• 中国科技期刊卓越行动计划项目资助期刊
  • 中国精品科技期刊
  • EI
  • Scopus
  • CAB Abstracts
  • Global Health
  • 北大核心期刊
  • DOAJ
  • EBSCO
  • 中国核心学术期刊RCCSE A+
  • 中国科技核心期刊CSTPCD
  • JST China
  • FSTA
  • 中国农林核心期刊
  • 中国开放获取期刊数据库COAJ
  • CA
  • WJCI
  • 食品科学与工程领域高质量科技期刊分级目录第一方阵T1
中国精品科技期刊2020
王海东,张涵,周泓妍,等. 响应面法优化五味子蛋白肽的制备工艺及其体外抗氧化活性J. 食品工业科技,2024,45(19):166−176. doi: 10.13386/j.issn1002-0306.2023040070.
引用本文: 王海东,张涵,周泓妍,等. 响应面法优化五味子蛋白肽的制备工艺及其体外抗氧化活性J. 食品工业科技,2024,45(19):166−176. doi: 10.13386/j.issn1002-0306.2023040070.
WANG Haidong, ZHANG Han, ZHOU Hongyan, et al. Optimization of Preparation Technology and Antioxidant Activity of Schisandrae chinensis Protein Peptides in Vitro by Response Surface MethodologyJ. Science and Technology of Food Industry, 2024, 45(19): 166−176. (in Chinese with English abstract). doi: 10.13386/j.issn1002-0306.2023040070.
Citation: WANG Haidong, ZHANG Han, ZHOU Hongyan, et al. Optimization of Preparation Technology and Antioxidant Activity of Schisandrae chinensis Protein Peptides in Vitro by Response Surface MethodologyJ. Science and Technology of Food Industry, 2024, 45(19): 166−176. (in Chinese with English abstract). doi: 10.13386/j.issn1002-0306.2023040070.

响应面法优化五味子蛋白肽的制备工艺及其体外抗氧化活性

Optimization of Preparation Technology and Antioxidant Activity of Schisandrae chinensis Protein Peptides in Vitro by Response Surface Methodology

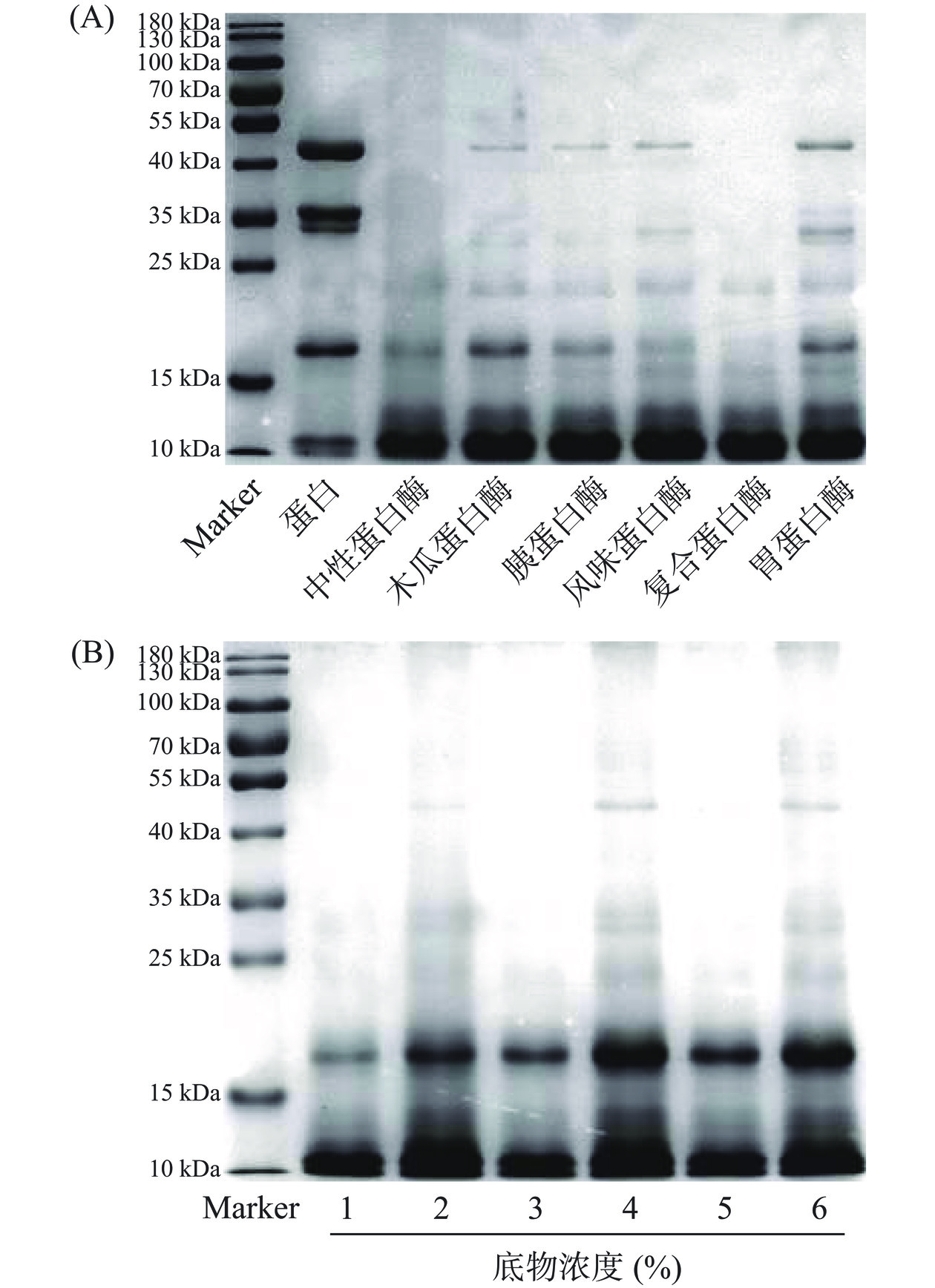
  • 摘要: 目的:获取五味子蛋白肽的最适酶和最佳制备工艺并考察其体外抗氧化活性。方法:应用7种蛋白酶酶解,基于五味子蛋白不同酶解产物的水解度、自由基清除活性、多肽得率和含量结合SDS-PAGE中分子量多指标综合评价,筛选出最适蛋白酶。以DPPH自由基清除率为考察指标,通过单因素实验结合响应面分析法确定最佳酶解工艺。以五味子蛋白为参照,分析比较五味子蛋白肽对O2·、·OH、DPPH·、ABTS+·的清除能力和Fe2+螯合能力及Fe3+还原能力。结果:制备五味子蛋白肽的最适酶为碱性蛋白酶,最佳酶解工艺参数为:底物浓度5%,酶底比1%,酶解时间3 h,酶解温度55 ℃,pH为9.0,在此条件下获得的多肽含量为88.61%,水解度为24.21%,DPPH·清除率为86.96%。五味子蛋白肽的自由基清除能力和还原能力均优于五味子蛋白。结论:本研究确定了五味子蛋白肽的最适酶和最佳水解工艺,同时指出,五味子蛋白肽具有更加优良的体外抗氧化活性,可作为一种天然的抗氧化剂。

     

    Abstract: Objective: To obtain the optimal enzyme and preparation process for Schisandra chinensis protein peptides and investigate its in vitro antioxidant activity. Methods: Seven proteases were used to hydrolyze Schisandra chinensis protein. Based on the degree of hydrolysis, free radical scavenging activity, polypeptide yield and content of different hydrolysates of Schisandra chinensis protein and the comprehensive evaluation of molecular weight in SDS-PAGE, the optimal protease was screened. The DPPH free radical scavenging rate was used as the index, and the optimal enzymatic hydrolysis process was determined by single factor test combined with response surface analysis. The scavenging ability of O2·, ·OH, DPPH·, ABTS+·, Fe2+ chelating ability and Fe3+ reducing ability of Schisandrae chinensis protein peptides were analyzed and compared with Schisandra chinensis protein. Results: The optimum enzyme for the preparation of Schisandra chinensis protein peptides was alkaline protease. The optimum enzymatic hydrolysis parameters were as follows: substrate concentration 5%, enzyme-to-substrate ratio 1%, enzymatic hydrolysis time 3 h, enzymatic hydrolysis temperature 55 ℃, pH9.0. Under these conditions, the polypeptide content was 88.61%, the degree of hydrolysis was 24.21%, and the DPPH· scavenging rate was 86.96%. The free radical scavenging ability and reducing ability of Schisandrae chinensis protein peptides were better than those of Schisandrae chinensis protein. Conclusion: This study determined the optimum enzyme and hydrolysis process of Schisandrae chinensis protein peptides, and pointed out that Schisandrae chinensis protein peptides had better antioxidant activity in vitro and could be used as a natural antioxidant.

     

/

返回文章
返回