• 中国科技期刊卓越行动计划项目资助期刊
  • 中国精品科技期刊
  • 首都科技期刊卓越行动计划
  • EI
  • Scopus
  • CAB Abstracts
  • Global Health
  • 北大核心期刊
  • DOAJ
  • EBSCO
  • 中国核心学术期刊RCCSE A+
  • 中国科技核心期刊CSTPCD
  • JST China
  • FSTA
  • 中国农林核心期刊
  • 中国开放获取期刊数据库COAJ
  • CA
  • WJCI
  • 食品科学与工程领域高质量科技期刊分级目录第一方阵T1
中国精品科技期刊2020
孙紫文,孟玉洁,杨玉青,等. 芽孢杆菌发酵液的抑菌活性及葡聚糖酶的基因克隆、表达分析J. 食品工业科技,2023,44(8):144−152. doi: 10.13386/j.issn1002-0306.2022070015.
引用本文: 孙紫文,孟玉洁,杨玉青,等. 芽孢杆菌发酵液的抑菌活性及葡聚糖酶的基因克隆、表达分析J. 食品工业科技,2023,44(8):144−152. doi: 10.13386/j.issn1002-0306.2022070015.
SUN Ziwen, MENG Yujie, YANG Yuqing, et al. Antifungal Activity of Bacillus Fermentation Broth,and Gene Cloning, Prokaryotic Expression of EndoglucanaseJ. Science and Technology of Food Industry, 2023, 44(8): 144−152. (in Chinese with English abstract). doi: 10.13386/j.issn1002-0306.2022070015.
Citation: SUN Ziwen, MENG Yujie, YANG Yuqing, et al. Antifungal Activity of Bacillus Fermentation Broth,and Gene Cloning, Prokaryotic Expression of EndoglucanaseJ. Science and Technology of Food Industry, 2023, 44(8): 144−152. (in Chinese with English abstract). doi: 10.13386/j.issn1002-0306.2022070015.

芽孢杆菌发酵液的抑菌活性及葡聚糖酶的基因克隆、表达分析

Antifungal Activity of Bacillus Fermentation Broth,and Gene Cloning, Prokaryotic Expression of Endoglucanase

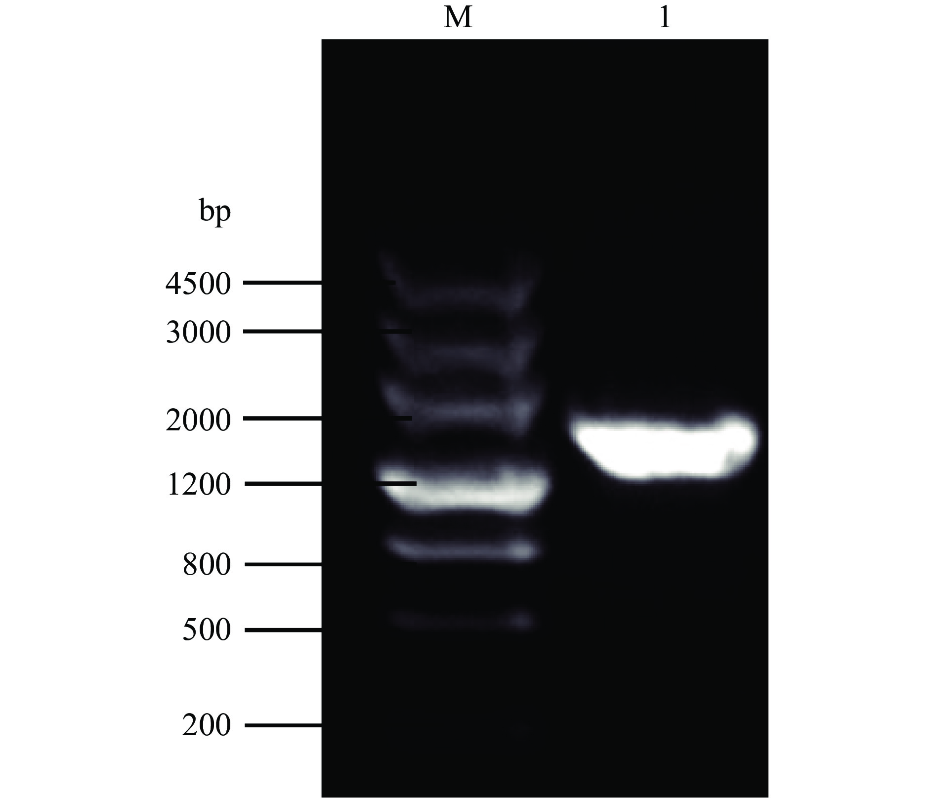
  • 摘要: 通过液培法和菌丝生长速率法,探究茯苓粉培养基(ABP培养基)诱导芽孢杆菌CmRh1产葡聚糖酶的发酵上清液对苹果炭疽病菌的抑制作用;采用PCR技术克隆葡聚糖内切酶基因,异源表达并初步验证其功能;采用在线生物信息学对芽孢杆菌葡聚糖酶的理化性质、信号肽、跨膜区、保守结构域、二级和三级结构、亚细胞定位等进行预测。结果表明:茯苓粉培养基(ABP培养基)诱导的芽孢杆菌CmRh1发酵上清液对苹果炭疽病菌具有一定的抑菌效果,抑菌率分别为16.07%和14.03%;从芽孢杆菌CmRh1菌株克隆到1个葡聚糖内切酶基因(Glu4),开放阅读框(Open Reading Frame,ORF)为1500 bp,编码499 aa。生物信息学预测,Glu4是1个含有信号肽和1个跨膜结构域稳定的亲水性蛋白质,其分子量约为55 kDa,理论等电点为7.14;保守结构域预测,Glu4属于GH5型纤维素酶家族;二级结构元件主要包括α螺旋、延伸链、β转角和无规则卷曲,三级结构为典型的β-三明治结构,符合葡聚糖内切酶的结构特征;Glu4亚细胞定位于细胞外,是一个典型的分泌蛋白。SDS-PAGE结合Western blot结果显示,Glu4能在大肠杆菌中表达,其蛋白大小与理论值55 kDa基本相符。重组工程菌具有分泌葡聚糖内切酶能力,为后期葡聚糖内切酶的纯化、酶学性质分析及探究Glu4对苹果炭疽病菌的抑菌活性奠定基础。

     

    Abstract: Liquid culture method and mycelial growth rate method were performed to explore the antifungal activity of Bacillus sp. CmRh1 fermentation broth induced by Agar buffered Pachyman (ABP) medium against Colletotrichum gloeosporioides in this study. The endoglucanase gene was cloned by polymerase chain reaction (PCR) technique, heterologously expressed in Escheria coli and functionally analyzed. Physicochemical properties, signal peptide, transmembrane region, conserved domain, secondary and tertiary structure, and subcellular location of endoglucanase from Bacillus sp. CmRh1 were predicted by the online bioinformatics tools. The results showed that Bacillus sp. CmRh1 possessed the ability to produce β-1,3 glucanase and β-1,4 glucanase, and the fermentation broth containing glucanase displayed a certain antifungal activity against C. gloeosporioides mycelial growth. Besides, an endoglucanase gene (Glu4) from Bacillus sp. CmRh1 was cloned, and its open reading frame (ORF) was 1500 bp encoding a protein of 499 amino acid residues. Bioinformatics predicted that Glu4 was a stable hydrophilic protein containing a signal peptide and a transmembrane domain. The relative molecular weight of Glu4 was 55 kDa, and its theoretical isoelectric point was 7.14. Glu4 belonged to the glycoside hydrolase family (GH5) containing the carbohydrate-binding module (CBM_3). The secondary structural elements mainly include α helix, β turn, extended strand, and random coil. The tertiary structure was a typical β-sandwich structure, which was consistent with the structural characteristics of endoglucanase. It was predicted that Glu4 was located outside the cell. The results of combined SDS-PAGE with western blot showed that Glu4 was successfully expressed in E. coli, and its molecular weight was consistent with the prediction. In conclusion, E. coli BL21(DE3)/pEB-Glu4 had the ability to secrete endoglucanase, which would be beneficial to purifying, analyzing characterization of endoglucanase, and exploring antifungal activity of endoglucanase against C. gloeosporioides.

     

/

返回文章
返回