• 中国科技期刊卓越行动计划项目资助期刊
  • 中国精品科技期刊
  • 首都科技期刊卓越行动计划
  • EI
  • Scopus
  • CAB Abstracts
  • Global Health
  • 北大核心期刊
  • DOAJ
  • EBSCO
  • 中国核心学术期刊RCCSE A+
  • 中国科技核心期刊CSTPCD
  • JST China
  • FSTA
  • 中国农林核心期刊
  • 中国开放获取期刊数据库COAJ
  • CA
  • WJCI
  • 食品科学与工程领域高质量科技期刊分级目录第一方阵T1
中国精品科技期刊2020
张智,温冬灼,冯丽荣,等. 耐热解淀粉芽孢杆菌BA-DES4产纤维素酶的分离纯化及酶学性质J. 食品工业科技,2023,44(11):136−143. doi: 10.13386/j.issn1002-0306.2022070337.
引用本文: 张智,温冬灼,冯丽荣,等. 耐热解淀粉芽孢杆菌BA-DES4产纤维素酶的分离纯化及酶学性质J. 食品工业科技,2023,44(11):136−143. doi: 10.13386/j.issn1002-0306.2022070337.
ZHANG Zhi, WEN Dongzhuo, FENG Lirong, et al. Separation, Purification and Enzymatic Property of Cellulase Produced by Thermostable Bacillus amyloliquefaciens BA-DES4J. Science and Technology of Food Industry, 2023, 44(11): 136−143. (in Chinese with English abstract). doi: 10.13386/j.issn1002-0306.2022070337.
Citation: ZHANG Zhi, WEN Dongzhuo, FENG Lirong, et al. Separation, Purification and Enzymatic Property of Cellulase Produced by Thermostable Bacillus amyloliquefaciens BA-DES4J. Science and Technology of Food Industry, 2023, 44(11): 136−143. (in Chinese with English abstract). doi: 10.13386/j.issn1002-0306.2022070337.

耐热解淀粉芽孢杆菌BA-DES4产纤维素酶的分离纯化及酶学性质

Separation, Purification and Enzymatic Property of Cellulase Produced by Thermostable Bacillus amyloliquefaciens BA-DES4

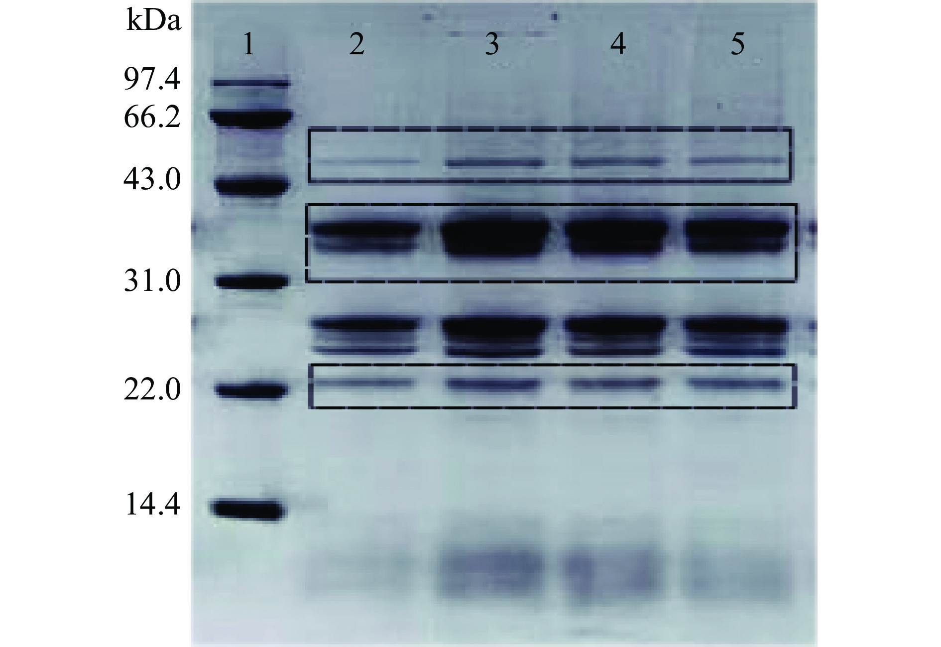
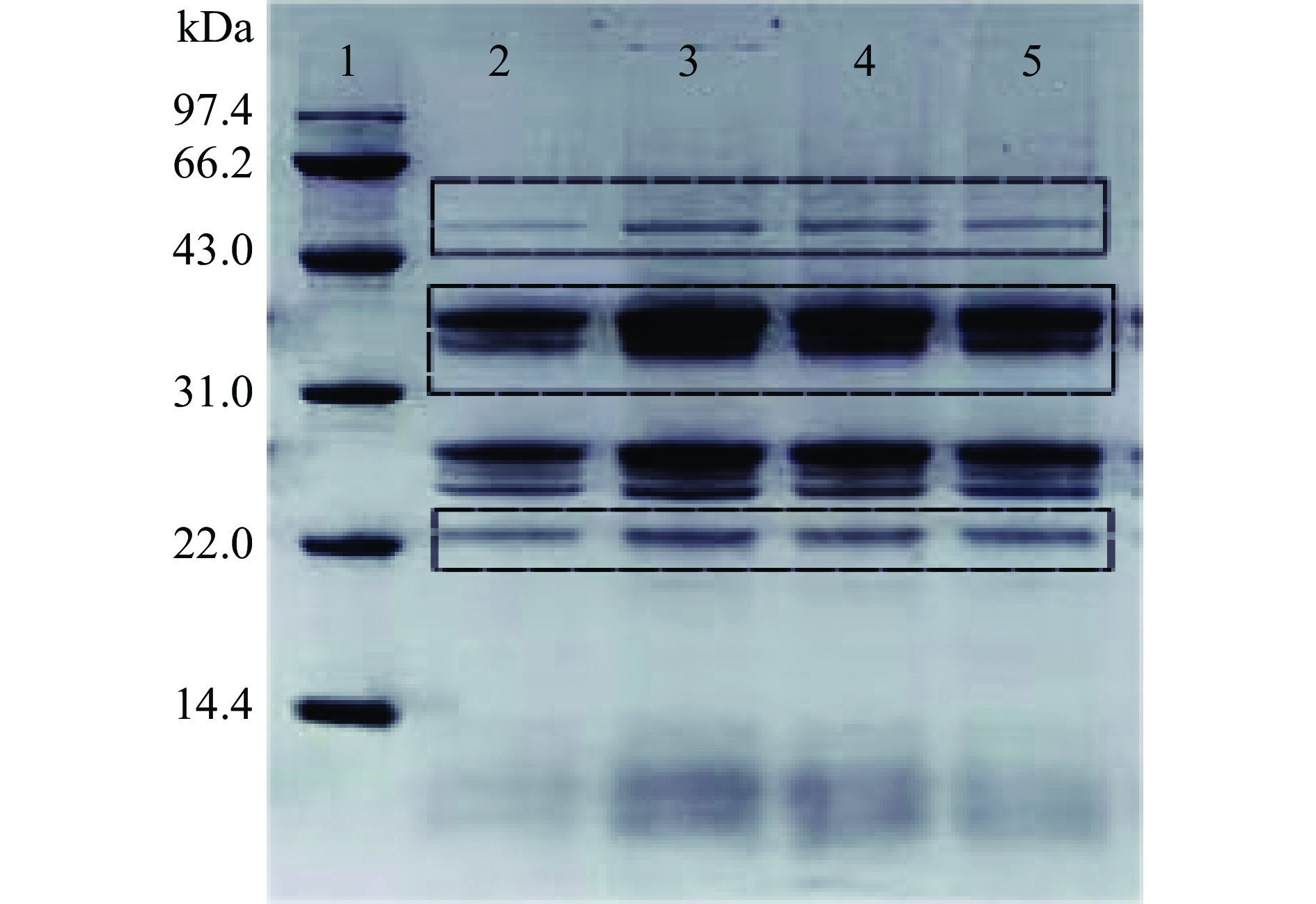
  • 摘要: 目的:本研究以一株产纤维素酶的解淀粉芽孢杆菌BA-DES4为材料,纯化并研究了其纤维素酶的酶学性质。方法:研究采用硫酸铵分级沉淀及SephadexG-75凝胶过滤层析方式对其所产纤维素酶进行分离纯化,通过聚丙烯酰胺凝胶电泳(SDS-PAGE)确定其分子量,并对纯化后纤维素酶的酶液进行酶学性质研究。结果表明:发酵液中分离纯化获得纤维素酶系组分(内切葡聚糖酶),对纯化的电泳内切葡聚糖酶进行酶活测定,其比活力为51.08 U/mg。发现其分子量为22.4 kDa;初步酶学性质研究表明:该酶的最适反应温度和最适pH分别为65 ℃和6.0,且在pH5.0~7.0和温度55~65 ℃下稳定性较高;Mn2+对纤维素酶活力激活作用较为显著,Cu2+的抑制作用最大。结论:该菌株可作为产内切葡聚糖酶的潜在菌株,内切葡聚糖酶可在Mn2+、Fe2+的作用下促进酶活力,同时在高温及酸性环境中发挥作用,能够参与高效降解高温酸性环境中的纤维素,提高生产率,同时将分解成的葡萄糖供发酵使用,具有应用高温大曲发酵酒生产的潜力,为该酶的进一步研究奠定了基础。

     

    Abstract: Objects: This research was performed based on taking one Bacillus amyloliquefaciens BA-DES4 producing the cellulose as the material, and the enzymatic property of its cellulose was researched upon the purification. Methods: This research applied the ammonium sulfate fractional precipitation and SephadexG-75 gel filtration chromatography method to carry out the separation and purification to the cellulose it produced. Determined its molecular weight by means of polyacrylamide gel electrophoresis (SDS-PAGE), and carried out the research of enzymatic property to enzyme solution of cellulase upon purification. Results: The cellulase system components could be obtained in zymotic fluid upon separation and purification (endoglucanase), and its specific activity was 51.08 U/mg through carrying out the measurement of enzyme activity to purified electrophoresis endoglucanase. It was identified that its molecular weight was 22.4 kDa. The primary research of enzymatic property indicated that the optimal reaction temperature and optimal pH for this enzyme were 65 ℃ and 6.0 respectively with a high stability when pH was 5.0~7.0 and temperature was 55~65 ℃. The activation of Mn2+ to cellulase activities was significant with the highest inhibiting effect of Cu2+. Conclusion: This bacterial strain can be used as the potential strain for producing the endoglucanase with the enzymatic activities of endoglucanase can be promoted under the effects of Mn2+, Fe2+. Meanwhile, it can work under the high temperature and acid environment along with participating in the cellulose of high effective degradation and high-temperature acid environment so as to improve the production efficiency. The glucose to be decomposed can be used for fermentation with a potential of producing the fermented wine by applying the high-temperature Daqu, which has laid a foundation for further studying this cellulase.

     

/

返回文章
返回