• 中国科技期刊卓越行动计划项目资助期刊
  • 中国精品科技期刊
  • EI
  • Scopus
  • CAB Abstracts
  • Global Health
  • 北大核心期刊
  • DOAJ
  • EBSCO
  • 中国核心学术期刊RCCSE A+
  • 中国科技核心期刊CSTPCD
  • JST China
  • FSTA
  • 中国农林核心期刊
  • 中国开放获取期刊数据库COAJ
  • CA
  • WJCI
  • 食品科学与工程领域高质量科技期刊分级目录第一方阵T1
中国精品科技期刊2020
李安诺,朱禹,岳仁宋. 大枣对2型糖尿病大鼠摄食及肠道炎症损伤的影响及机制研究J. 食品工业科技,2024,45(19):307−315. doi: 10.13386/j.issn1002-0306.2023030333.
引用本文: 李安诺,朱禹,岳仁宋. 大枣对2型糖尿病大鼠摄食及肠道炎症损伤的影响及机制研究J. 食品工业科技,2024,45(19):307−315. doi: 10.13386/j.issn1002-0306.2023030333.
LI Annuo, ZHU Yu, YUE Rensong. Effect and Mechanism of Jujube on Food Intake and Intestinal Inflammatory Injury in Type 2 Diabetic RatsJ. Science and Technology of Food Industry, 2024, 45(19): 307−315. (in Chinese with English abstract). doi: 10.13386/j.issn1002-0306.2023030333.
Citation: LI Annuo, ZHU Yu, YUE Rensong. Effect and Mechanism of Jujube on Food Intake and Intestinal Inflammatory Injury in Type 2 Diabetic RatsJ. Science and Technology of Food Industry, 2024, 45(19): 307−315. (in Chinese with English abstract). doi: 10.13386/j.issn1002-0306.2023030333.

大枣对2型糖尿病大鼠摄食及肠道炎症损伤的影响及机制研究

Effect and Mechanism of Jujube on Food Intake and Intestinal Inflammatory Injury in Type 2 Diabetic Rats

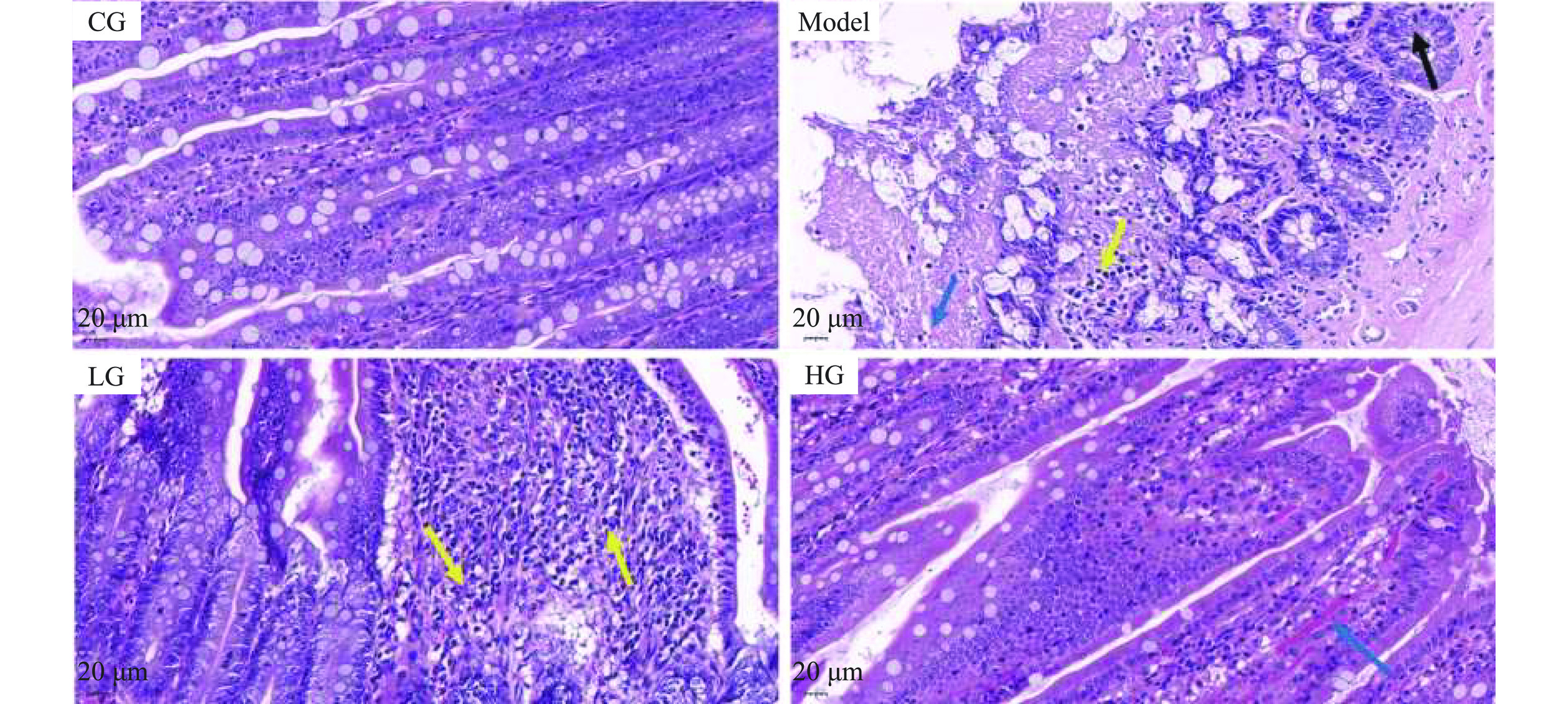
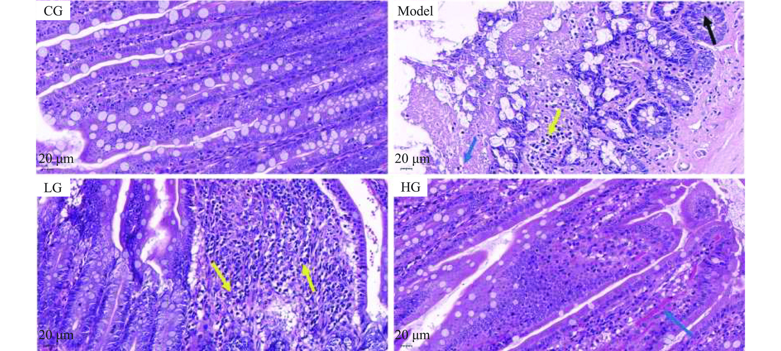
  • 摘要: 目的:探究大枣对2型糖尿病(T2DM)大鼠摄食及肠道炎症损伤的影响作用及机制。方法:SD大鼠随机分为空白组、T2DM模型组、大枣低剂量组(1.575 g/kg)、大枣高剂量组(9.45 g/kg),除空白组外,其余各组大鼠以高脂高糖饲料+链脲佐菌素(STZ)诱导T2DM模型,成模后给药组每日灌胃不同浓度的大枣溶液,连续4周。观察、记录大鼠的一般情况及摄食量、血糖等;检测大鼠血清中炎症因子白细胞介素1β(IL-1β)、肿瘤坏死因子-α(TNF-α)、胰高血糖素样肽-1(GLP-1)、酪酪肽(PYY)水平,同时观察大鼠回肠病理切片组织损伤情况及细胞凋亡情况,并检测大鼠肠道中炎症与凋亡相关基因核因子-κB p65(NF-κB p65)、含半胱氨酸的天冬氨酸蛋白水解酶-3(Caspase3)的表达,以及炎症与凋亡相关蛋白Toll样受体4(TLR4)、NF-κB p65、磷酸化NF-κB p65(p-NF-κB p65)、BCL2相关X蛋白(Bax)、B淋巴细胞瘤-2(Bcl-2)、Pro Caspase3及Cleaved Caspase3的水平。结果:与模型组相比,给药组大鼠摄食量极显著降低(P<0.01),血清中TNF-α、IL-1β水平均极显著降低(P<0.01),GLP-1水平极显著升高(P<0.01),其中PYY水平在大枣高剂量组极显著升高(P<0.01);回肠组织炎症损伤有所改善,大枣高剂量组回肠组织细胞凋亡率极显著降低(P<0.01);给药组肠道NF-κB p65Caspase3 mRNA和NF-κB p65、Cleaved Caspase3蛋白表达水平均显著下调(P<0.01,P<0.05),大枣高剂量组p-NF-κB p65、Pro Caspase3和Bax/Bcl-2蛋白表达显著下调(P<0.05,P<0.01)。结论:大枣能够增加肠道抑食性食欲激素GLP-1、PYY水平进而减少T2DM大鼠摄食量,其作用机制可能与大枣减轻T2DM大鼠肠道炎症,修复肠道损伤,恢复肠道激素的分泌有关。

     

    Abstract: Objective: To investigate the effects and underlying mechanisms of jujube on feeding behavior and intestinal inflammatory injury in rats with type 2 diabetes mellitus (T2DM). Methods: SD rats were randomly assigned to four groups: a blank control group, a T2DM model group, a low-dose jujube group (1.575 g/kg), and a high-dose jujube group (9.45 g/kg). Apart from the blank group, rats in the remaining groups were subjected to a high-fat, high-sugar diet combined with streptozotocin (STZ) administration to induce the T2DM model. Following successful model establishment, rats in the jujube groups received daily gavage with different concentrations of jujube solution for 4 consecutive weeks. General conditions, food intake, and blood glucose levels were monitored and recorded. Additionally, serum levels of inflammatory factors including interleukin-1β (IL-1β), tumor necrosis factor-α (TNF-α), glucagon-like peptide-1 (GLP-1), and peptide YY (PYY) were assayed. Histopathological analysis of the ileum was performed to assess tissue damage and cell apoptosis, and the expressions of inflammation- and apoptosis-related genes such as nuclear factor NF-κB p65 (NF-κB p65) and cysteine-aspartic acid protease-3 (Caspase3), as well as related proteins including Toll-like receptor 4 (TLR4), NF-κB p65, phosphorylated NF-κB p65 (p-NF-κB p65), BCL2-associated X protein (Bax), B-cell lymphoma-2 (Bcl-2), Pro Caspase3, and Cleaved Caspase3 were measured in the intestinal tissue. Results: Compared with the model group, the rats in the administration group exhibited a highly significant reduction in food intake (P<0.01). Serum levels of TNF-α and IL-1β were significantly decreased (P<0.01), while GLP-1 levels were markedly elevated (P<0.01). Notably, PYY levels showed a highly significant increase in the high-dose jujube group (P<0.01). Additionally, the inflammatory injury in ileal tissue improved, with a significant reduction in the apoptosis rate of ileal cells in the high-dose jujube group (P<0.01). Furthermore, the expression levels of intestinal NF-κB p65, Caspase3 mRNA, as well as NF-κB p65 and Cleaved Caspase3 proteins were significantly downregulated in the administration group (P<0.05, P<0.01). Additionally, the high-dose jujube group exhibited significant downregulation of p-NF-κB p65, Pro Caspase3, and the Bax/Bcl-2 protein ratio (P<0.05, P<0.01). Conclusion: Jujube has the potential to elevate intestinal anorexigenic hormones GLP-1 and PYY, thereby reducing food intake in T2DM rats. This effect may be mediated through jujube's ability to alleviate intestinal inflammation, repair intestinal damage, and restore intestinal hormone secretion in T2DM rats.

     

/

返回文章
返回