• 中国科技期刊卓越行动计划项目资助期刊
  • 中国精品科技期刊
  • EI
  • Scopus
  • CAB Abstracts
  • Global Health
  • 北大核心期刊
  • DOAJ
  • EBSCO
  • 中国核心学术期刊RCCSE A+
  • 中国科技核心期刊CSTPCD
  • JST China
  • FSTA
  • 中国农林核心期刊
  • 中国开放获取期刊数据库COAJ
  • CA
  • WJCI
  • 食品科学与工程领域高质量科技期刊分级目录第一方阵T1
中国精品科技期刊2020
葛雨杭,陈美汐,孙博,等. 木聚糖酶TgXyn2的酶学特性研究J. 食品工业科技,2022,43(4):138−144. doi: 10.13386/j.issn1002-0306.2021060100.
引用本文: 葛雨杭,陈美汐,孙博,等. 木聚糖酶TgXyn2的酶学特性研究J. 食品工业科技,2022,43(4):138−144. doi: 10.13386/j.issn1002-0306.2021060100.
GE Yuhang, CHEN Meixi, SUN Bo, et al. Enzymatic Characterization of Xylanase TgXyn2J. Science and Technology of Food Industry, 2022, 43(4): 138−144. (in Chinese with English abstract). doi: 10.13386/j.issn1002-0306.2021060100.
Citation: GE Yuhang, CHEN Meixi, SUN Bo, et al. Enzymatic Characterization of Xylanase TgXyn2J. Science and Technology of Food Industry, 2022, 43(4): 138−144. (in Chinese with English abstract). doi: 10.13386/j.issn1002-0306.2021060100.

木聚糖酶TgXyn2的酶学特性研究

Enzymatic Characterization of Xylanase TgXyn2

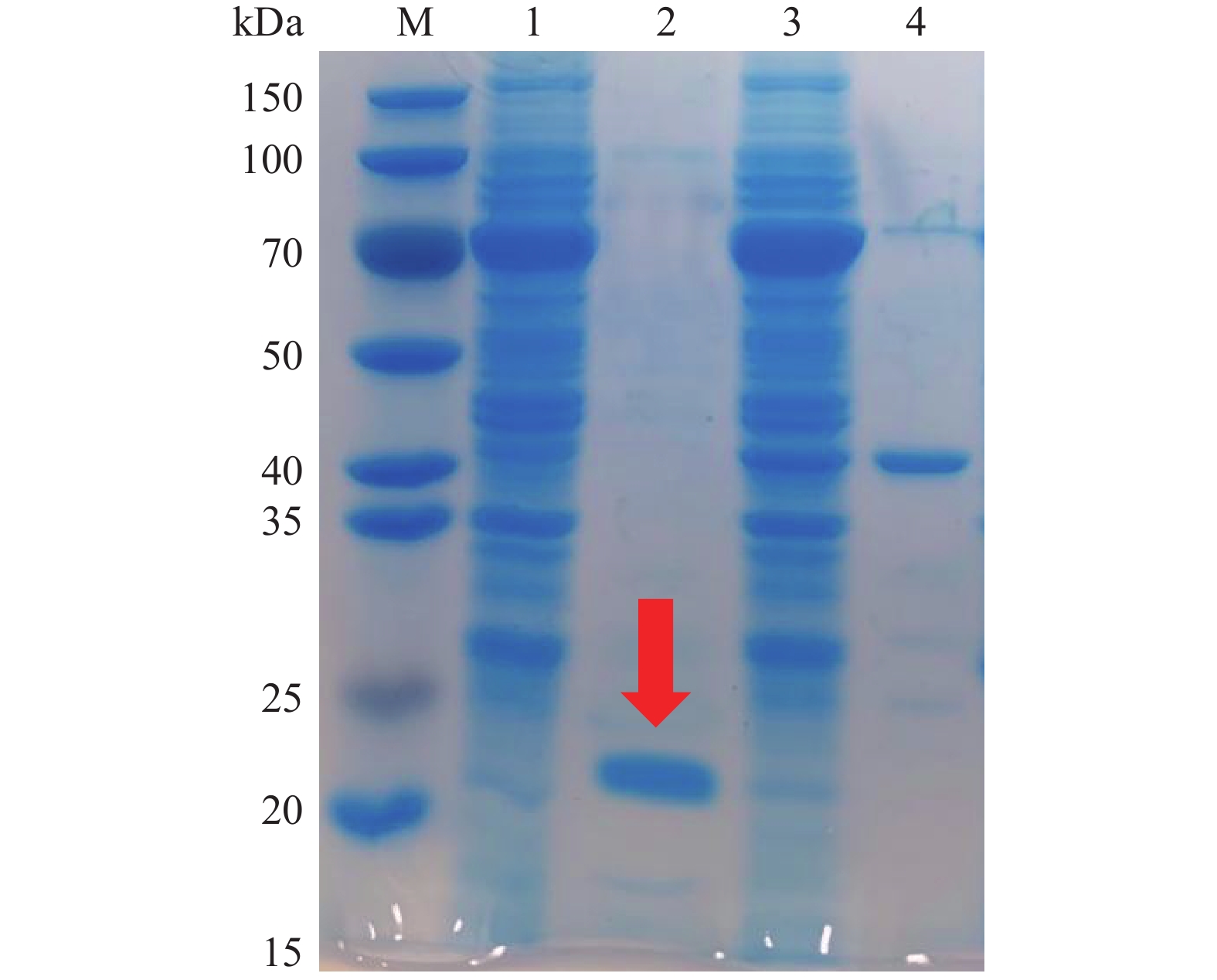
  • 摘要: 目的:本研究旨在发掘和研究一种新的低温酸性内切- 1,4 -β-木聚糖酶TgXyn2并研究其酶学特性,为其在食品等轻工业生产中的实际应用提供理论依据。方法:利用pCold-TF表达质粒在大肠杆菌中异源表达,纯化后检测其酶学特性,并通过同源建模分析其三维结构。结果:该酶的最适温度为35 ℃,最适pH为5.0,Km为1.287 μmol L−1,Vmax为2.083 μmol min−1 mg−1;同源建模结果表明,TgXyn2由2个反向平行的β-折叠和1个α-螺旋构成,是典型的糖苷水解酶GH11家族木聚糖酶。结论:本文研究的TgXyn2具有良好的酶学特性,在食品等行业具有较好的应用潜力。

     

    Abstract: Objectives: This study aimed to discover a acidic xylanase TgXyn2 with high enzymatic activities at low temperatures, which might have potential application in food industry. Method: TgXyn2 was heterologously expressed in E.coli with the expression vector pCold-TF. Results: The optimum reaction condition of TgXyn2 was 35 ℃ and pH5.0, respectively. Its Km was 1.287 μmol L−1 and Vmax was 2.083 μmol min−1 mg−1. Homology modeling showed that TgXyn2 had two antiparallel β-sheets and an α-helix, which was typical for the GH11 family. Conclusions: TgXyn2 had good enzymatic activities, which has potential application in food industry.

     

/

返回文章
返回