• 中国科技期刊卓越行动计划项目资助期刊
  • 中国精品科技期刊
  • 首都科技期刊卓越行动计划
  • EI
  • Scopus
  • CAB Abstracts
  • Global Health
  • 北大核心期刊
  • DOAJ
  • EBSCO
  • 中国核心学术期刊RCCSE A+
  • 中国科技核心期刊CSTPCD
  • JST China
  • FSTA
  • 中国农林核心期刊
  • 中国开放获取期刊数据库COAJ
  • CA
  • WJCI
  • 食品科学与工程领域高质量科技期刊分级目录第一方阵T1
中国精品科技期刊2020
崔宝程,黄姣,李佳欣,等. 基于氨基酸热点突变对腈水合酶底物亲和力的改造J. 食品工业科技,2022,43(7):148−154. doi: 10.13386/j.issn1002-0306.2021080147.
引用本文: 崔宝程,黄姣,李佳欣,等. 基于氨基酸热点突变对腈水合酶底物亲和力的改造J. 食品工业科技,2022,43(7):148−154. doi: 10.13386/j.issn1002-0306.2021080147.
CUI Baocheng, HUANG Jiao, LI Jiaxin, et al. Modification of Substrate Affinity of Nitrile Hydratase Based on Amino Acid Hotspot MutationJ. Science and Technology of Food Industry, 2022, 43(7): 148−154. (in Chinese with English abstract). doi: 10.13386/j.issn1002-0306.2021080147.
Citation: CUI Baocheng, HUANG Jiao, LI Jiaxin, et al. Modification of Substrate Affinity of Nitrile Hydratase Based on Amino Acid Hotspot MutationJ. Science and Technology of Food Industry, 2022, 43(7): 148−154. (in Chinese with English abstract). doi: 10.13386/j.issn1002-0306.2021080147.

基于氨基酸热点突变对腈水合酶底物亲和力的改造

Modification of Substrate Affinity of Nitrile Hydratase Based on Amino Acid Hotspot Mutation

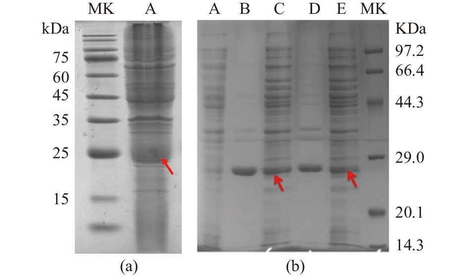
  • 摘要: 目的:以Rhodococcus erythropolis CCM2595来源的腈水合酶为研究对象,利用半理性设计以及定点突变以获取其对烟腈底物亲和力更高的突变体。方法:通过序列比对找到同源性很高的1AHJ蛋白并采用Swiss-Model和iTASSER等软件进行评估。利用Discovery Studio 2016(DS)将1AHJ与烟腈进行分子对接并进行虚拟氨基酸突变,预测并筛选出亲和力明显提升的氨基酸突变位点。构建突变重组质粒转化至大肠杆菌表达感受态中进行异源表达,并通过高效液相色谱检测分析对烟腈的生物转化情况。结果:通过虚拟氨基酸突变,得到腈水合酶α亚基CYS113突变为TYR(C113Y)、CYS115突变为ASN(C115N)、β亚基VAL52突变为ARG(V52R)后的三位点突变体,酶纯化后通过酶促反应常数分析发现,与野生型相比突变体Km值由突变前的16.78 mmol/L降低为12.69 mmol/L,酶活由12.14 U/mL提高到15.15 U/mL。结论:通过虚拟氨基酸突变得到的腈水合酶三突变体ReNHase C113Y /C115N/ V52R对烟腈的底物亲和力提高了24.37%,酶活提高了24.79%,以上结果为烟腈工业化应用的提高提供了新的理论依据。

     

    Abstract: Objective: A semi-rational design was used to increase the affinity of the nitrile hydratase (ReNHase) derived from Rhodococcus erythropolis CCM2595 with the substrate nicotinonitrile. Methods: The 1AHJ protein with high homology was found through sequence comparison and evaluated by software Swiss-Model and iTASSER. The molecular docking of nicotinonitrile with 1AHJ was then performed with Discovery Studio 2016 (DS), which aimed to obtain the virtual amino acid mutations with significantly improved affinity. The mutant recombinant plasmid was then constructed and transformed into E. coli expression competent cells for heterologous expression. After the purification of mutant ReNHase from the recombined E. coli, the biotransformation of nicotinonitrile was detected and analyzed by high performance liquid chromatography. Results: According to predicting the calculate mutation energy (Binding) of nicotinonitrile with ReNHase, CYS113 and CYS115 of αsubunit were mutated to TYR (C113Y) and ASN (C115N), VAL52 of βsubunit was mutated to ARG (V52R). According to the kinetic parameters of the reaction by the purified ReNHase followed the Michaelis–Menten model, the Km value of mutant ReNHase C113Y /C115N/ V52R decreased from 16.78 mmol/L to 12.69 mmol/L when compared with wild ReNHase, the enzyme activity increased from 12.14 U/mL to 15.15 U/mL. Conclusion: Compared with wild ReNHase, the substrate affinity of nicotinitrile with mutant ReNHase C113Y /C115N/ V52R increased by 24.37%, the enzyme activity increased by 24.79%. The above results provided a new theoretical basis for the industrial application of nicotinonitrile.

     

/

返回文章
返回