• 中国科技期刊卓越行动计划项目资助期刊
  • 中国精品科技期刊
  • EI
  • Scopus
  • CAB Abstracts
  • Global Health
  • 北大核心期刊
  • DOAJ
  • EBSCO
  • 中国核心学术期刊RCCSE A+
  • 中国科技核心期刊CSTPCD
  • JST China
  • FSTA
  • 中国农林核心期刊
  • 中国开放获取期刊数据库COAJ
  • CA
  • WJCI
  • 食品科学与工程领域高质量科技期刊分级目录第一方阵T1
中国精品科技期刊2020
艾正文. 基于大肠杆菌表达系统制备β-酪蛋白研究J. 食品工业科技,2023,44(16):131−138. doi: 10.13386/j.issn1002-0306.2022090232.
引用本文: 艾正文. 基于大肠杆菌表达系统制备β-酪蛋白研究J. 食品工业科技,2023,44(16):131−138. doi: 10.13386/j.issn1002-0306.2022090232.
AI Zhengwen. Preparation of β-Casein Based on Escherichia coli Expression SystemJ. Science and Technology of Food Industry, 2023, 44(16): 131−138. (in Chinese with English abstract). doi: 10.13386/j.issn1002-0306.2022090232.
Citation: AI Zhengwen. Preparation of β-Casein Based on Escherichia coli Expression SystemJ. Science and Technology of Food Industry, 2023, 44(16): 131−138. (in Chinese with English abstract). doi: 10.13386/j.issn1002-0306.2022090232.

基于大肠杆菌表达系统制备β-酪蛋白研究

Preparation of β-Casein Based on Escherichia coli Expression System

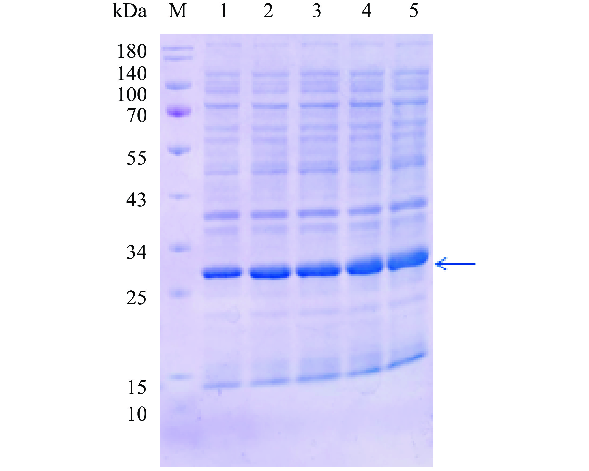
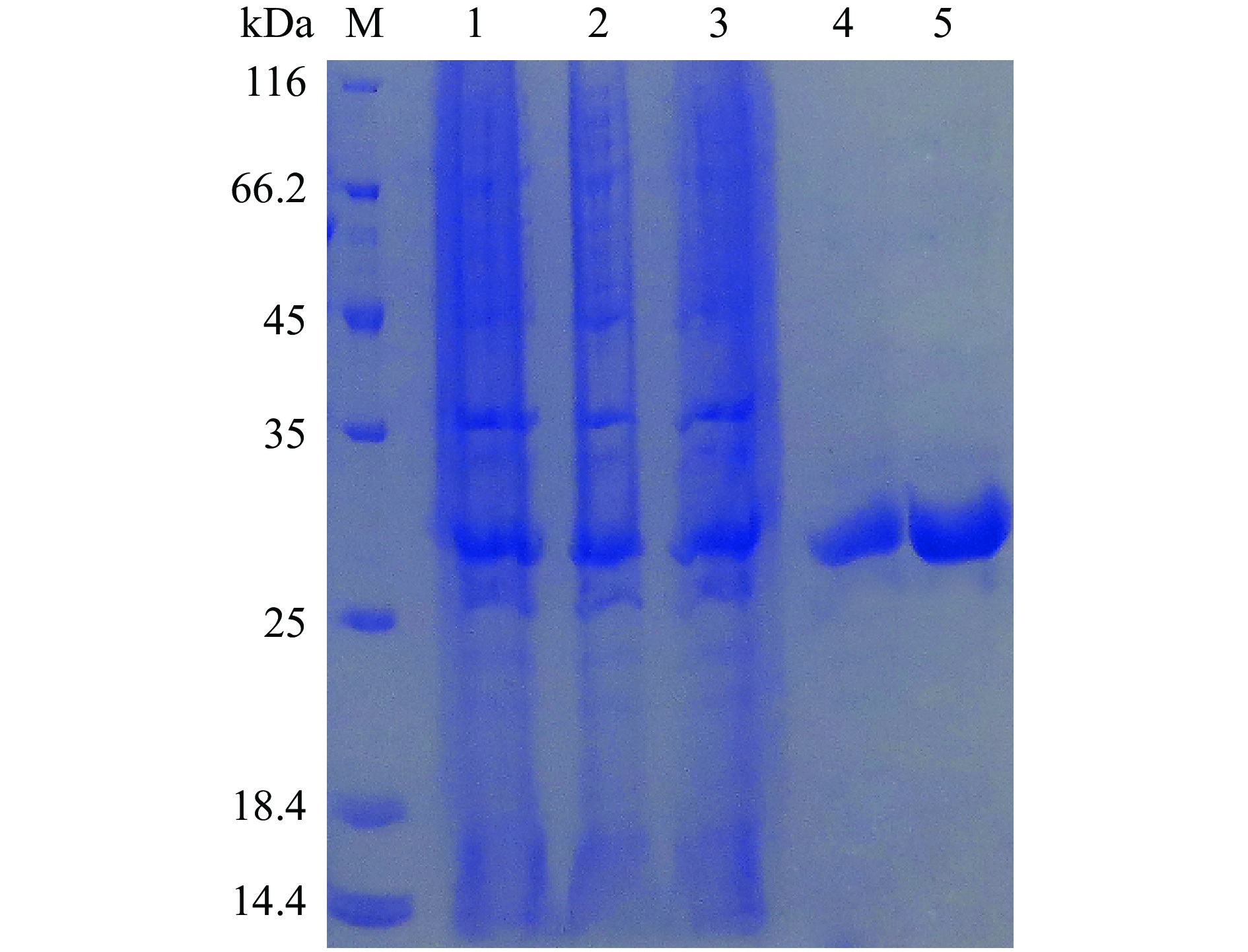
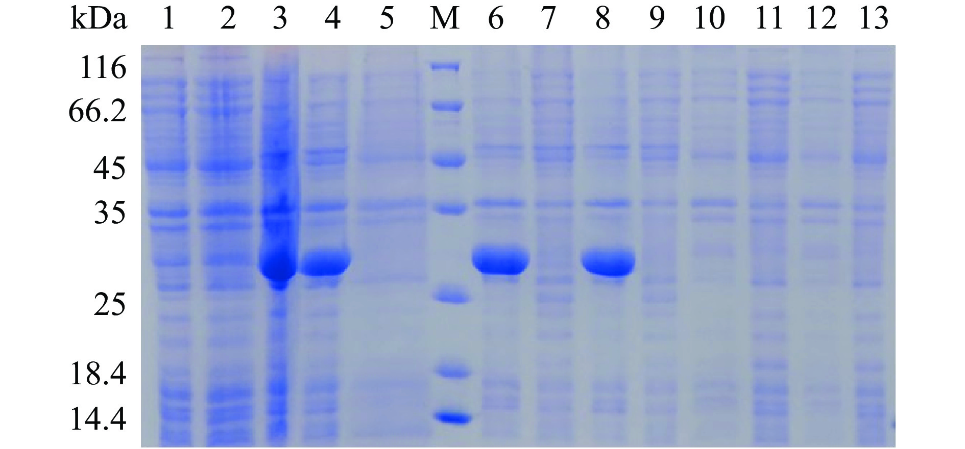
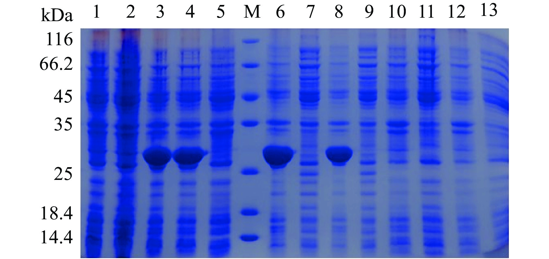
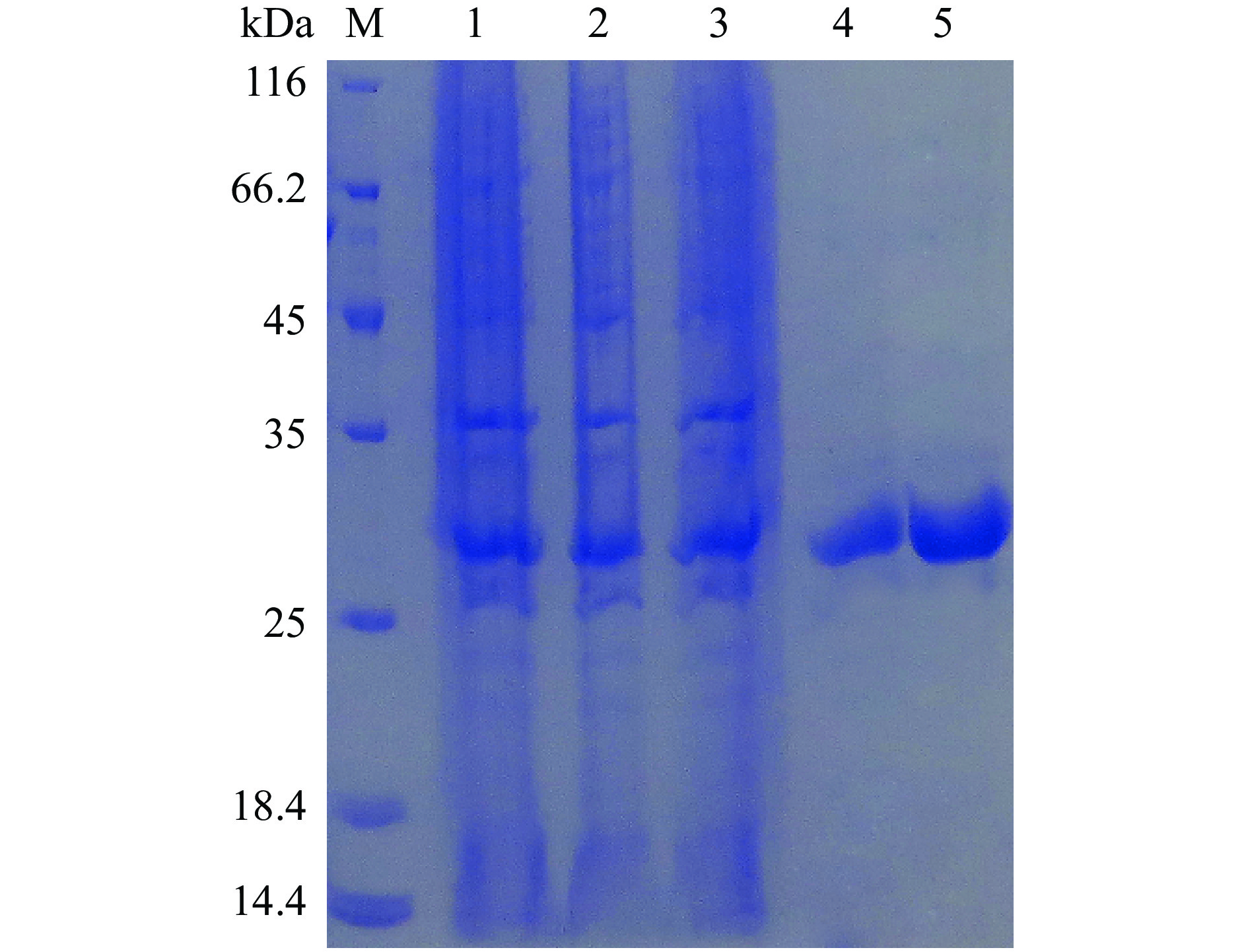
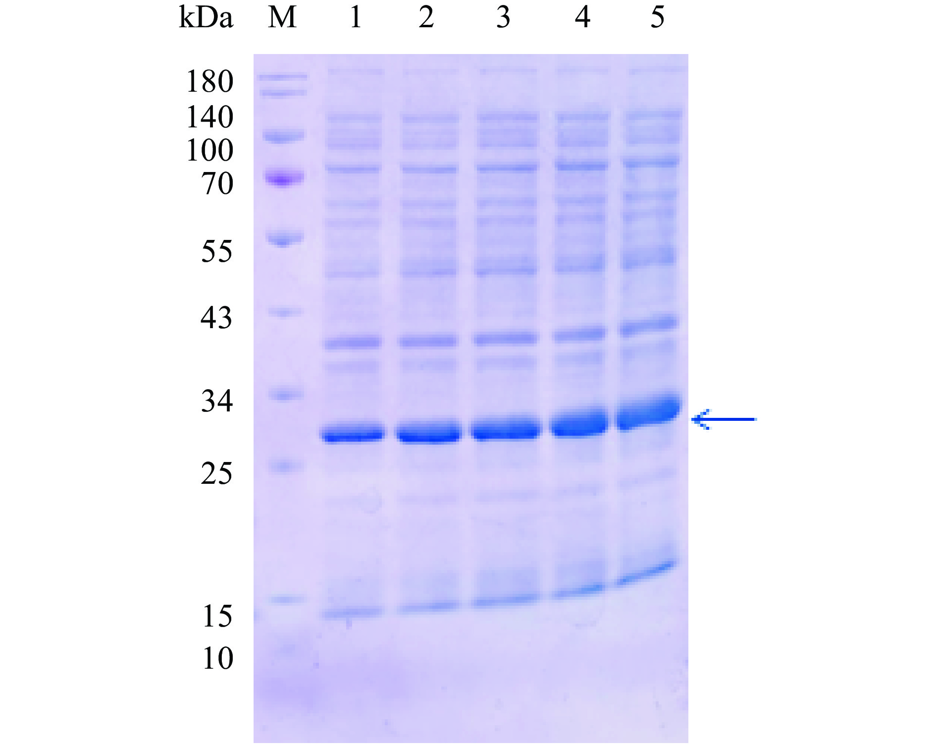
  • 摘要: 牛乳中β-酪蛋白含有多种变异体,其中A1β-酪蛋白(A1)和A2β-酪蛋白(A2)是其最常见的2种变异体。由于A1和A2蛋白在氨基酸序列上仅存在个别氨基酸的差异,因此通过常规的分离、纯化手段较难以实现纯度较高的A1和A2蛋白的制备。本研究利用分子生物学手段,分别构建含有CSN2-A1CSN2-A2目的基因的重组质粒载体pET28a(+)-CSN2-A1和pET28a(+)-CSN2-A2。将构建的重组表达载体导入到大肠杆菌BL21(DE3)中进行诱导表达和纯化。结果表明,在0.2 mmol/L IPTG,37 ℃下诱导表达4 h可获得大量蛋白,但通过SDS-PAGE电泳显示目的蛋白以包涵体形式表达,存在于细胞破碎后的沉淀中。通过洗涤、溶解、镍柱亲和色谱纯化、复性以及鉴定等步骤最终可获得纯度大于90%(PAGE)的A1和A2重组蛋白,从而为制备A1和A2蛋白提供新的途径。

     

    Abstract: The β-casein of bovine milk contains a variety of variants, among which A1-β-casein (A1) and A2-β-casein (A2) are the two most common variants. Because of only few differences between with A1 and A2 in amino acid sequence, it is difficult to preparation of A1 and A2 proteins with higher purity by conventional separation and purification methods. In this study, recombinant plasmid of pET28a(+)-CSN2-A1 and pET28a (+)-CSN2-A2, which contained the target genes of CSN2-A1 and CSN2-A2 were constructed by molecular biological methods, respectively. Then two recombinant vectors were introduced into Escherichia coli BL21 for induced expression and purification, respectively. The results showed that abundant of proteins could be obtained by induced expression at 0.2 mmol/L IPTG at 37 ℃ for 4 h. However, the results of SDS-PAGE showed that the target proteins were expressed in the form of inclusion bodies, and existed in the pellet after cell disruption. In addition, the purity of more than 90% (SDS-PAGE) of the A1 and A2 recombinant proteins were obtained by several processes, which contained dissolution, nickel affinity chromatography, renaturation and qualification. Thereby, it could provide a new way for the preparation of A1 and A2 proteins.

     

/

返回文章
返回