• 中国科技期刊卓越行动计划项目资助期刊
  • 中国精品科技期刊
  • EI
  • Scopus
  • CAB Abstracts
  • Global Health
  • 北大核心期刊
  • DOAJ
  • EBSCO
  • 中国核心学术期刊RCCSE A+
  • 中国科技核心期刊CSTPCD
  • JST China
  • FSTA
  • 中国农林核心期刊
  • 中国开放获取期刊数据库COAJ
  • CA
  • WJCI
  • 食品科学与工程领域高质量科技期刊分级目录第一方阵T1
中国精品科技期刊2020
李晔,周朝,袁其朋. 硫酸软骨素裂解酶ABC Ⅱ的高效融合表达及其酶学性质研究[J]. 食品工业科技,2023,44(5):88−97. doi: 10.13386/j.issn1002-0306.2022040045.
引用本文: 李晔,周朝,袁其朋. 硫酸软骨素裂解酶ABC Ⅱ的高效融合表达及其酶学性质研究[J]. 食品工业科技,2023,44(5):88−97. doi: 10.13386/j.issn1002-0306.2022040045.
LI Ye, ZHOU Zhao, YUAN Qipeng. Study on High-efficiency Fusion Expression and Enzymatic Properties of Chondroitinase ABC Ⅱ[J]. Science and Technology of Food Industry, 2023, 44(5): 88−97. (in Chinese with English abstract). doi: 10.13386/j.issn1002-0306.2022040045.
Citation: LI Ye, ZHOU Zhao, YUAN Qipeng. Study on High-efficiency Fusion Expression and Enzymatic Properties of Chondroitinase ABC Ⅱ[J]. Science and Technology of Food Industry, 2023, 44(5): 88−97. (in Chinese with English abstract). doi: 10.13386/j.issn1002-0306.2022040045.

硫酸软骨素裂解酶ABC Ⅱ的高效融合表达及其酶学性质研究

Study on High-efficiency Fusion Expression and Enzymatic Properties of Chondroitinase ABC Ⅱ

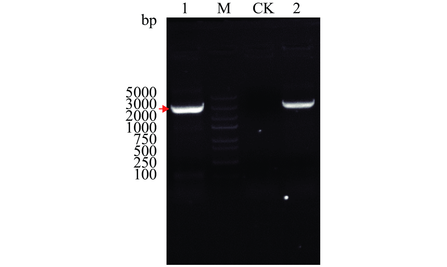
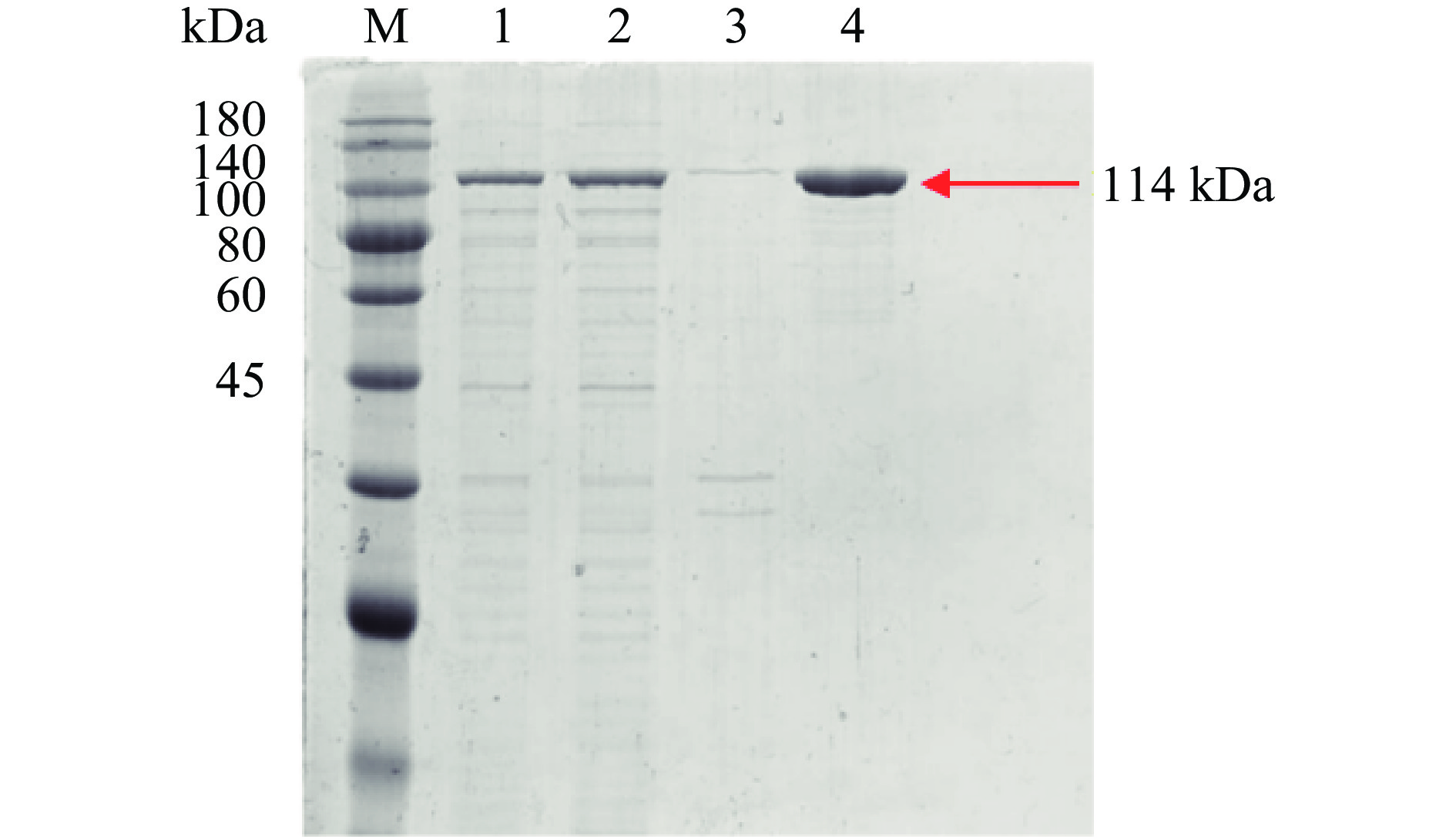
  • 摘要: 目的:本研究旨在实现硫酸软骨素裂解酶ABC Ⅱ(chondroitinase ABC Ⅱ,ChSase ABC Ⅱ)的高效可溶性表达并研究其酶学性质,为ChSase ABC Ⅱ在药品和保健食品生产中的应用奠定基础。方法:在优化ChSase ABC Ⅱ基因原始序列的基础上,构建重组质粒pET-28a-His-ChSase ABC Ⅱ并优化其表达条件;利用亲和层析得到带有多聚组氨酸标签(polyhistidine-tag,His-tag)的ChSase ABC Ⅱ融合蛋白后,研究了His-ChSase ABC Ⅱ的部分酶学性质。结果:构建的His-ChSase ABC Ⅱ融合蛋白表达系统能在大肠杆菌中实现可溶性表达;在表达宿主为E.coli BL21(DE3)和诱导剂(异丙基-β-D-硫代半乳糖苷)浓度为125 μmol/L的优化条件下,发酵液酶活力可达到7206.83±184.27 IU/L;纯化后的His-ChSase ABC Ⅱ酶比活力为22.02±0.39 IU/mg蛋白,最适pH和温度分别为7.5和40 ℃,其在30~40 ℃条件下较为稳定,且半衰期在2 h以上。His-ChSase ABC Ⅱ能特异性有效分解硫酸软骨素,其Km值为10.4±0.8 μmol/L,Kcat值为9.4±0.2 s−1。结论:本论文通过基因优化和融合表达等策略实现了His-ChSase ABC Ⅱ的高效表达和纯化。此外,His-ChSase ABC Ⅱ的酶学性质可基本满足其在医药和营养产品工业生产中的应用需求。

     

    Abstract: Objectives: The present study aimed to achieve the efficient and soluble expression of chondroitinase ABC Ⅱ (ChSase ABC Ⅱ) and investigate its enzymatic properties. The study thus laid the groundwork for the application of ChSase ABC Ⅱ in pharma- and nutraceutical production industries. Methods: Based on the optimization of the original sequence of ChSase ABC Ⅱ gene, the recombinant plasmid pET-28a-His-ChSase ABC Ⅱ was constructed and the expression conditions of the recombinant plasmid were optimized. The partial enzymatic properties of His-ChSase ABC Ⅱ were studied after obtaining ChSase ABC Ⅱ fusion protein with a polyhistidine-tag (His-tag) using affinity chromatography. Results: The results showed that the constructed His-ChSase ABC II fusion protein expression system successfully achieved the soluble expression of the protein in Escherichia coli. In the optimal conditions that the expression host was E. coli BL21(DE3) and inducer (isopropyl-β-D-thiogalactoside) concentration was 125 μmol/L, the enzyme activity of fermentation broth reached 7206.83±184.27 IU/L. Furthermore, the purified His-ChSase ABC Ⅱ had an enzyme specific activity of 22.02±0.39 IU/mg protein, with optimal pH and temperature of 7.5 and 40 ℃, respectively. The enzyme was also found to be stable at 30~40 °C with a half-life of over 2 h. Moreover, the His-ChSase ABC II was determined to specifically and effectively decompose chondroitin sulfate, with a Km value of 10.4±0.8 μmol/L and a Kcat value of 9.4±0.2 s−1. Conclusions: Efficient expression and purification of His-ChSase ABC Ⅱ were achieved using gene optimization and fusion expression strategies in this study. Moreover, the enzymatic properties of the recombinant fusion protein could fundamentally meet the standards essential for its application in the industrial production of pharma- and nutraceutical products.

     

/

返回文章
返回