• 中国科技期刊卓越行动计划项目资助期刊
  • 中国精品科技期刊
  • EI
  • Scopus
  • CAB Abstracts
  • Global Health
  • 北大核心期刊
  • DOAJ
  • EBSCO
  • 中国核心学术期刊RCCSE A+
  • 中国科技核心期刊CSTPCD
  • JST China
  • FSTA
  • 中国农林核心期刊
  • 中国开放获取期刊数据库COAJ
  • CA
  • WJCI
  • 食品科学与工程领域高质量科技期刊分级目录第一方阵T1
中国精品科技期刊2020
戴丛书,柴晶美,林长青. 金银花黄酮提取物的降血糖作用J. 食品工业科技,2022,43(24):386−393. doi: 10.13386/j.issn1002-0306.2022030191.
引用本文: 戴丛书,柴晶美,林长青. 金银花黄酮提取物的降血糖作用J. 食品工业科技,2022,43(24):386−393. doi: 10.13386/j.issn1002-0306.2022030191.
DAI Congshu, CHAI Jingmei, LIN Changqing. Hypoglycemic Effect of Flavonoid Extract from Lonicera japonica Thunb.J. Science and Technology of Food Industry, 2022, 43(24): 386−393. (in Chinese with English abstract). doi: 10.13386/j.issn1002-0306.2022030191.
Citation: DAI Congshu, CHAI Jingmei, LIN Changqing. Hypoglycemic Effect of Flavonoid Extract from Lonicera japonica Thunb.J. Science and Technology of Food Industry, 2022, 43(24): 386−393. (in Chinese with English abstract). doi: 10.13386/j.issn1002-0306.2022030191.

金银花黄酮提取物的降血糖作用

Hypoglycemic Effect of Flavonoid Extract from Lonicera japonica Thunb.

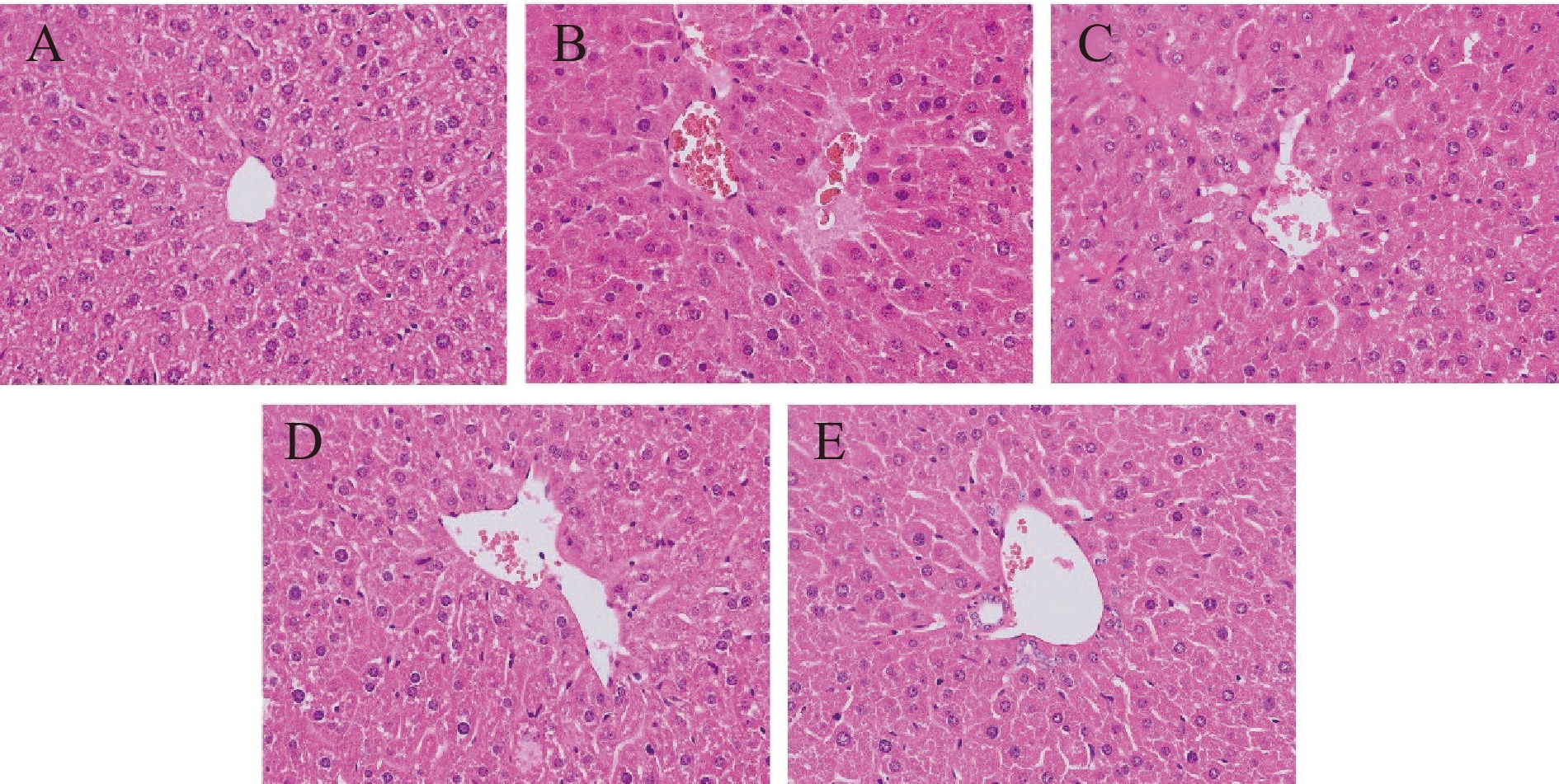
  • 摘要: 目的:研究金银花黄酮提取物的降血糖作用。方法:用75%乙醇对金银花黄酮进行超声提取,小鼠适应性喂养一周,将其分为正常组、模型组、金银花黄酮提取物低(200 mg/kg·BW)、高剂量组(400 mg/kg·BW)、阳性组(200 mg/kg·BW),除正常组外,其余各组一次性腹腔注射STZ(130 mg/kg·BW),造模成功后开始灌胃,实验期间记录小鼠体重及空腹血糖值(FBG),并进行口服糖耐量(OGTT)测试,测定小鼠血清总胆固醇(TC)、甘油三酯(TG)、高密度脂蛋白(HDL-C)、低密度脂蛋白(LDL-C)、超氧化物歧化酶(SOD)、过氧化氢酶(CAT)、谷胱甘肽(GSH)、丙二醛(MDA)的变化,ELISA法测定小鼠肿瘤坏死因子(TNF-α)、白细胞介素1β(IL-1β)、白细胞介素8(IL-8)、白细胞介素6(IL-6)的变化。结果:金银花黄酮提取物含量为43.62 mg/g,与模型组相比,试验组能够有效缓解1型糖尿病小鼠(T1DM)体重的下降,极显著降低其FBG(P<0.01),极显著提高OGTT水平(P<0.01),金银花黄酮高剂量组TC、TG、LDL-C、MDA极显著低于模型组(P<0.01),HDL-C、SOD、GSH、CAT极显著高于模型组(P<0.01)。与模型组相比,经金银花黄酮提取物治疗后的TNF-α、IL-1β、IL-8、IL-6水平极显著下降(P<0.01),并能够改善糖尿病引起的肝脏损伤。结论:金银花黄酮提取物具有较好的降血糖作用,并能够改善T1DM小鼠异常脂代谢、炎症以及肝脏损伤。

     

    Abstract: Objective: To study the hypoglycemic effect of flavonoid extract from Lonicera japonica Thunb.. Methods: 75% ethanol was used to obtain flavonoid extract from Lonicera japonica Thunb. by ultrasound. Adaptive feeding of mice for one week, then they were divided into normal group, model group, low-dose flavonoid extract (200 mg/kg·BW), high-dose flavonoid group (400 mg/kg·BW), and positive group (200 mg/kg·BW). Except for the normal group, streptozotocin (STZ) (130 mg/kg·BW) was intraperitoneally injected in the other groups at one time, and the gavage was started after the modeling was successful. Bodyweight and fasting blood glucose (FBG) values of mice were recorded and oral glucose tolerance (OGTT) test was performed during the experiment. Serum total cholesterol (TC), triglyceride (TG), high-density lipoprotein (HDL-C), low-density lipoprotein (LDL-C), superoxide dismutase (SOD), catalase (CAT), glutathione (GSH) and malondialdehyde (MDA) were determined in mice. The changes of tumor necrosis factor (TNF-α), interleukin-1β (IL-1β), interleukin (IL-8) and interleukin (IL-6) in mice were investigated by enzyme linked immunosorbent assay (ELISA). Results: The content of flavonoid extract from Lonicera japonica Thunb. was 43.62 mg/g. Compared with the model group, the test group was able to effectively alleviate the weight loss in type 1 diabetic mice (T1DM), and significantly decrease their FBG (P<0.01), significantly increase OGTT level (P<0.01). TC, TG, LDL-C and MDA in the high-dose flavonoid group were significantly lower than those in the model group (P<0.01), and HDL-C, SOD, GSH, and CAT were significantly higher than those in the model group (P<0.01). Compared with the model group, the levels of TNF-α, IL-1β, IL-8, and IL-6 were significantly decreased (P<0.01) after treated with flavonoid extract from Lonicera japonica Thunb.. It was able to improve liver damage caused by diabetes. Conclusion: Flavonoid extract from Lonicera japonica Thunb. had a good hypoglycemic effect and could improve abnormal lipid metabolism, inflammation and liver injury in T1DM mice.

     

/

返回文章
返回