• 中国科技期刊卓越行动计划项目资助期刊
  • 中国精品科技期刊
  • EI
  • Scopus
  • CAB Abstracts
  • Global Health
  • 北大核心期刊
  • DOAJ
  • EBSCO
  • 中国核心学术期刊RCCSE A+
  • 中国科技核心期刊CSTPCD
  • JST China
  • FSTA
  • 中国农林核心期刊
  • 中国开放获取期刊数据库COAJ
  • CA
  • WJCI
  • 食品科学与工程领域高质量科技期刊分级目录第一方阵T1
中国精品科技期刊2020
李征远,徐恋恋,孙建云,等. TRPV4原核表达纯化系统的构建及生物信息学分析[J]. 食品工业科技,2022,43(3):137−144. doi: 10.13386/j.issn1002-0306.2021060280.
引用本文: 李征远,徐恋恋,孙建云,等. TRPV4原核表达纯化系统的构建及生物信息学分析[J]. 食品工业科技,2022,43(3):137−144. doi: 10.13386/j.issn1002-0306.2021060280.
LI Zhengyuan, XU Lianlian, SUN Jianyun, et al. Construction and Bioinformatics Analysis of TRPV4 Prokaryotic Expression Purification System[J]. Science and Technology of Food Industry, 2022, 43(3): 137−144. (in Chinese with English abstract). doi: 10.13386/j.issn1002-0306.2021060280.
Citation: LI Zhengyuan, XU Lianlian, SUN Jianyun, et al. Construction and Bioinformatics Analysis of TRPV4 Prokaryotic Expression Purification System[J]. Science and Technology of Food Industry, 2022, 43(3): 137−144. (in Chinese with English abstract). doi: 10.13386/j.issn1002-0306.2021060280.

TRPV4原核表达纯化系统的构建及生物信息学分析

Construction and Bioinformatics Analysis of TRPV4 Prokaryotic Expression Purification System

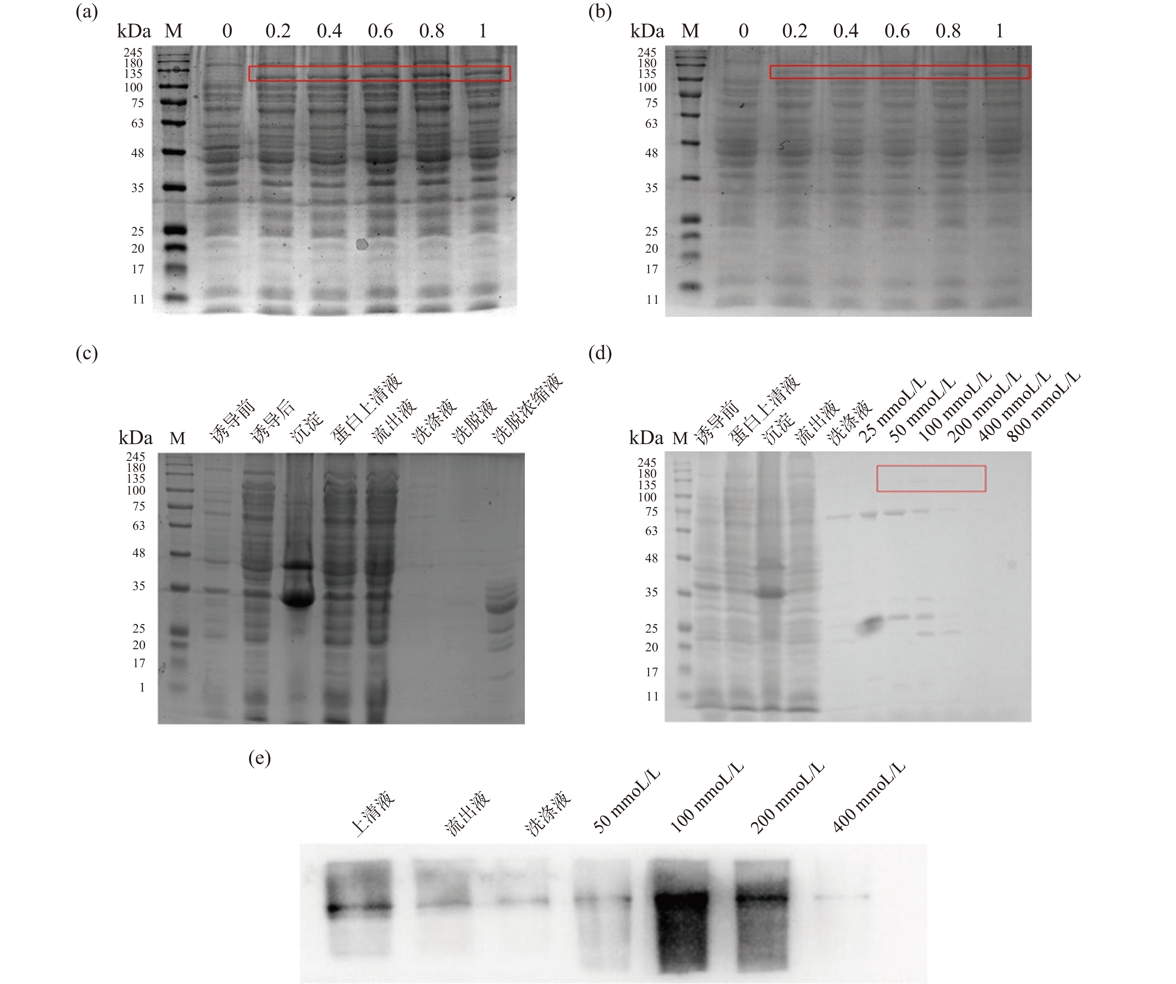
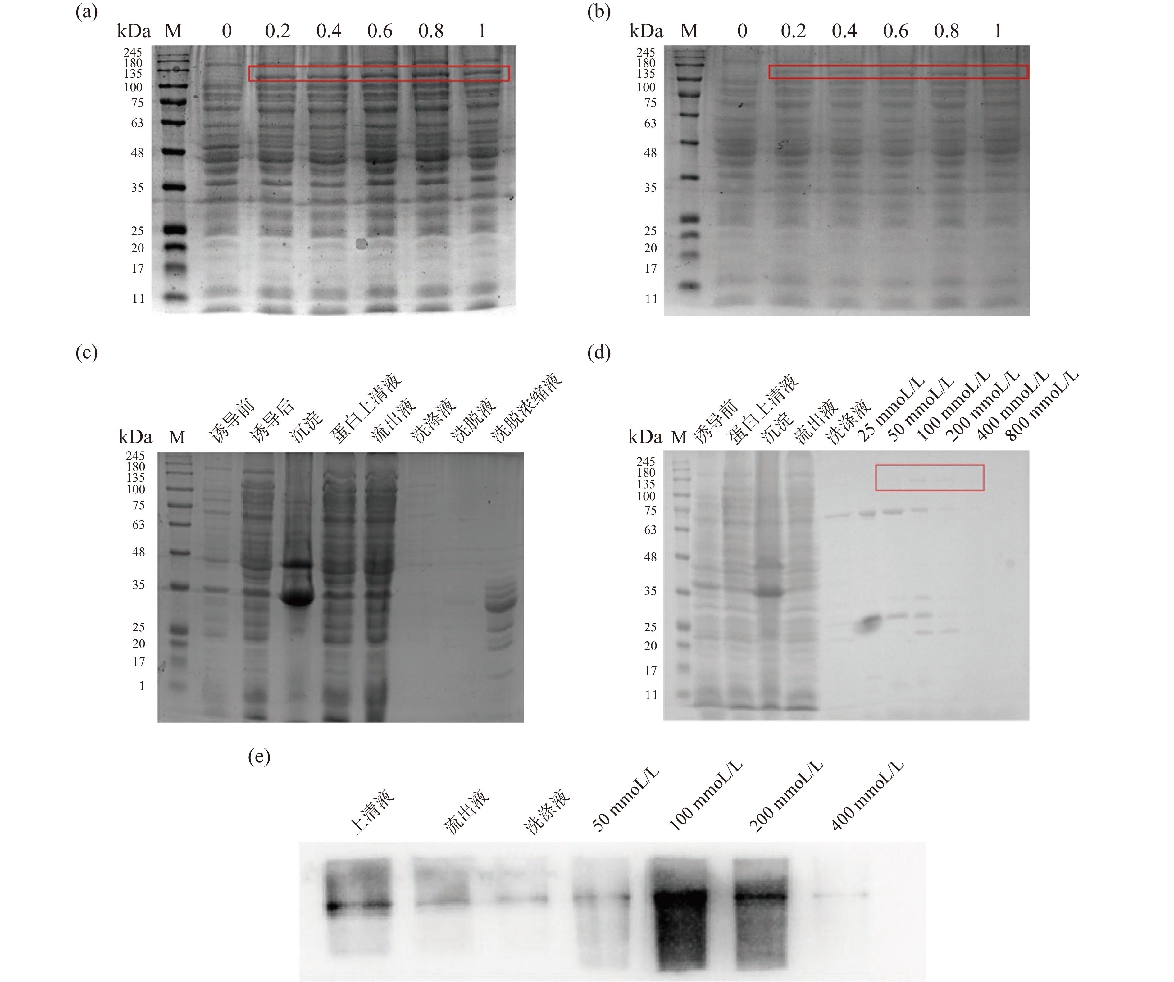
  • 摘要: 目的:构建非选择性阳离子通道蛋白TRPV4的原核表达纯化系统,并对其进行生物信息学分析,为与该目标蛋白相关疾病的研究和药物活性成分筛选提供技术支持。方法:将人源TRPV4基因分别克隆至pET-28a(+)、pET-32a、pET-15b、pGEX-5X-1、pEX-4T和pGEX-6p-1等6种表达载体,并利用BL21和Rossetta两种大肠杆菌表达宿主构建TRPV4原核表达系统。采用谷胱甘肽亲和层析和镍柱亲和层析法分离纯化目标蛋白。通过生物信息学技术对目标蛋白进行分析,获得其相应的理化性质和结构参数。结果:利用pGEX-6p-1载体和Rossetta构建了GST-TRPV4和GST-TRPV4-6his融合蛋白原核表达系统。诱导表达目标蛋白的IPTG浓度为0.6 mmol/L时,GST-TRPV4融合蛋白有明显表达,IPTG浓度为0.4 mmol/L时,GST-TRPV4-6his融合蛋白有明显表达,表达温度均为18 ℃。纯化GST-TRPV4-6his融合蛋白时,咪唑溶液在100 mmol/L或200 mmol/L时可以得到完整的GST-TRPV4-6his融合蛋白。结论:本文首次在原核表达系统中成功构建和表达纯化了人源TRPV4离子通道蛋白,并利用生物信息学分析解析了该蛋白的理化性质,为后续高纯度大量表达和进一步研究奠定了良好的基础。

     

    Abstract: Objective: This study aimed to construct the prokaryotic expression and purification system of non-selective cation channel TRPV4 protein and to carry out bioinformatics analysis to provide technical support for the study of diseases related to the target protein and the screening of drug active ingredients. Methods: The human TRPV4 gene was cloned into pET-28a(+), pET-32a, pET-15b, pGEX-5X-1, pEX-4T and pGEX-6p-1, respectively, and the prokaryotic expression system of TRPV4 was constructed using two E.coli expression hosts, BL21 and Rossetta. The target protein was isolated and purified by glutathione affinity chromatography and nickel column affinity chromatography. The target protein was analyzed by bioinformatics technology to obtain its corresponding physical, chemical properties and structural parameters. Results: The prokaryotic expression system of GST-TRPV4 and GST-TRPV4-6his fusion proteins was constructed using pGEX-6p-1 vector and Rossetta. The GST-TRPV4 fusion protein was significantly expressed when the IPTG concentrationwas 0.6 mmol/L, and the GST-TRPV4-6his fusion protein was significantly expressed when the IPTG concentration was 0.4 mmol/L, and the expression temperature was 18 ℃. When GST-TRPV4-6his fusion protein was purified, the complete GST-TRPV4-6his fusion protein could be obtained by imidazole solution at 100 mmol/L or 200 mmol/L. Conclusion: In this paper, human TRPV4 ion channel protein was successfully constructed, expressed and purified in prokaryotic expression system for the first time, and the physicochemical properties of the protein were analyzed by bioinformatics, which laid a good foundation for subsequent high-purity mass expression and further study.

     

/

返回文章
返回