• 中国科技期刊卓越行动计划项目资助期刊
  • 中国精品科技期刊
  • EI
  • Scopus
  • CAB Abstracts
  • Global Health
  • 北大核心期刊
  • DOAJ
  • EBSCO
  • 中国核心学术期刊RCCSE A+
  • 中国科技核心期刊CSTPCD
  • JST China
  • FSTA
  • 中国农林核心期刊
  • 中国开放获取期刊数据库COAJ
  • CA
  • WJCI
  • 食品科学与工程领域高质量科技期刊分级目录第一方阵T1
中国精品科技期刊2020
徐勤茜,朱国威,赵梓伶,等. 酸橙内生菌Bacillus thuringiensis Bt028几丁质酶的分离纯化及其酶学性质J. 食品工业科技,2022,43(11):159−166. doi: 10.13386/j.issn1002-0306.2021100184.
引用本文: 徐勤茜,朱国威,赵梓伶,等. 酸橙内生菌Bacillus thuringiensis Bt028几丁质酶的分离纯化及其酶学性质J. 食品工业科技,2022,43(11):159−166. doi: 10.13386/j.issn1002-0306.2021100184.
XU Qinqian, ZHU Guowei, ZHAO Ziling, et al. Separation, Purification and Characterization of Chitinase of the Endophytic Bacterium Bacillus thuringiensis Bt028 Isolated from Sour OrangeJ. Science and Technology of Food Industry, 2022, 43(11): 159−166. (in Chinese with English abstract). doi: 10.13386/j.issn1002-0306.2021100184.
Citation: XU Qinqian, ZHU Guowei, ZHAO Ziling, et al. Separation, Purification and Characterization of Chitinase of the Endophytic Bacterium Bacillus thuringiensis Bt028 Isolated from Sour OrangeJ. Science and Technology of Food Industry, 2022, 43(11): 159−166. (in Chinese with English abstract). doi: 10.13386/j.issn1002-0306.2021100184.

酸橙内生菌Bacillus thuringiensis Bt028几丁质酶的分离纯化及其酶学性质

Separation, Purification and Characterization of Chitinase of the Endophytic Bacterium Bacillus thuringiensis Bt028 Isolated from Sour Orange

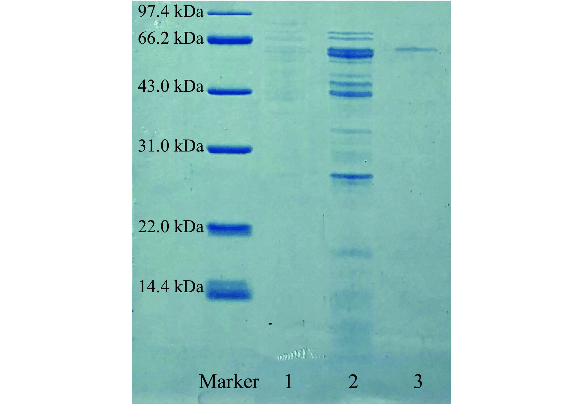
  • 摘要: 为揭示酸橙内生菌Bacillus thuringiensis Bt028几丁质酶的基本酶学性质,采用离心、硫酸铵盐析、葡聚糖凝胶G-100层析及SDS-聚丙烯酰胺凝胶电泳等方法对菌株Bt028发酵液中的几丁质酶进行分离纯化鉴定,并考察该几丁质酶的最适温度、最适pH、催化动力学参数等性质。结果表明,Bt028菌株发酵液经离心、硫酸铵盐析、葡聚糖凝胶G-100层析分离纯化后获得电泳纯几丁质酶比活力为681.78 U/mg,纯化倍数为3.21,回收率15.52%。SDS-聚丙烯酰胺凝胶电泳结果表明,几丁质酶的分子质量为65 kDa。酶学性质研究结果表明,该酶的最适反应温度为60 ℃,最适反应pH为6.5,在温度低于60 ℃、pH5.5~7.5时有较好的稳定性;Mg2+、Ca2+、Hg2+、Co2+对该酶活力有抑制作用,而Cu2+和Fe3+有一定的促进作用;低浓度的甲醇、乙醇、正丙醇和二甲亚砜使酶的活性增加,但当浓度继续增大,反而会抑制酶的活性;丙酮对几丁质酶有激活作用,而甲醛对几丁质酶有抑制作用。在最适催化条件下,几丁质酶催化反应的米氏常数Km、最大反应速率Vmax、酶的转换数Kcat分别为29.533 mg/mL、108.696 μmoL/(L·min)和0.527/min。研究结果可为该酶的实际应用提供必要的工艺参数。

     

    Abstract: In order to reveal the basic enzymatic properties of the chitinase produced by an endophytic bacterium Bacillus thuringiensis Bt028 isolated from sour orange fruit, the chitinase in the strain fermentation broth were purified by centrifugation, ammonium sulfate precipitation, dextran gel G-100 chromatography and SDS-polyacrylamide gel electrophoresis and the optimum temperature, optimum pH and catalytic kinetic parameters of the chitinase were also investigated. The results showed that electrophoretic pure chitinase was obtained by centrifugation, ammonium sulfate precipitation and dextran G-100 gel chromatography from fermentation broth of the strain Bt028, with the specific activity of 681.78 U/mg, the purification factor of 3.21 and enzymatic activity recovery of 15.52%, and the molecular mass of the chitinase was determined to be 65 kDa by SDS-polyacrylamide gel electrophoresis. The enzymatic characteristics study results showed that the optimum reaction temperature of the chitinase was 60 ℃ with good stability when temperature lower than 60 ℃; and the optimum reaction pH was 6.5 with good stability at pH5.5~7.5. Mg2+, Ca2+, Hg2+ and Co2+ had inhibitory effect on the enzyme activity, while Cu2+ and Fe3+ had a certain promotion effect. Low concentrations of methanol, ethanol, n-propanol and dimethyl sulfoxide increased the enzymatic activity, however, the chitinase would be inhibited when the concentration of these organic solvents were increased to a certain level. The chitinase could be activated by acetone but inhibited by formaldehyde. Under the optimal catalytic conditions, the value of Km, Vmax and Kcat of the chitinase-catalyzed reaction were 29.533 mg/mL, 108.696 μmoL/(L·min) and 0.527/min, respectively. Research results provide technical parameters for the practical application of the chitinase.

     

/

返回文章
返回