• 中国科技期刊卓越行动计划项目资助期刊
  • 中国精品科技期刊
  • 首都科技期刊卓越行动计划
  • EI
  • Scopus
  • CAB Abstracts
  • Global Health
  • 北大核心期刊
  • DOAJ
  • EBSCO
  • 中国核心学术期刊RCCSE A+
  • 中国科技核心期刊CSTPCD
  • JST China
  • FSTA
  • 中国农林核心期刊
  • 中国开放获取期刊数据库COAJ
  • CA
  • WJCI
  • 食品科学与工程领域高质量科技期刊分级目录第一方阵T1
中国精品科技期刊2020
李师行,徐洪涛,李笑,等. A1/A2 β-酪蛋白基因型的鉴定及其消化性能的比较J. 食品工业科技,2025,46(5):160−167. doi: 10.13386/j.issn1002-0306.2024040342.
引用本文: 李师行,徐洪涛,李笑,等. A1/A2 β-酪蛋白基因型的鉴定及其消化性能的比较J. 食品工业科技,2025,46(5):160−167. doi: 10.13386/j.issn1002-0306.2024040342.
LI Shihang, XU Hongtao, LI Xiao, et al. Identification of A1/A2 β-Casein Genotypes and Comparison of Their Digestive PropertiesJ. Science and Technology of Food Industry, 2025, 46(5): 160−167. (in Chinese with English abstract). doi: 10.13386/j.issn1002-0306.2024040342.
Citation: LI Shihang, XU Hongtao, LI Xiao, et al. Identification of A1/A2 β-Casein Genotypes and Comparison of Their Digestive PropertiesJ. Science and Technology of Food Industry, 2025, 46(5): 160−167. (in Chinese with English abstract). doi: 10.13386/j.issn1002-0306.2024040342.

A1/A2 β-酪蛋白基因型的鉴定及其消化性能的比较

Identification of A1/A2 β-Casein Genotypes and Comparison of Their Digestive Properties

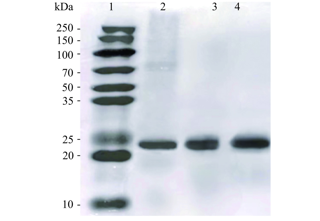
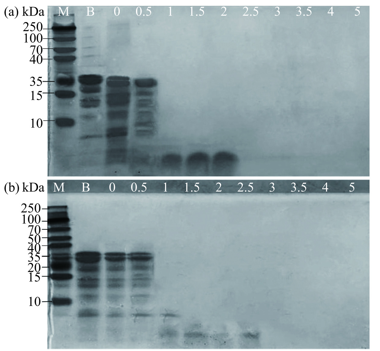
  • 摘要: A1 β-酪蛋白和A2 β-酪蛋白由于一级结构上的差异,消化后产生的物质也不相同。为了更全面地探究其对人体可能产生的生物活性影响,通过分析和监测该蛋白质在消化过程中的变化情况,进一步实现对A1/A2 β-酪蛋白生物功能的探索。在本研究中,对采自某一牧场不同奶牛的牛奶进行等位基因特异性PCR鉴别,并借助阴离子交换色谱和十二烷基硫酸钠聚丙烯酰胺凝胶电泳法对牛奶分离出的β-酪蛋白进行纯化和鉴定,最后构建静态体外消化模型比较β-酪蛋白在消化性能上的差异。结果显示,分离纯化的A1和A2 β-酪蛋白的浓度分别为0.62 mg/mL和0.66 mg/mL,纯度分别为95.28%和96.60%。两种β-酪蛋白的最终消化率均在90%左右,差异不显著。A2 β-酪蛋白自肠消化阶段开始直至消化结束表现出了更高的水解度,为25.34%。随着胃肠消化时间的增加,两种β-酪蛋白的粒径不断减小,电位绝对值不断增大,并且A2 β-酪蛋白在粒径和电位上的变化程度大于A1 β-酪蛋白。综上所述,本研究揭示了A1和A2 β-酪蛋白在静态体外消化过程中的理化特性差异,并在一定程度上表明A2 β-酪蛋白可能具有比A1 β-酪蛋白更好的消化性能,为进一步拓宽A2 β-酪蛋白在乳制品中的应用提供一定科学依据。

     

    Abstract: A1 β-casein and A2 β-casein produce different substances after digestion due to differences in primary structure. To more comprehensively explore the possible biological activity effects on the human body, by analyzing and monitoring the changes of this protein during the digestion process, the exploration of the biological functions of A1/A2 β-casein is further achieved. In this study, allele-specific PCR was initially performed on milk samples collected from different cows in the pasture to identify A1 and A2 milk types. Afterwards, β-casein isolated from A1 and A2 milk was purified and characterized with the help of anion exchange chromatography and sodium dodecyl sulfate polyacrylamide gel electrophoresis. Finally, a static in vitro digestion model was constructed to compare A1 and A2 β-casein in terms of digestive properties. The results showed that the concentrations of isolated and purified A1 and A2 β-casein were 0.62 mg/mL and 0.66 mg/mL and the purities were 95.28% and 96.60%. After 5.0 h of static in vitro simulated digestion, the final digestibility of both β-caseins was around 90%, and the difference was not significant. A2 β-casein exhibited a higher degree of hydrolysis of 25.34% from the beginning of the intestinal digestion phase until the end of digestion. With the increase of gastrointestinal digestion time, the particle size of the two β-caseins decreased and the absolute value of the potential increased, and the degree of change in particle size and potential was greater for A2 β-casein than for A1 β-casein. In conclusion, the present study revealed the differences in the physicochemical properties of A1 and A2 β-caseins during static in vitro digestion and indicated to some extent that A2 β-caseins might have better digestive properties than A1 β-caseins, which provided a certain scientific basis for further expanding the application of A2 β-caseins in dairy products.

     

/

返回文章
返回