• 中国科技期刊卓越行动计划项目资助期刊
  • 中国精品科技期刊
  • 首都科技期刊卓越行动计划
  • EI
  • Scopus
  • CAB Abstracts
  • Global Health
  • 北大核心期刊
  • DOAJ
  • EBSCO
  • 中国核心学术期刊RCCSE A+
  • 中国科技核心期刊CSTPCD
  • JST China
  • FSTA
  • 中国农林核心期刊
  • 中国开放获取期刊数据库COAJ
  • CA
  • WJCI
  • 食品科学与工程领域高质量科技期刊分级目录第一方阵T1
中国精品科技期刊2020
陆丽仪,高业成,陈君龙,等. 复合益生菌改善小鼠抗生素相关性腹泻的作用J. 食品工业科技,2025,46(9):363−371. doi: 10.13386/j.issn1002-0306.2024050212.
引用本文: 陆丽仪,高业成,陈君龙,等. 复合益生菌改善小鼠抗生素相关性腹泻的作用J. 食品工业科技,2025,46(9):363−371. doi: 10.13386/j.issn1002-0306.2024050212.
LU Liyi, GAO Yecheng, CHEN Junlong, et al. Effect of Probiotics Complex on Improving Antibiotic-associated Diarrhea in MiceJ. Science and Technology of Food Industry, 2025, 46(9): 363−371. (in Chinese with English abstract). doi: 10.13386/j.issn1002-0306.2024050212.
Citation: LU Liyi, GAO Yecheng, CHEN Junlong, et al. Effect of Probiotics Complex on Improving Antibiotic-associated Diarrhea in MiceJ. Science and Technology of Food Industry, 2025, 46(9): 363−371. (in Chinese with English abstract). doi: 10.13386/j.issn1002-0306.2024050212.

复合益生菌改善小鼠抗生素相关性腹泻的作用

Effect of Probiotics Complex on Improving Antibiotic-associated Diarrhea in Mice

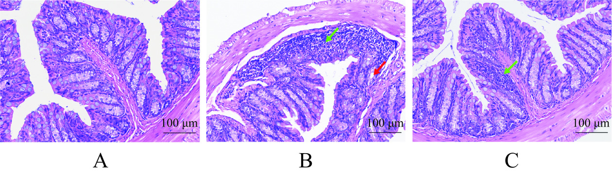
  • 摘要: 益生菌常用于临床上改善抗生素相关性腹泻(Antibiotic-associated diarrhoea,AAD),本研究旨在分析复合益生菌对AAD的改善效果并探究其作用机制。使用三联抗生素混合溶液建立AAD小鼠模型,观察复合益生菌对小鼠粪便状态及结肠组织结构的影响,分析肠道屏障功能相关基因表达水平、粪便短链脂肪酸及肠道菌群群落结构的变化。结果表明,复合益生菌可显著降低小鼠粪便含水量和粪便稠度评分(P<0.05),显著增加乙酸、丁酸含量(P<0.05),显著上调肠道紧密连接蛋白ZO-1occludin的mRNA表达水平(P<0.05)。同时,可通过增加以毛螺菌科(Lachnospiraceae)为代表的有益菌增殖和减少以铜绿假单胞菌(Pseudomonas aeruginosa)为代表的条件致病菌的富集,在一定程度上改善抗生素引起的肠道菌群失衡。以上结果表明,复合益生菌具有通过调节肠道菌群及其微环境、增强肠道屏障及提高短链脂肪酸含量,进而缓解AAD症状的潜力。

     

    Abstract: Probiotics are frequently utilized in clinical practice to mitigate antibiotic-associated diarrhoea (AAD). This study aimed to assess the efficacy of probiotics complex in ameliorating AAD and to elucidate the underlying mechanisms. AAD was induced in mice using a mixture of three antibiotics. The impact of the probiotics complex on fecal properties and colonic tissue structure were evaluated, alongside the expression levels of genes related to intestinal barrier function, short-chain fatty acids, and the structure of the intestinal microbiota community. The results indicated that probiotics complex significantly reduced fecal water content and consistency score in mice (P<0.05) and significantly increased the levels of acetic acid and butyric acid (P<0.05). Furthermore, the administration of probiotics complex notably up-regulated the mRNA expression levels of intestinal tight junction proteins ZO-1 and occludin (P<0.05). Moreover, probiotics complex partially mitigated antibiotic-induced dysbiosis by promoting beneficial bacteria proliferation such as Lachnospiraceae, and reducing conditionally pathogenic species such as Pseudomonas aeruginosa. These results suggest that probiotics complex has the potential to alleviate AAD symptoms, through modulating the gut microbiota and their niche, strengthening the intestinal barrier, and increasing short-chain fatty acid levels.

     

/

返回文章
返回