• 中国科技期刊卓越行动计划项目资助期刊
  • 中国精品科技期刊
  • EI
  • Scopus
  • CAB Abstracts
  • Global Health
  • 北大核心期刊
  • DOAJ
  • EBSCO
  • 中国核心学术期刊RCCSE A+
  • 中国科技核心期刊CSTPCD
  • JST China
  • FSTA
  • 中国农林核心期刊
  • 中国开放获取期刊数据库COAJ
  • CA
  • WJCI
  • 食品科学与工程领域高质量科技期刊分级目录第一方阵T1
中国精品科技期刊2020
孙宏莱,刘悦,刘德江,等. 毛水苏多糖对糖尿病小鼠肾脏的保护作用J. 食品工业科技,2021,42(17):373−380. doi: 10.13386/j.issn1002-0306.2021050278.
引用本文: 孙宏莱,刘悦,刘德江,等. 毛水苏多糖对糖尿病小鼠肾脏的保护作用J. 食品工业科技,2021,42(17):373−380. doi: 10.13386/j.issn1002-0306.2021050278.
SUN Honglai, LIU Yue, LIU Dejiang, et al. Protective Effect of Polysaccharides from Stachys baicalensis on Kidneys of Diabetic Disease MiceJ. Science and Technology of Food Industry, 2021, 42(17): 373−380. (in Chinese with English abstract). doi: 10.13386/j.issn1002-0306.2021050278.
Citation: SUN Honglai, LIU Yue, LIU Dejiang, et al. Protective Effect of Polysaccharides from Stachys baicalensis on Kidneys of Diabetic Disease MiceJ. Science and Technology of Food Industry, 2021, 42(17): 373−380. (in Chinese with English abstract). doi: 10.13386/j.issn1002-0306.2021050278.

毛水苏多糖对糖尿病小鼠肾脏的保护作用

Protective Effect of Polysaccharides from Stachys baicalensis on Kidneys of Diabetic Disease Mice

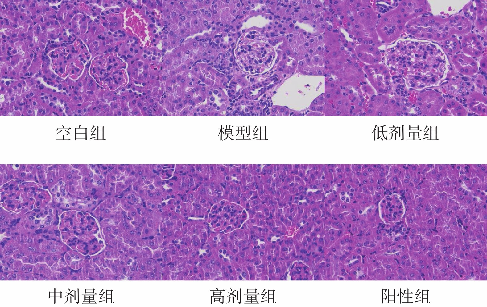
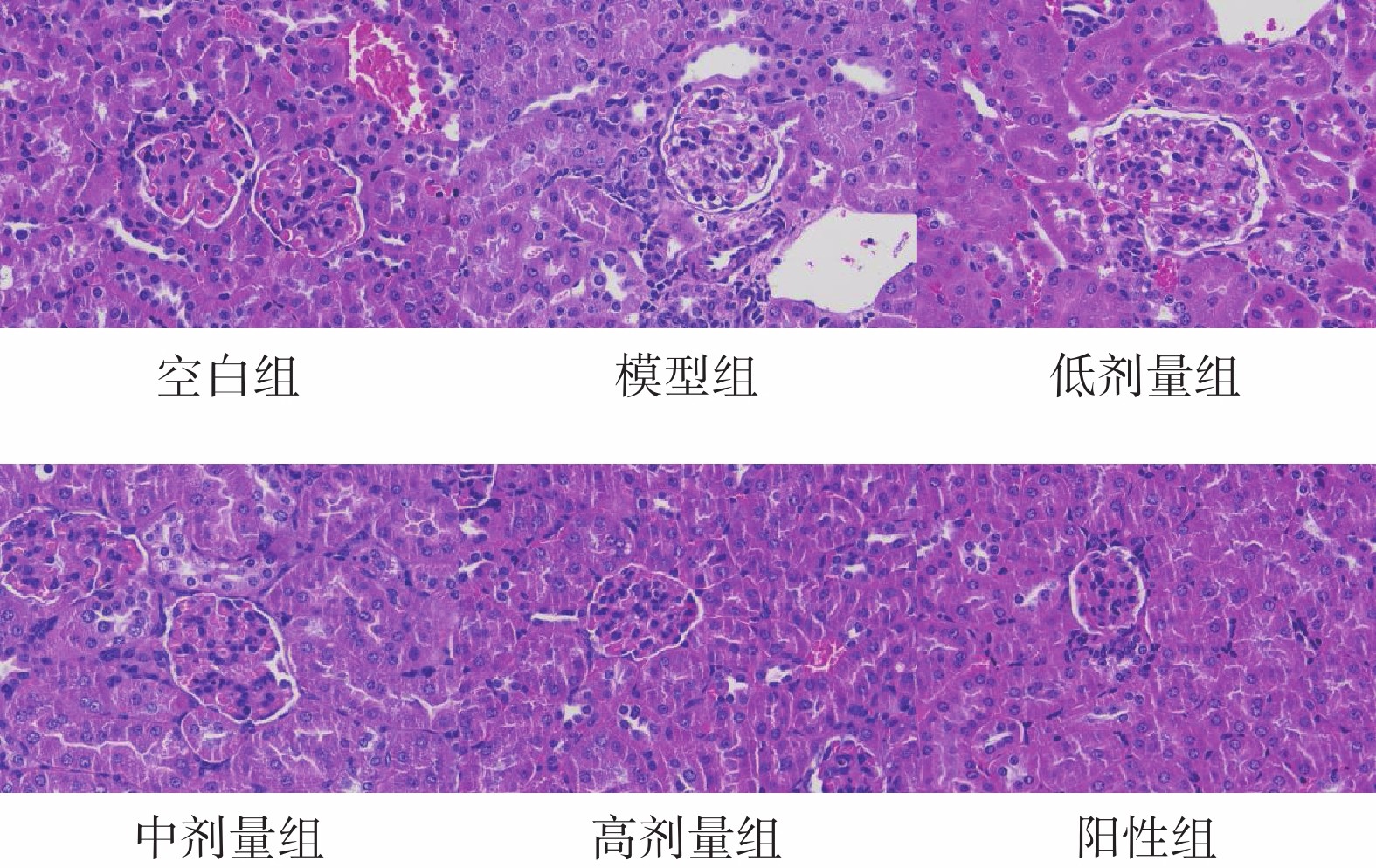
  • 摘要: 目的:探究毛水苏多糖(polysaccharides from Stachysbaicalensis, SBP)对糖尿病小鼠肾脏的保护作用。方法:采用高糖饲料喂养结合腹腔注射链脲佐菌素(STZ)诱导建立Ⅱ型糖尿病模型,连续灌胃28 d后,考察毛水苏多糖对糖尿病小鼠的体重、空腹血糖水平、肾脏指数、肾功能指标血肌酐(Scr)、尿素氮(BUN)、尿蛋白以及肾脏组织抗氧化指标超氧化物歧化酶(SOD)、谷胱甘肽过氧化物酶(GSH-Px)、过氧化氢酶(CAT)、丙二醛(MDA)活力与含量的影响,并进行肾脏组织病理学检测,采用qRT-PCR法测定肾脏组织中VCAM-1、IL-1β及IL-6的mRNA水平。结果:毛水苏多糖可明显减轻糖尿病症状,体重异常情况明显改善,空腹血糖值与肾脏指数明显降低。给药组小鼠肾功能指标Scr、BUN、尿蛋白含量显著降低(P<0.05),肾脏组织抗氧化指标SOD、GSH-Px、CAT含量与活力显著升高(P<0.05),抑制MDA的产生,对抑制肾脏肿胀和修复组织损伤具有良好的效果,有效降低肾脏组织中VCAM-1、IL-1β及IL-6的mRNA水平。结论:毛水苏多糖对于STZ诱导的糖尿病小鼠的肾脏保护作用可能与增强体内抗氧化能力、抑制机体的过氧化损伤、减少脂质过氧化合成以及调节炎症因子有关。

     

    Abstract: Objective: To explore the protective effect of polysaccharides from Stachys baicalensis(SBP) on the kidneys of diabetic disease mice. Methods: Streptozocin (STZ) induction combined with high-sugar and high-fat feed was used to establish type 2 diabetes mellitus model. After continuous intragastric administration of the mice for 28 d, the body weight and blood sugar of the mice were measured, the kidney index, renal function index(serum creatinine, urea nitrogen, urine protein), and the antioxidant capacity(superoxide dismutase, glutathione peroxidase, catalase, malondialdehyde) of the kidneys were determined and the pathological sections of the kidneys of the mice was observed. The mRNA level of VCAM-1, IL-1β and IL-6 of in kidney of diabetic mice was measured by qRT-PCR method. Results: SBP could significantly reduce the symptoms of diabetes, significantly improve the abnormal body weight, and significantly reduce the fasting blood glucose level and kidney index. The contents of renal function indexes Scr, BUN, and urine protein in the administration group were significantly reduced (P<0.05), and the contents and vitality of the antioxidant indexes superoxide dismutase (SOD), glutathione peroxidase (GSH-Px) and catalase (CAT)in the kidney tissue significantly increased (P<0.05), inhibiting the production of malondialdehyde (MDA). SBP could inhibit kidney swelling and had a good effect on repairing tissue damage, and it could effectively reduce the mRNA level of VCAM-1, IL-1β and IL-6 of in kidney of diabetic mice. Conclusion: The protective effect of SBP on the kidneys of STZ-induced diabetic disease mice might be related to enhancing the body's antioxidant capacity, inhibiting the body's peroxidative damage, reducing the synthesis of lipid peroxidation, and adjusting the inflammatory cytokines.

     

/

返回文章
返回