• 中国科技期刊卓越行动计划项目资助期刊
  • 中国精品科技期刊
  • EI
  • Scopus
  • CAB Abstracts
  • Global Health
  • 北大核心期刊
  • DOAJ
  • EBSCO
  • 中国核心学术期刊RCCSE A+
  • 中国科技核心期刊CSTPCD
  • JST China
  • FSTA
  • 中国农林核心期刊
  • 中国开放获取期刊数据库COAJ
  • CA
  • WJCI
  • 食品科学与工程领域高质量科技期刊分级目录第一方阵T1
中国精品科技期刊2020
鹿杰,黄志强,刘炎姝,等. 牡丹蛋白的安全性评价J. 食品工业科技,2024,45(1):224−230. doi: 10.13386/j.issn1002-0306.2023030346.
引用本文: 鹿杰,黄志强,刘炎姝,等. 牡丹蛋白的安全性评价J. 食品工业科技,2024,45(1):224−230. doi: 10.13386/j.issn1002-0306.2023030346.
LU Jie, HUANG Zhiqiang, LIU Yanshu, et al. Safety Evaluation of Peony ProteinJ. Science and Technology of Food Industry, 2024, 45(1): 224−230. (in Chinese with English abstract). doi: 10.13386/j.issn1002-0306.2023030346.
Citation: LU Jie, HUANG Zhiqiang, LIU Yanshu, et al. Safety Evaluation of Peony ProteinJ. Science and Technology of Food Industry, 2024, 45(1): 224−230. (in Chinese with English abstract). doi: 10.13386/j.issn1002-0306.2023030346.

牡丹蛋白的安全性评价

Safety Evaluation of Peony Protein

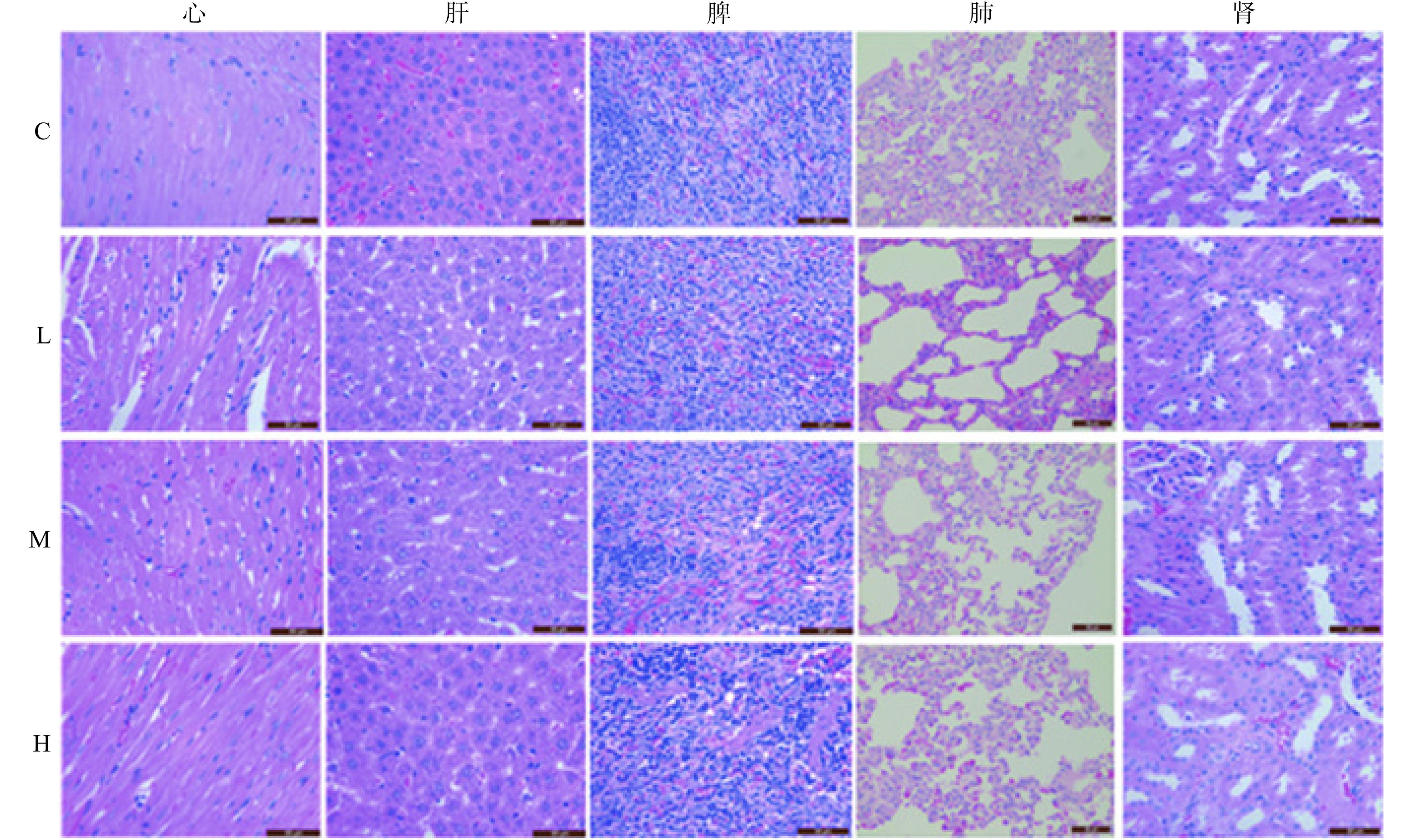
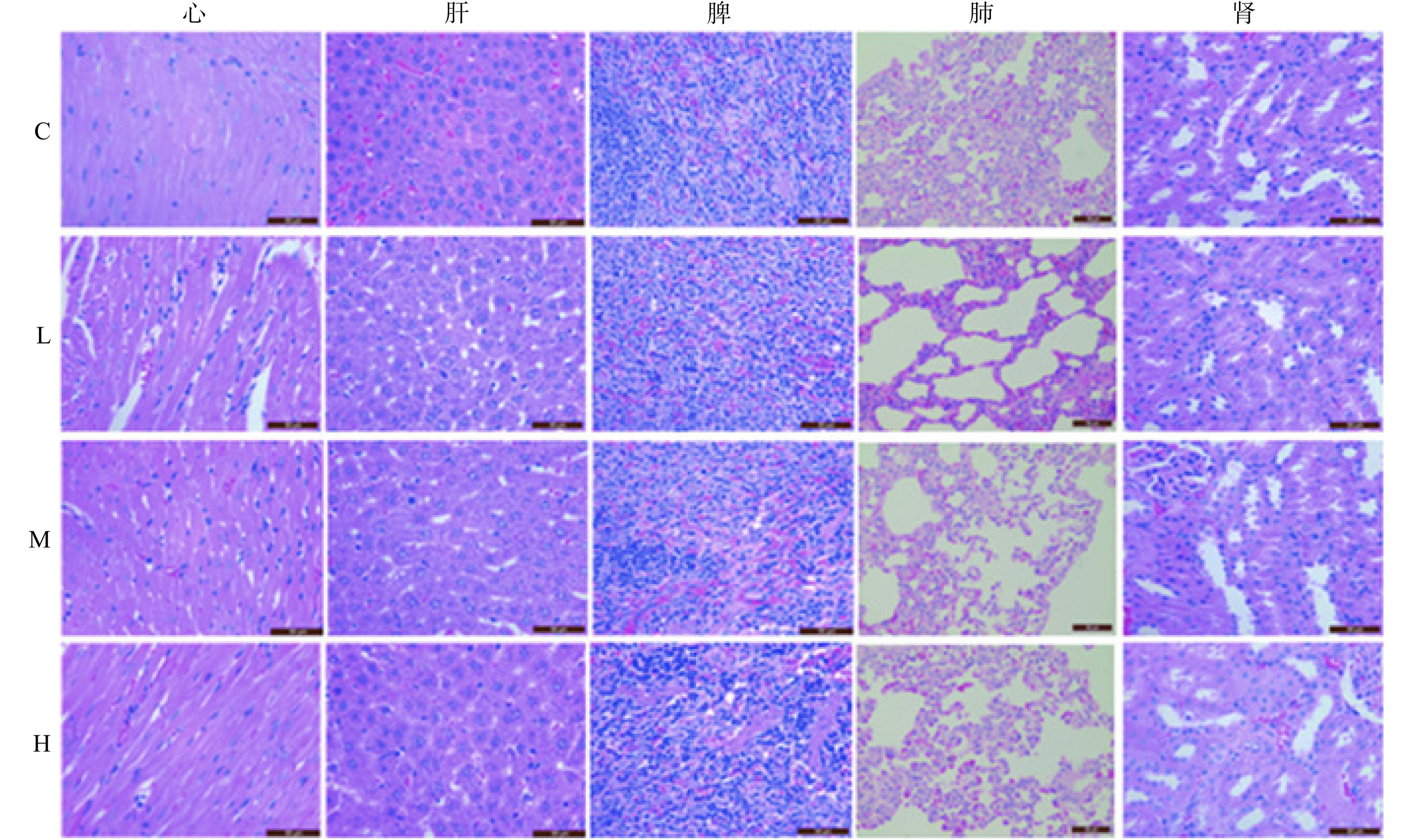
  • 摘要: 本研究旨在研究牡丹蛋白的安全性,为牡丹蛋白在食品领域中的应用提供科学依据。通过小鼠急性经口毒性试验、大鼠28 d经口毒性试验和90 d经口毒性试验评价其安全性。结果表明,急性经口毒性试验(灌胃剂量11700 mg/kg)小鼠无中毒反应,亦无动物死亡;大鼠28 d及90 d经口毒性试验中牡丹蛋白各剂量组(1500、3000、6000 mg/kg)大鼠食物利用率、脏体比及各项生命活动与空白组相比均无异常,血常规指标及血生化指标值与空白组均无显著性差异(P>0.05),脏器病理切片显示大鼠各组织形态完好,未见中毒性病变。证明在低于11700 mg/kg剂量范围内牡丹蛋白无毒,具备应用于食品领域的前景。

     

    Abstract: This study aimed to assess the safety and toxicity of peony protein and provide a scientific basis for its application in food industry. The safety evaluation included acute oral toxicity tests in mice, as well as 28 d and 90 d oral toxicity tests in rats. The results demonstrated that no signs of poisoning or mortality were observed in the acute oral toxicity test (intragastric dose of 11700 mg/kg) conducted on mice. Furthermore, in the 28 d and 90 d oral toxicity tests conducted on rats, no abnormal changes were observed in terms of food utilization, organ weight ratios, and various physiological activities, when compared to the control group (1500, 3000, 6000 mg/kg). Additionally, there were no significant differences (P>0.05) in blood routine and blood biochemical indices between the treatment groups and the control group. Histopathological examination of organ tissues revealed intact morphology without any toxic lesions. These findings provided solid evidence that peony protein was non-toxic in the dose range of less than 11700 mg/kg and hold promising potential for application in the food industry.

     

/

返回文章
返回