• 中国科技期刊卓越行动计划项目资助期刊
  • 中国精品科技期刊
  • 首都科技期刊卓越行动计划
  • EI
  • Scopus
  • CAB Abstracts
  • Global Health
  • 北大核心期刊
  • DOAJ
  • EBSCO
  • 中国核心学术期刊RCCSE A+
  • 中国科技核心期刊CSTPCD
  • JST China
  • FSTA
  • 中国农林核心期刊
  • 中国开放获取期刊数据库COAJ
  • CA
  • WJCI
  • 食品科学与工程领域高质量科技期刊分级目录第一方阵T1
中国精品科技期刊2020
张桓,许志诚,张兆丽,等. 不同腌制方式对盐水鹅生坯保水性及蛋白质氧化的影响J. 食品工业科技,2024,45(4):87−92. doi: 10.13386/j.issn1002-0306.2023050121.
引用本文: 张桓,许志诚,张兆丽,等. 不同腌制方式对盐水鹅生坯保水性及蛋白质氧化的影响J. 食品工业科技,2024,45(4):87−92. doi: 10.13386/j.issn1002-0306.2023050121.
ZHANG Huan, XU Zhicheng, ZHANG Zhaoli, et al. Effects of Different Pickling Methods on the Water Retention and Protein Oxidation of Salted Goose Raw MaterialJ. Science and Technology of Food Industry, 2024, 45(4): 87−92. (in Chinese with English abstract). doi: 10.13386/j.issn1002-0306.2023050121.
Citation: ZHANG Huan, XU Zhicheng, ZHANG Zhaoli, et al. Effects of Different Pickling Methods on the Water Retention and Protein Oxidation of Salted Goose Raw MaterialJ. Science and Technology of Food Industry, 2024, 45(4): 87−92. (in Chinese with English abstract). doi: 10.13386/j.issn1002-0306.2023050121.

不同腌制方式对盐水鹅生坯保水性及蛋白质氧化的影响

Effects of Different Pickling Methods on the Water Retention and Protein Oxidation of Salted Goose Raw Material

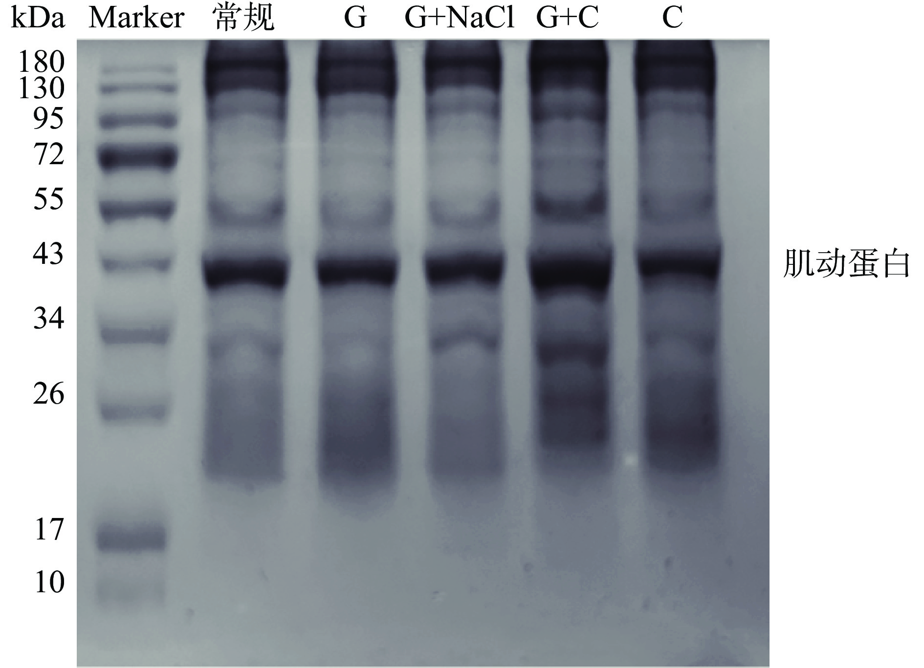
  • 摘要: 为探究不同腌制方式对盐水鹅生坯保水性及蛋白结构的影响,分别采用常规腌制法、真空滚揉腌制、超声波腌制、超声联合滚揉腌制、加盐滚揉腌制5种方式鹅进行腌制处理,腌制时间均为2 h。分别测定腌制后鹅肉的烹煮损失、离心损失、微观结构以及鹅肉肌原纤维蛋白的羰基、表面疏水性、总巯基、十二烷基硫酸钠聚丙烯酰胺凝胶电泳分析。结果表明:超声联合滚揉腌制的鹅肉保水性最佳,肌纤维破坏最大,明显改善鹅肉嫩度。超声联合滚揉腌制鹅肉肌原纤维蛋白表面疏水性(5.17 μg)与羰基含量(0.92 nmol/mg)低于真空滚揉、加盐滚揉、超声波腌制处理组,同时其总巯基含量最高(87.9 nmol/mg),反映其蛋白氧化程度低。十二烷基硫酸钠聚丙烯酰胺凝胶电泳显示超声联合滚揉腌制的蛋白条带在43 kDa处条带出现明显的扩散现象,在26~43 kDa处条带颜色最深表明蛋白发生降解。综上超声联合滚揉腌制是最优腌制方式。

     

    Abstract: This study aimed to investigate the impact of different pickling methods on the water retention and protein structure of salted goose raw material. Five pickling methods, namely conventional curing, vacuum tumbling curing, ultrasound curing, ultrasound combined with tumbling curing, and salt and tumbling curing, were employed, with a curing duration of 2 hours. The cured goose meat samples were analyzed for cooking loss, centrifugal loss, microstructure, as well as the carbonyl content, surface hydrophobicity, total sulfhydryl content, and sodium dodecyl sulfate-polyacrylamide gel electrophoresis (SDS-PAGE) of the myofibrillar proteins. The results indicated that the ultrasound combined with tumbling curing method exhibited superior water-holding capacity, resulting in significant enhancement of the tenderness of goose meat. Additionally, this curing method caused the most notable damage to the microstructure of muscle fibers. The myofibrillar proteins in the ultrasound combined with tumbling cured goose meat exhibited lower surface hydrophobicity (5.17 μg) and carbonyl content (0.92 nmol/mg) compared to the vacuum tumbling, salt and tumbling, and ultrasound curing groups. Conversely, the total sulfhydryl content was highest (87.9 nmol/mg), indicating lower protein oxidation levels. SDS-PAGE analysis revealed prominent diffusion of protein bands at the 43 kDa position and denser bands between 26 and 43 kDa for the ultrasound combined with tumbling cured samples, indicating protein degradation. In conclusion, ultrasound combined with tumbling curing represents the optimum curing method.

     

/

返回文章
返回