• 中国科技期刊卓越行动计划项目资助期刊
  • 中国精品科技期刊
  • 首都科技期刊卓越行动计划
  • EI
  • Scopus
  • CAB Abstracts
  • Global Health
  • 北大核心期刊
  • DOAJ
  • EBSCO
  • 中国核心学术期刊RCCSE A+
  • 中国科技核心期刊CSTPCD
  • JST China
  • FSTA
  • 中国农林核心期刊
  • 中国开放获取期刊数据库COAJ
  • CA
  • WJCI
  • 食品科学与工程领域高质量科技期刊分级目录第一方阵T1
中国精品科技期刊2020
游刚,黄思雯,钟湘,等. 仙草多糖对冻藏鱼糜肌原纤维蛋白结构和理化性质及鱼糜凝胶特性的影响J. 食品工业科技,2025,46(6):93−101. doi: 10.13386/j.issn1002-0306.2024030444.
引用本文: 游刚,黄思雯,钟湘,等. 仙草多糖对冻藏鱼糜肌原纤维蛋白结构和理化性质及鱼糜凝胶特性的影响J. 食品工业科技,2025,46(6):93−101. doi: 10.13386/j.issn1002-0306.2024030444.
YOU Gang, HUANG Siwen, ZHONG Xiang, et al. Influence of Hsian-tsao Polysaccharide on Structural and Physicochemical Properties of Myofibrillar Proteins in Frozen Surimi and Its Gel CharacteristicsJ. Science and Technology of Food Industry, 2025, 46(6): 93−101. (in Chinese with English abstract). doi: 10.13386/j.issn1002-0306.2024030444.
Citation: YOU Gang, HUANG Siwen, ZHONG Xiang, et al. Influence of Hsian-tsao Polysaccharide on Structural and Physicochemical Properties of Myofibrillar Proteins in Frozen Surimi and Its Gel CharacteristicsJ. Science and Technology of Food Industry, 2025, 46(6): 93−101. (in Chinese with English abstract). doi: 10.13386/j.issn1002-0306.2024030444.

仙草多糖对冻藏鱼糜肌原纤维蛋白结构和理化性质及鱼糜凝胶特性的影响

Influence of Hsian-tsao Polysaccharide on Structural and Physicochemical Properties of Myofibrillar Proteins in Frozen Surimi and Its Gel Characteristics

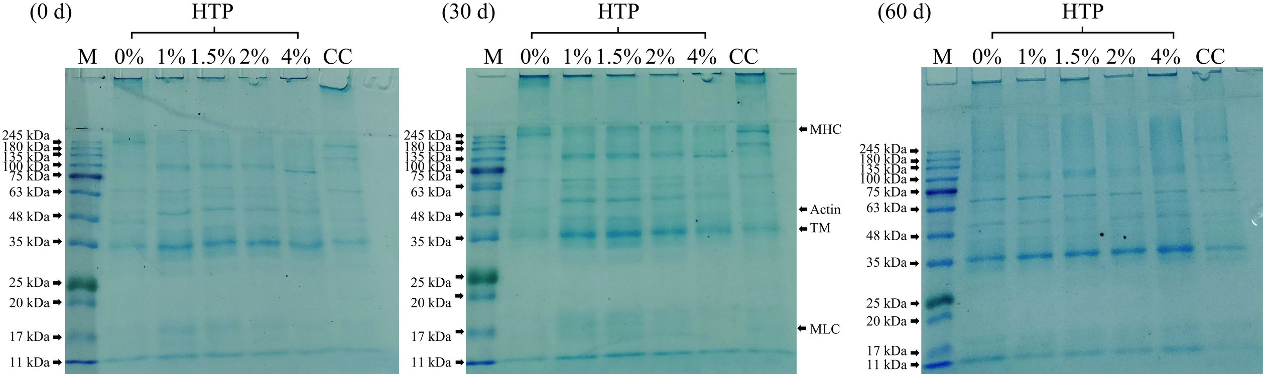
  • 摘要: 针对冻藏引起蛋白质变性导致鱼糜凝胶质量劣化问题,实验以传统商业抗冻剂(4%蔗糖+4%山梨醇)为对照,研究添加仙草多糖HTP(0%、1%、1.5%、2%、4%,w/w)对冻藏(0、30、60 d)鱼糜肌原纤维蛋白(MP)结构和理化性质(表面疏水性、浊度、十二烷基硫酸钠-聚丙烯酰胺凝胶电泳(Sodium Dodecyl Sulfate-Polyacryl Amide Gel Eectrophoresis,SDS-PAGE)、荧光光谱)及鱼糜凝胶特性(红外光谱、电子舌、持水力、凝胶强度、蒸煮损失率)的影响。结果表明,与未添加组相比,添加HTP可降低冻藏鱼糜MP的表面疏水性和浊度,阻碍MP聚集;电泳和荧光光谱证实HTP有效改善冻藏MP变性聚集;此外,添加HTP可提高鱼糜凝胶强度、增加持水力和降低蒸煮损失率,与HTP改变鱼糜蛋白质结构变化有关(如蛋白质的β-折叠结构增加和表面疏水性降低);同时,HTP对冻藏鱼糜凝胶滋味(鲜味、咸味和丰富度)的影响不明显(P>0.05)。随着HTP添加量增加,冻藏鱼糜凝胶特性的改善效果呈现先增强后减弱趋势。经冻藏30和60 d,添加1.5%HTP的鱼糜凝胶强度较未添加组分别增加2.17倍和2.09倍,持水力分别增加11.06%和17.47%,蒸煮损失率分别降低22.55%和19.56%(P<0.05),其MP表面疏水性分别降低31.84%和29.43%,浊度分别降低52.81%和2.43%(P<0.05)。因此,添加适量的HTP可减缓冷冻鱼糜MP变性程度及改善鱼糜凝胶特性,为HTP在冷冻糜制品中的应用提供理论参考。

     

    Abstract: Addressing the issue of gel degradation in frozen surimi triggered by protein denaturation, this study employed a conventional commercial cryoprotectant blend (4% sucrose+4% sorbitol) as a control to examine the effects of adding Hsian-tsao polysaccharide HTP (0%, 1%, 1.5%, 2%, 4%, w/w) on the structural and physicochemical properties (including surface hydrophobicity, turbidity, SDS-PAGE profiles, and fluorescence spectroscopy) of myofibrillar proteins (MP) as well as the gel characteristics (including inferred from Fourier transform infrared spectroscopy, electronic tongue analysis, water-holding capacity, gel firmness, and cooking loss) of frozen surimi during 0, 30, and 60 d of storage. The findings demonstrated that, as compared to control, incorporating HTP reduced the surface hydrophobicity and turbidity of frozen MP, inhibiting their aggregation. SDS-PAGE analysed and fluorescence spectroscopy confirmed the efficacy of HTP in alleviating the denaturation and aggregation of frozen MP. Additionally, HTP addition was shown to augment gel strength, enhance water-holding capabilities, and reduce cooking losses, phenomena linked to HTP-induced alterations in protein structure, specifically an increase in β-sheet content and a decrease in surface hydrophobicity. Notably, HTP did not significantly alter the taste attributes (umami, saltiness, and richness) of frozen surimi gels (P>0.05). As HTP increased, the enhancement of gel properties in frozen surimi followed a trend of initial improvement, which then declined. Specifically, after 30 and 60 d of freezing, the gel strength of surimi with 1.5% HTP added increased 2.17-fold and 2.09-fold, water-holding capacity rose by 11.06% and 17.47%, and cooking loss rates diminished by 22.55% and 19.56%, respectively (P<0.05). Concurrently, the surface hydrophobicity of MP declined by 31.84% and 29.43%, paralleled by a decrease in turbidity by 52.81% and 2.43% (P<0.05). Consequently, adding HTP can mitigate the extent of MP denaturation in frozen surimi and improve its gel properties, thereby providing a theoretical basis for the application of HTP in frozen surimi products.

     

/

返回文章
返回