• 中国科技期刊卓越行动计划项目资助期刊
  • 中国精品科技期刊
  • 首都科技期刊卓越行动计划
  • EI
  • Scopus
  • CAB Abstracts
  • Global Health
  • 北大核心期刊
  • DOAJ
  • EBSCO
  • 中国核心学术期刊RCCSE A+
  • 中国科技核心期刊CSTPCD
  • JST China
  • FSTA
  • 中国农林核心期刊
  • 中国开放获取期刊数据库COAJ
  • CA
  • WJCI
  • 食品科学与工程领域高质量科技期刊分级目录第一方阵T1
中国精品科技期刊2020
刘容旭,王语聪,刘金阳,等. 超高压辅助酶解对汉麻分离蛋白结构和抗氧化活性的影响J. 食品工业科技,2024,45(4):24−32. doi: 10.13386/j.issn1002-0306.2023020122.
引用本文: 刘容旭,王语聪,刘金阳,等. 超高压辅助酶解对汉麻分离蛋白结构和抗氧化活性的影响J. 食品工业科技,2024,45(4):24−32. doi: 10.13386/j.issn1002-0306.2023020122.
LIU Rongxu, WANG Yucong, LIU Jinyang, et al. Effects of Ultra-high Pressure Assisted Enzymatic Hydrolysis on Structure and Antioxidant Activity of Hemp Protein IsolateJ. Science and Technology of Food Industry, 2024, 45(4): 24−32. (in Chinese with English abstract). doi: 10.13386/j.issn1002-0306.2023020122.
Citation: LIU Rongxu, WANG Yucong, LIU Jinyang, et al. Effects of Ultra-high Pressure Assisted Enzymatic Hydrolysis on Structure and Antioxidant Activity of Hemp Protein IsolateJ. Science and Technology of Food Industry, 2024, 45(4): 24−32. (in Chinese with English abstract). doi: 10.13386/j.issn1002-0306.2023020122.

超高压辅助酶解对汉麻分离蛋白结构和抗氧化活性的影响

Effects of Ultra-high Pressure Assisted Enzymatic Hydrolysis on Structure and Antioxidant Activity of Hemp Protein Isolate

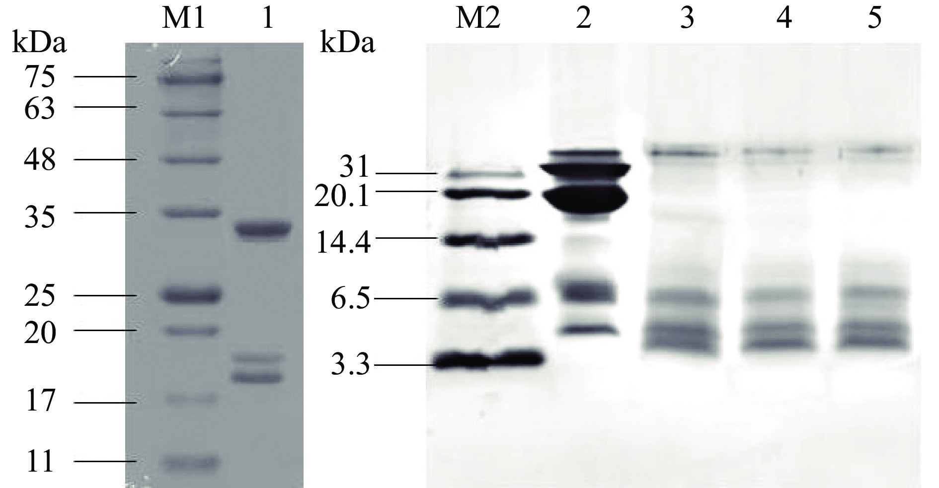
  • 摘要: 本研究以汉麻分离蛋白(Hemp Protein Isolate,HPI)为原料,通过超高压辅助酶解反应对HPI进行改性,测定不同压力下汉麻蛋白酶解产物(hydrolysate of hemp protein isolate,HPIH)的聚丙烯酰胺凝胶电泳(SDS polyacrylamide gelelectrophoresis,SDS-PAGE)电泳特性、表面疏水性、巯基含量、傅立叶红外光谱和内源荧光光谱分析改性前后汉麻分离蛋白的结构变化。结果表明,超高压(ultra-high pressure,UHP)(0.1、100、200、300 MPa)处理对HPI酶解反应具有一定的辅助作用,且随压力的升高酶解反应程度逐渐增大,分子量逐渐降低;HPI经改性后,疏水性基团逐渐暴露,表面疏水性随压力的增大先上升后下降,且变化差异性显著(P<0.05),在200 MPa时表面疏水性达到最大;酶解反应后,HPIH游离巯基含量显著降低(P<0.05),而表面巯基含量随压力增大呈先上升后下降的趋势;通过测定改性前后蛋白质氨基酸组成及含量可知,改性前后HPI氨基酸组成不变,但各氨基酸含量存在不同程度下降;由傅立叶红外光谱图可以看出,与HPI相比,HPIH的吸收峰强度、峰型及峰面积等均发生不同程度变化,说明超高压辅助酶解反应使蛋白质二级结构发生改变;内源荧光光谱显示,HPIH荧光强度增大且最大发射波长发生红移,说明酶解反应改变了HPI的三级结构;抗氧化活性结果表明,适当的压力处理可有效提升酶解产物的抗氧化能力,当压力为200 MPa时,HPIH的DPPH、ABTS+自由基清除能力及还原能力达到最高。综上所述,超高压辅助酶解改性处理能显著改变汉麻分离蛋白的二、三级结构,暴露出疏水基团等活性基团,从而提高其抗氧化性。

     

    Abstract: Hemp Protein Isolate (HPI) was used as raw material to modify HPI through ultrahigh pressure assisted enzymatic hydrolysis reaction. The SDS-PAGE electrophoresis characteristics, surface hydrophobicity, sulfhydryl content, FTIR and endogenous fluorescence of the hydrolysate of hemp protein isolate (HPIH) were determined under different pressures to investigate the structural changes of the HPI before and after modification. The results showed that ultra-high pressure (UHP) (0.1, 100, 200, 300 MPa) treatment had a certain auxiliary effect on HPI enzymolysis reaction, and with the increase of pressure, the degree of enzymolysis reaction increased gradually, and the molecular weight decreased gradually. After HPI modification, the hydrophobic groups were gradually exposed, and the surface hydrophobicity increased first and then decreased with the increase of pressure, the change difference was significant (P<0.05). The surface hydrophobicity reached the maximum at 200 MPa. After enzymolysis, the free sulfhydryl content of HPIH decreased significantly (P<0.05), while the surface sulfhydryl content increased first and then decreased with the increase of pressure. The determination of amino acid composition and content of protein before and after modification showed that the amino acid composition of HPI remained unchanged before and after modification, but the contents of various amino acids decreased to varying degrees. According to the fourier infrared spectroscopy, compared with HPI, the absorption peak intensity, peak shape and peak area of HPIH changed to different degrees, indicating that the secondary structure of protein was changed by the ultra-high pressure assisted enzymatic hydrolysis reaction. The endogenous fluorescence spectra showed that the fluorescence intensity of HPIH increased and the maximum emission wavelength was redshifted, indicating that the tertiary structure of HPI was changed by the enzymatic hydrolysis reaction. The results of antioxidant activity showed that appropriate pressure treatment could effectively improve the antioxidant capacity of enzymatic hydrolysis products. When the pressure was 200 MPa, the reducing power of HPIH of DPPH· and ABTS+· reached the highest. In conclusion, ultrahigh pressure assisted enzymatic hydrolysis modification can significantly change the secondary and tertiary structure of HPI, exposing hydrophobic groups and other active groups, thereby improving its antioxidant properties.

     

/

返回文章
返回