• 中国科技期刊卓越行动计划项目资助期刊
  • 中国精品科技期刊
  • EI
  • Scopus
  • CAB Abstracts
  • Global Health
  • 北大核心期刊
  • DOAJ
  • EBSCO
  • 中国核心学术期刊RCCSE A+
  • 中国科技核心期刊CSTPCD
  • JST China
  • FSTA
  • 中国农林核心期刊
  • 中国开放获取期刊数据库COAJ
  • CA
  • WJCI
  • 食品科学与工程领域高质量科技期刊分级目录第一方阵T1
中国精品科技期刊2020
顾璐萍,范巧,李俊华,等. 热处理方式对虾青素强化鸡蛋消化特性的影响J. 食品工业科技,2022,43(23):112−118. doi: 10.13386/j.issn1002-0306.2022060116.
引用本文: 顾璐萍,范巧,李俊华,等. 热处理方式对虾青素强化鸡蛋消化特性的影响J. 食品工业科技,2022,43(23):112−118. doi: 10.13386/j.issn1002-0306.2022060116.
GU Luping, FAN Qiao, LI Junhua, et al. Impacts of Thermal Treatment on the Digestibility of Astaxanthin-enriched EggsJ. Science and Technology of Food Industry, 2022, 43(23): 112−118. (in Chinese with English abstract). doi: 10.13386/j.issn1002-0306.2022060116.
Citation: GU Luping, FAN Qiao, LI Junhua, et al. Impacts of Thermal Treatment on the Digestibility of Astaxanthin-enriched EggsJ. Science and Technology of Food Industry, 2022, 43(23): 112−118. (in Chinese with English abstract). doi: 10.13386/j.issn1002-0306.2022060116.

热处理方式对虾青素强化鸡蛋消化特性的影响

Impacts of Thermal Treatment on the Digestibility of Astaxanthin-enriched Eggs

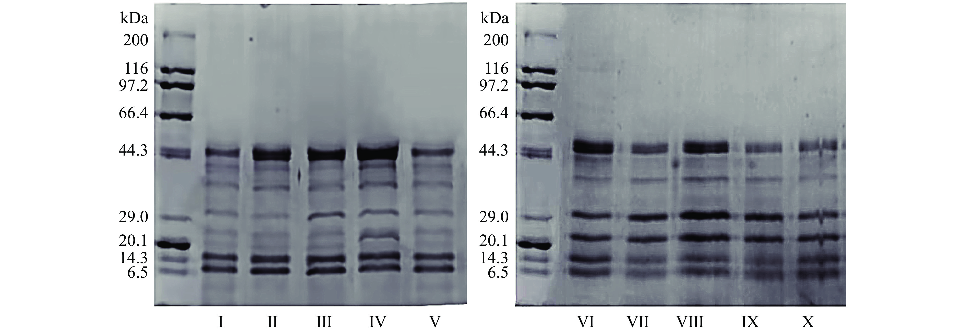
  • 摘要: 本文旨在考察温泉蛋、溏心蛋、全熟蛋、煎蛋四种热处理方式对虾青素强化鸡蛋稳定性的影响,并通过构建体外消化模型对其消化特性进行分析,包括脂肪消化率、蛋白质消化率、蛋白质分子量分布情况及虾青素的生物保留率和生物可给率。研究发现热处理会导致虾青素发生不同程度的降解,其中温泉蛋中虾青素的保留率最高,达97.21%,相比较鲜蛋,水煮蛋可以提高虾青素强化鸡蛋中脂肪和蛋白质的消化率,其中溏心蛋和温泉蛋最容易被消化,而煎蛋反而造成消化率下降。凝胶电泳图结果表明溏心蛋和温泉蛋消化完后的蛋白大分子段分布减少,证实这两种热处理方式的鸡蛋具有较高的蛋白质消化率。热处理对虾青素的生物保留率并无显著影响,为48.76%~49.47%;但水煮蛋有利于提高虾青素的生物可给率,其中溏心蛋和温泉蛋无显著性差异,具有较高的生物可给率,分别达48.76%和47.71%。以上研究结果表明,溏心虾青素强化鸡蛋可作为补充天然虾青素的一种新途径。

     

    Abstract: The objective of this study was to investigate the impacts of four thermal treatments on the stability of astaxanthin-enriched eggs (hot spring, soft-boiled, hard-boiled and pan-fried eggs). And a simulated gastrointestinal tract model was designed to evaluate the lipid and protein digestibility, molecular weight distribution of protein, biostability and bioaccessibility of astaxanthin. Results showed that thermal treatment led to the degradation of astaxanthin. Among these, soft-boiled had the highest retention ratio, 97.21%. Compared with raw eggs, boiled eggs had higher lipid and protein digestibility. Soft-boiled and hot spring eggs exhibited the highest digestibility, however, a lower digestibility was observed on the pan-fried eggs. These results were confirmed by electrophoresis analysis that the fractions with high molecular weight in the soft-boiled and hot spring eggs disappeared. There was no significant difference on the biostability of eggs astaxanthin under different thermal treatment, which was 48.76%~49.47%, while boiling eggs could effectively improve the bioaccessibility as compared with raw eggs. The soft-boiled and hot spring eggs exhibited relatively higher bioaccessibility, 48.76% and 47.71%, respectively. These results suggested that soft-boiled astaxanthin-enriched eggs could be used as a promising approach for natural astaxanthin supplementation.

     

/

返回文章
返回