• 中国科技期刊卓越行动计划项目资助期刊
  • 中国精品科技期刊
  • 首都科技期刊卓越行动计划
  • EI
  • Scopus
  • CAB Abstracts
  • Global Health
  • 北大核心期刊
  • DOAJ
  • EBSCO
  • 中国核心学术期刊RCCSE A+
  • 中国科技核心期刊CSTPCD
  • JST China
  • FSTA
  • 中国农林核心期刊
  • 中国开放获取期刊数据库COAJ
  • CA
  • WJCI
  • 食品科学与工程领域高质量科技期刊分级目录第一方阵T1
中国精品科技期刊2020
仝丹心,李杰,何洪彬,等. 单宁酶在黑曲霉中的高效表达及其酶学性质研究J. 食品工业科技,2023,44(15):159−165. doi: 10.13386/j.issn1002-0306.2022090205.
引用本文: 仝丹心,李杰,何洪彬,等. 单宁酶在黑曲霉中的高效表达及其酶学性质研究J. 食品工业科技,2023,44(15):159−165. doi: 10.13386/j.issn1002-0306.2022090205.
TONG Danxin, LI Jie, HE Hongbin, et al. Highly Efficient Expression of Tannase in Aspergillus niger and Its Enzymatic PropertiesJ. Science and Technology of Food Industry, 2023, 44(15): 159−165. (in Chinese with English abstract). doi: 10.13386/j.issn1002-0306.2022090205.
Citation: TONG Danxin, LI Jie, HE Hongbin, et al. Highly Efficient Expression of Tannase in Aspergillus niger and Its Enzymatic PropertiesJ. Science and Technology of Food Industry, 2023, 44(15): 159−165. (in Chinese with English abstract). doi: 10.13386/j.issn1002-0306.2022090205.

单宁酶在黑曲霉中的高效表达及其酶学性质研究

Highly Efficient Expression of Tannase in Aspergillus niger and Its Enzymatic Properties

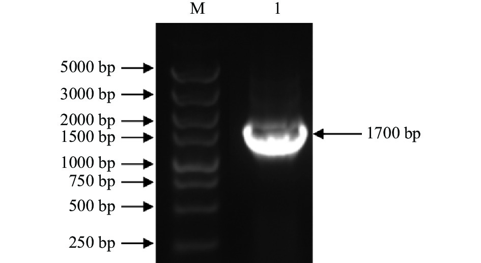
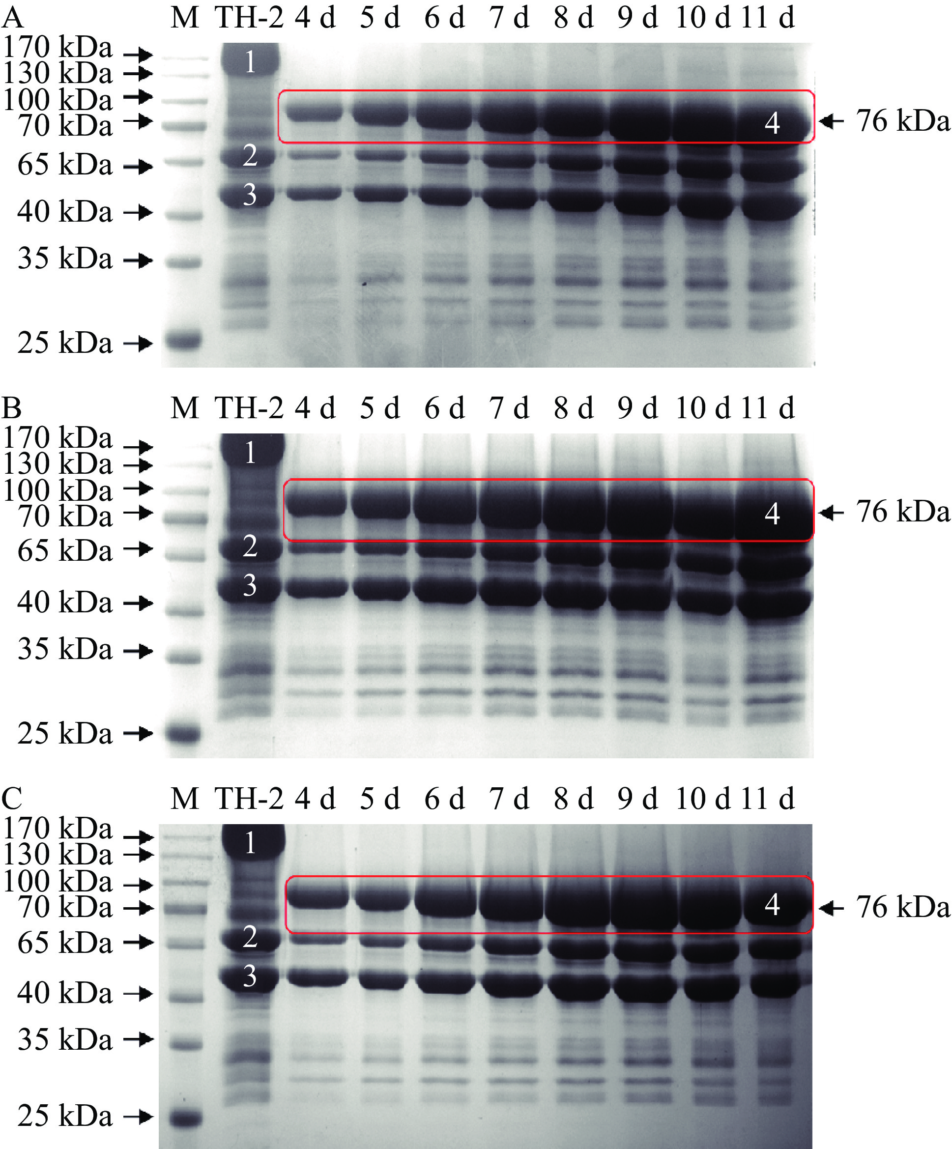
  • 摘要: 运用基因工程手段,构建高效表达单宁酶的黑曲霉重组菌株,并对重组酶活性及酶学性质进行研究,以期提高单宁酶的表达,更好地实现单宁酶在茶饮料、饲料等行业的重要作用。以内源高表达的glaA基因位点为整合靶位点,集成glaA多拷贝强启动子PglaA6R和信号肽SglaA,构建单宁酶基因AnTan黑曲霉重组表达载体pSZHG6R-AnTan,采用农杆菌介导法转化黑曲霉,获得单宁酶黑曲霉纯合重组菌株A1。聚丙烯酰胺凝胶电泳(SDS-PAGE)检测结果表明,目的蛋白大小约为76 kDa;以10%糊精为碳源摇瓶发酵至11 d时,酶活最高达到134.36 U·mL−1,约为宿主菌株的192倍。酶学性质研究表明,最适温度为50 ℃,高温时热稳定性较差;最适pH为7.0。K+和Ca2+对重组酶没有影响;Mg2+对重组酶有微弱的促进作用;Zn2+对重组酶有明显的促进作用;Cu2+和Fe2+对重组酶有微弱的抑制作用;Mn2+和EDTA对重组酶有明显的抑制作用。研究结果为进一步优化单宁酶的分泌表达提供了有价值的参考。

     

    Abstract: The recombinant strains of Aspergillus niger with high expression of tannase were constructed by means of genetic engineering. The activity and enzymatic properties of the recombinant enzyme were studied to improve the expression of tannase and better realize the important role of tannase in tea beverage, feed and other industries. GlaA multi-copy strong promoter PglaA6R and signal peptide SglaA were integrated to construct tannase gene AnTan Aspergillus niger recombinant expression vector pSZHG6R-AnTan with the endogenous highly expressed glaA gene site as the integration target site, and the Aspergillus niger pure recombinant strain A1 of tannase was obtained by agrobacterium-mediated transformation of Aspergillus niger. The results of polyacrylamide gel electrophoresis (SDS-PAGE) detection results showed that the size of the target protein was about 76 kDa. The maximum enzyme activity reached 134.36 U·mL−1 when 10% dextrin was used as carbon source for shaking flask fermentationat to 11 days, which was about 192 times of the host strain. The study of enzymatic properties showed that the optimal temperature was 50 ℃ and the thermal stability was poor at high temperature, the optimal pH was 7.0. K+ and Ca2+ had no effect on recombinant enzyme, Mg2+ had weak promoting effect on recombinant enzyme, Zn2+ had obvious promoting effect on recombinant enzyme, Cu2+ and Fe2+ had weak inhibition on recombinant enzyme, Mn2+and EDTA had obvious inhibitory effect on recombinant enzyme. The results provide a valuable reference for further optimizing the secretion and expression of tannase.

     

/

返回文章
返回