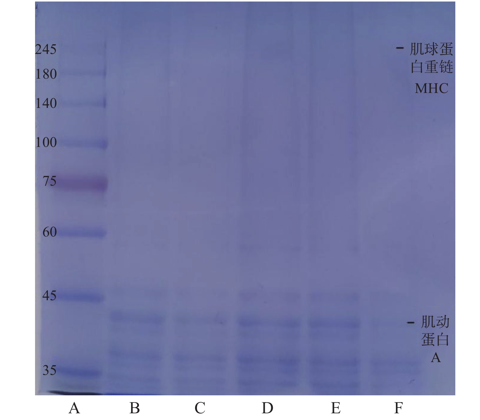
  • 摘要: 为了研究热加工过程中蛋白质氧化的变化规律,以牛腱子和牛肩为研究对象,对其进行不同温度(40、50、60、70、80、90、100 ℃,保温时间30 min)以及70 kPa高压下保温不同时间(15、20、25、30、35 min)的热处理,通过分析羰基含量、巯基含量、蛋白粒径、表面疏水性、SDS-PAGE电泳以及蛋白二级结构等的变化,结果表明:温度可以导致蛋白羰基含量增加,巯基含量先升高后降低,蛋白粒径增大,蛋白表面疏水性先增大后减小;高压导致蛋白羰基含量增加,巯基含量减少,蛋白粒径先增大后减少,蛋白疏水性逐渐增加。另外,不同热处理下肌原纤维蛋白发生了明显的降解聚集,出现大量小分子蛋白质。红外研究发现在热加工过程中,肌原纤维蛋白的二级结构不断转变,促使α-螺旋、β-折叠和无规则卷曲之间的转换。可知,温度和压力都能促进牛肉蛋白的氧化并能够改变牛肉蛋白的化学作用力及二级结构。本研究为低温牛肉产品的工业化调控提供理论依据。

     

    Abstract: In order to study the changes of protein oxidation during heat processing, cattle tendon and shoulder were treated at different temperatures (40, 50, 60, 70, 80, 90, 100 ℃, holding time 30 min) and at 70 kPa high pressure for different times (15, 20, 25, 30, 35 min). The changes of carbonyl content, sulfhydryl content, protein particle size, surface hydrophobicity, SDS-PAGE electrophoresis and protein secondary structure were analyzed. The results showed that temperature could lead to the increasing of protein carbonyl content, sulfhydryl content first increased and then decreased, protein particle size increased, protein surface hydrophobicity first increased and then decreased. High pressure resulted in the increasing of protein carbonyl content, the decreasing of protein sulfhydryl content, the increasing of protein particle size and the increasing of protein hydrophobicity. In addition, myofibrillar proteins were degraded and aggregated obviously under different heat treatments, and a large number of small molecular proteins appeared. Infrared studies showed that the secondary structure of myofibrillar protein changes during heat processing, which urged the formation of the secondary structure of myofibrillar protein α-spiral β-the conversion between folding and irregular curling. It was concluded that temperature and pressure could promote the oxidation of beef protein and change the chemical force and secondary structure of beef protein. This study would provide a theoretical basis for the industrial regulation of low-temperature beef products.

     

/

返回文章
返回