• 中国科技期刊卓越行动计划项目资助期刊
  • 中国精品科技期刊
  • EI
  • Scopus
  • CAB Abstracts
  • Global Health
  • 北大核心期刊
  • DOAJ
  • EBSCO
  • 中国核心学术期刊RCCSE A+
  • 中国科技核心期刊CSTPCD
  • JST China
  • FSTA
  • 中国农林核心期刊
  • 中国开放获取期刊数据库COAJ
  • CA
  • WJCI
  • 食品科学与工程领域高质量科技期刊分级目录第一方阵T1
中国精品科技期刊2020
倪继龙,焦龙,王家星,等. 琼胶寡糖对冻藏南美白对虾肌肉品质特性的影响J. 食品工业科技,2025,46(6):155−163. doi: 10.13386/j.issn1002-0306.2024050392.
引用本文: 倪继龙,焦龙,王家星,等. 琼胶寡糖对冻藏南美白对虾肌肉品质特性的影响J. 食品工业科技,2025,46(6):155−163. doi: 10.13386/j.issn1002-0306.2024050392.
NI Jilong, JIAO Long, WANG Jiaxing, et al. Effects of Agar Oligosaccharides on Muscle Quality Characteristics of Litopenaeus vannamei during Frozen StorageJ. Science and Technology of Food Industry, 2025, 46(6): 155−163. (in Chinese with English abstract). doi: 10.13386/j.issn1002-0306.2024050392.
Citation: NI Jilong, JIAO Long, WANG Jiaxing, et al. Effects of Agar Oligosaccharides on Muscle Quality Characteristics of Litopenaeus vannamei during Frozen StorageJ. Science and Technology of Food Industry, 2025, 46(6): 155−163. (in Chinese with English abstract). doi: 10.13386/j.issn1002-0306.2024050392.

琼胶寡糖对冻藏南美白对虾肌肉品质特性的影响

Effects of Agar Oligosaccharides on Muscle Quality Characteristics of Litopenaeus vannamei during Frozen Storage

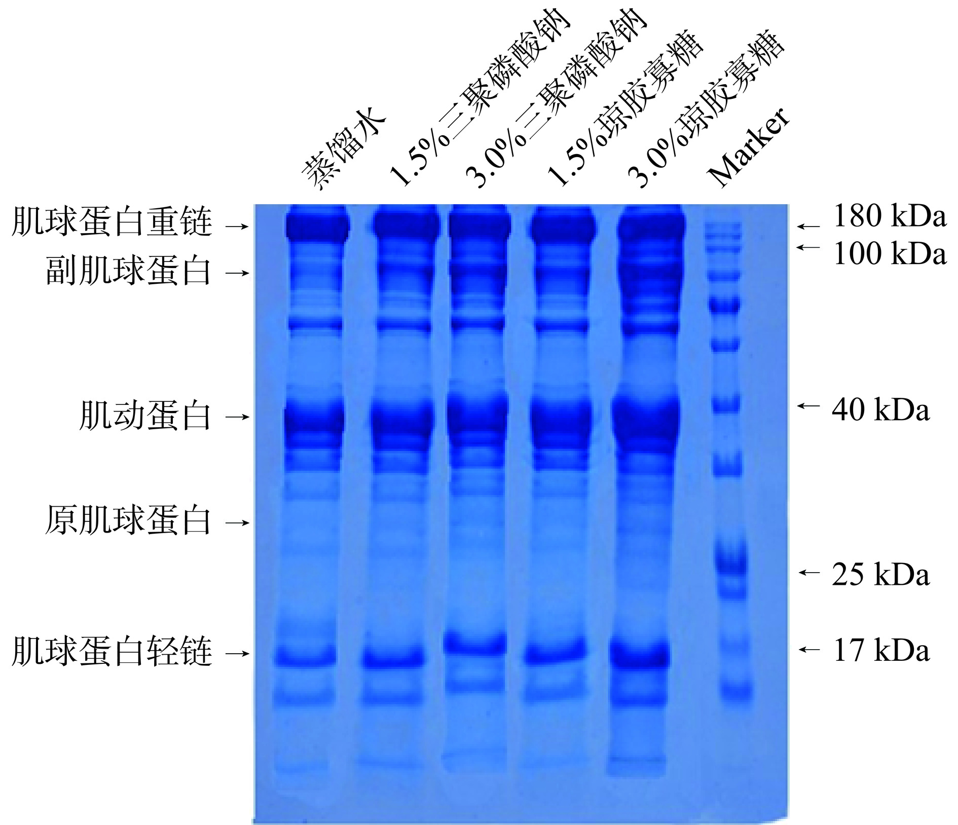
  • 摘要: 目的:考察琼胶寡糖对冻藏南美白对虾肌肉品质特性的影响。方法:将新鲜南美白对虾分别浸泡在蒸馏水、1.5%和3.0%琼胶寡糖、1.5%和3.0%三聚磷酸钠溶液中,冻藏0、20、40、60、80和100 d,分别测定其解冻损失率、蒸煮损失率、pH、L*值、水分活度、水分含量、质构、肌原纤维蛋白含量、Ca2+-ATPase活性、羰基含量、各化学键含量、活性巯基和总巯基含量等指标。结果:随着冻藏时间增加,南美白对虾蒸煮损失率、解冻损失率、L*值、羰基和疏水键含量分别增加了14.52%~37.66%、35.33%~71.01%、4.98%~17.71%、78.96%~142.72%和156.58%~271.23%;弹性、咀嚼性、水分活度、水分含量、肌原纤维蛋白、离子键、氢键、活性巯基和总巯基含量分别降低了24.47%~50.49%、39.56%~66.05%、2.13%~4.67%、4.13%~10.08%、15.30%~25.33%、46.32%~66.50%、31.79%~66.83%、41.97%~60.77%和30.29%~44.84%;pH呈先下降再上升趋势。其中,琼胶寡糖和三聚磷酸钠组各个指标的检测结果均优于蒸馏水组,浓度为3%时效果最佳。结论:琼胶寡糖能显著抑制南美白对虾肌肉品质的劣化。本研究为新型无磷抗冻剂的开发与应用提供思路和理论支撑。

     

    Abstract: Objective: The effects of agar oligosaccharides on the quality characteristics of Litopenaeus vannamei were investigated during frozen storage. Methods: Fresh L. vannamei were immersed in distilled water, 1.5% and 3.0% agarose oligosaccharides, 1.5% and 3.0% sodium tripolyphosphate solution, respectively. The thawing loss rate, cooking loss rate, pH, L* value, water activity, water content, texture characteristics, myofibrillar protein content, Ca2+-ATPase activity, carbonyl content, chemical bond content, active sulfhydryl content and total sulfhydryl content were measured on the 0, 20, 40, 60, 80, and 100 d of frozen storage. Results: With the increase of frozen storage time, the cooking loss rate, thawing loss rate, L* value, carbonyl content and hydrophobic bond content of L. vannamei increased by 14.52%~37.66%, 35.33%~71.01%, 4.98%~17.71%, 78.96%~142.72% and 156.58%~271.23%, respectively. The springiness, chewiness, water activity, water content, myofibrillar protein content, ionic bond content, hydrogen bond content, active sulfhydryl group, and total sulfhydryl group content decreased by 24.47%~50.49%, 39.56%~66.05%, 2.13%~4.67%, 4.13%~10.08%, 15.30%~25.33%, 46.32%~66.50%, 31.79%~66.83%, 41.97%~60.77% and 30.29%~44.84%, respectively. The pH showed a trend of decreasing first and then increasing. Among them, the results of each index in the agar oligosaccharide and sodium tripolyphosphate groups were better than those in the distilled water group, and the effect was the best when the concentration was 3%. Conclusion: Agar oligosaccharides can significantly inhibit the deterioration of muscle quality of L. vannamei during frozen storage. This study provides ideas and theoretical support for the development and application of new phosphorus-free antifreeze.

     

/

返回文章
返回