• 中国科技期刊卓越行动计划项目资助期刊
  • 中国精品科技期刊
  • 首都科技期刊卓越行动计划
  • EI
  • Scopus
  • CAB Abstracts
  • Global Health
  • 北大核心期刊
  • DOAJ
  • EBSCO
  • 中国核心学术期刊RCCSE A+
  • 中国科技核心期刊CSTPCD
  • JST China
  • FSTA
  • 中国农林核心期刊
  • 中国开放获取期刊数据库COAJ
  • CA
  • WJCI
  • 食品科学与工程领域高质量科技期刊分级目录第一方阵T1
中国精品科技期刊2020
胡颜寓,陈凤颖,曹文琪,等. 加热方式和加热时间对鱼类明胶理化性质的影响J. 食品工业科技,2022,43(2):77−83. doi: 10.13386/j.issn1002-0306.2021040246.
引用本文: 胡颜寓,陈凤颖,曹文琪,等. 加热方式和加热时间对鱼类明胶理化性质的影响J. 食品工业科技,2022,43(2):77−83. doi: 10.13386/j.issn1002-0306.2021040246.
HU Yanyu, CHEN Fengying, CAO Wenqi, et al. Effect of Heating Method and Heating Time on Physicochemical Properties of Fish GelatinJ. Science and Technology of Food Industry, 2022, 43(2): 77−83. (in Chinese with English abstract). doi: 10.13386/j.issn1002-0306.2021040246.
Citation: HU Yanyu, CHEN Fengying, CAO Wenqi, et al. Effect of Heating Method and Heating Time on Physicochemical Properties of Fish GelatinJ. Science and Technology of Food Industry, 2022, 43(2): 77−83. (in Chinese with English abstract). doi: 10.13386/j.issn1002-0306.2021040246.

加热方式和加热时间对鱼类明胶理化性质的影响

Effect of Heating Method and Heating Time on Physicochemical Properties of Fish Gelatin

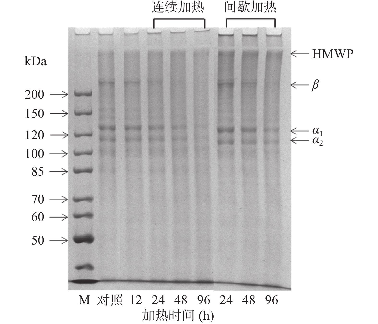
  • 摘要: 为探究加热方式和加热时间对鱼类明胶理化性质的影响,对加热明胶溶液的蛋白组成、粘度、流变性质和热稳定性,以及明胶凝胶的强度、质构(texture profile analysis,TPA)参数和微观结构进行分析和比较。结果显示,鱼类明胶溶液的粘度、流变性质及热稳定性随加热时间的增加而明显降低,但间歇加热明胶中这些性质的变化幅度均低于连续加热明胶。连续加热明胶至48 h时电泳图谱中β条带消失,96 h时α1α2亚基明显降解,而当间歇加热明胶至96 h时β条带才消失。鱼类明胶形成的凝胶其强度和TPA参数随热处理时间的延长逐渐减小,但间歇加热明胶的凝胶形成能力优于连续加热明胶。扫描电子显微镜结果显示,连续加热的凝胶表面光滑平整,而间歇加热凝胶的结构更加粗糙且多孔隙。研究结果表明,间歇加热及加热时间小于12 h有利于减少明胶热降解。

     

    Abstract: In order to explore the effect of heating method and heating time on physicochemical properties of fish gelatin, the protein composition, viscosity, rheological properties and thermal stability of heated gelatin solutions, and the gel strength, texture profile analysis (TPA) parameters and microstructure of gelatin gels were analyzed and compared. The results showed that the viscosity, rheological properties and thermal stability of fish gelatin solutions decreased significantly with the increase of heating time, while the change extents of these properties in the intermittent heated gelatin were less than those in the continuous heated gelatin. When gelatin was heated for 48 h continuously, the β band disappeared in the electrophoresis pattern, and the α1 and α2 subunits degraded obviously after being heated for 96 h. When gelatin was heated for 96 h intermittently, the β band disappeared. The gel strength and TPA parameters of the gel prepared by fish gelatin gradually decreased with the increase of heating time, whereas the gel properties of the intermittent heated gelatin were superior to those of the continuous heated gelatin. Scanning electron microscope results showed that the surfaces of continuous heated gels were smooth and flat, while the structure of gel prepared by intermittent heated gelatin was rougher and more porous. The results suggested that intermittent heating and the heating less than 12 h could reduce the heat degradation of gelatin.

     

/

返回文章
返回