• 中国科技期刊卓越行动计划项目资助期刊
  • 中国精品科技期刊
  • 首都科技期刊卓越行动计划
  • EI
  • Scopus
  • CAB Abstracts
  • Global Health
  • 北大核心期刊
  • DOAJ
  • EBSCO
  • 中国核心学术期刊RCCSE A+
  • 中国科技核心期刊CSTPCD
  • JST China
  • FSTA
  • 中国农林核心期刊
  • 中国开放获取期刊数据库COAJ
  • CA
  • WJCI
  • 食品科学与工程领域高质量科技期刊分级目录第一方阵T1
中国精品科技期刊2020
冯越,张美红,李笑影,等. 柑橘采后病原菌意大利青霉PacC基因的克隆及表达分析J. 食品工业科技,2022,43(4):145−152. doi: 10.13386/j.issn1002-0306.2021060169.
引用本文: 冯越,张美红,李笑影,等. 柑橘采后病原菌意大利青霉PacC基因的克隆及表达分析J. 食品工业科技,2022,43(4):145−152. doi: 10.13386/j.issn1002-0306.2021060169.
FENG Yue, ZHANG Meihong, LI Xiaoying, et al. Cloning and Expression Analysis of PacC from Penicillium italicum of Citrus Fruits Postharvest PathogenJ. Science and Technology of Food Industry, 2022, 43(4): 145−152. (in Chinese with English abstract). doi: 10.13386/j.issn1002-0306.2021060169.
Citation: FENG Yue, ZHANG Meihong, LI Xiaoying, et al. Cloning and Expression Analysis of PacC from Penicillium italicum of Citrus Fruits Postharvest PathogenJ. Science and Technology of Food Industry, 2022, 43(4): 145−152. (in Chinese with English abstract). doi: 10.13386/j.issn1002-0306.2021060169.

柑橘采后病原菌意大利青霉PacC基因的克隆及表达分析

Cloning and Expression Analysis of PacC from Penicillium italicum of Citrus Fruits Postharvest Pathogen

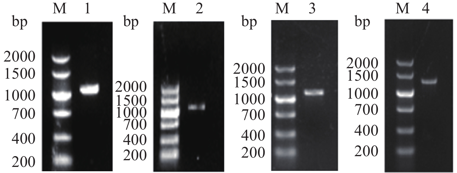
  • 摘要: 为初步分析柑橘采后病原菌意大利青霉(Penicillium italicum)pH信号传导途径中转录因子PacC的功能特性,克隆了PacC基因并对其进行生物信息学和表达模式分析。结果表明:PacC基因全长1921 bp,有1个内含子,编码蛋白质的氨基酸数量为636个,共包含3个转录因子典型的锌指蛋白结构域。进化树分析显示,PacC与指状青霉(Penicillium digitatum)和产黄青霉(Penicillium chrysogenum)亲缘关系较近。离体培养条件下PacC在意大利青霉生长中稳定表达;培养基pH影响意大利青霉生长与PacC表达,酸性条件下表达量显著下调(P<0.05),碱性条件下表达量显著上调(P<0.05);碳源条件影响该基因表达,葡萄糖饥饿和回补均显著提高PacC表达(P<0.05);低浓度蔗糖引起培养液pH碱化,显著刺激PacC表达(P<0.05),高浓度蔗糖引起培养液pH酸化,PacC表达逐渐下调(P<0.05)。活体结果表明,不同品种柑橘果实接种意大利青霉会导致果皮pH下降;接种初始pH影响意大利青霉的致病力,PacC在侵染柑橘果实期间表达较为稳定。这些结果表明,环境pH和碳源供应均能影响意大利青霉PacC表达,影响意大利青霉的致病性。

     

    Abstract: In order to analyze the function of PacC, a pH-signaling transcription factor of Penicillium italicum, which was a postharvest pathogen of citrus fruits. The gene had 1921 bp cDNA and an intron, which encoded 636 amino acids and contains three typical zinc finger domains of transcription factors. Phylogenetic tree analysis showed that the PacC was clustered with Penicillium digitatum and Penicillium chrysogenum. In vitro test, the PacC gene was stably expressed during the growth of P.italicum. The pH of the medium affected the growth of P.italicum and the expression level of PacC, and the expression level was significantly down-regulated under acidic conditions(P<0.05), but significantly up-regulated under alkaline conditions(P<0.05). Carbon source conditions affected the expression of PacC. The expression of PacC was significantly increased by glucose starvation and supplementation(P<0.05). The pH alkalization of the medium was caused by low concentration sucrose, which significantly stimulated the expression of PacC(P<0.05), while the pH acidification of the medium was caused by high concentration sucrose, which gradually decreased the expression of PacC(P<0.05). In vivo test, the inoculation of different citrus varieties with P.italicum would lead to the decrease of citrus peel, and the initial pH of inoculation had an important effect on the pathogenicity of P.italicum. The PacC gene was stably expressed throughout the infection process of P.italicum on citrus. These results indicated that both environmental pH and carbon source could affect the expression of PacC and the pathogenicity of P.italicum.

     

/

返回文章
返回