• 中国科技期刊卓越行动计划项目资助期刊
  • 中国精品科技期刊
  • EI
  • Scopus
  • CAB Abstracts
  • Global Health
  • 北大核心期刊
  • DOAJ
  • EBSCO
  • 中国核心学术期刊RCCSE A+
  • 中国科技核心期刊CSTPCD
  • JST China
  • FSTA
  • 中国农林核心期刊
  • 中国开放获取期刊数据库COAJ
  • CA
  • WJCI
  • 食品科学与工程领域高质量科技期刊分级目录第一方阵T1
中国精品科技期刊2020
韩洪帅,宋秘钊,李家鑫,等. 胶原蛋白的提取及其纳米纤维的制备与表征J. 食品工业科技,2023,44(19):182−190. doi: 10.13386/j.issn1002-0306.2022100267.
引用本文: 韩洪帅,宋秘钊,李家鑫,等. 胶原蛋白的提取及其纳米纤维的制备与表征J. 食品工业科技,2023,44(19):182−190. doi: 10.13386/j.issn1002-0306.2022100267.
HAN Hongshuai, SONG Mizhao, LI Jiaxin, et al. Extraction of Collagen and Preparation and Characterization of NanofibersJ. Science and Technology of Food Industry, 2023, 44(19): 182−190. (in Chinese with English abstract). doi: 10.13386/j.issn1002-0306.2022100267.
Citation: HAN Hongshuai, SONG Mizhao, LI Jiaxin, et al. Extraction of Collagen and Preparation and Characterization of NanofibersJ. Science and Technology of Food Industry, 2023, 44(19): 182−190. (in Chinese with English abstract). doi: 10.13386/j.issn1002-0306.2022100267.

胶原蛋白的提取及其纳米纤维的制备与表征

Extraction of Collagen and Preparation and Characterization of Nanofibers

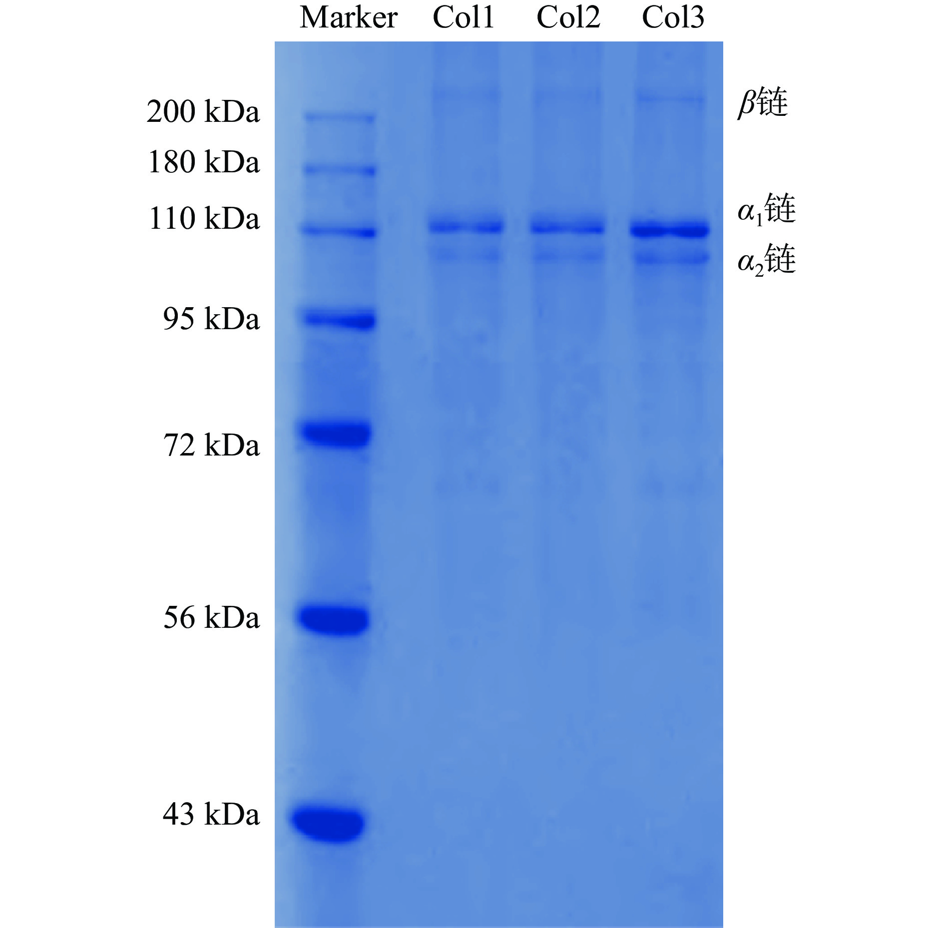
  • 摘要: 为提高羊皮中胶原蛋白的提取率和利用率,采用酸酶复合法提取羊皮胶原蛋白,再利用静电纺技术制备胶原基纳米纤维。以羊皮胶原蛋白提取率为评价指标,考察料液比、乙酸浓度、胃蛋白酶浓度和酶解时间四个因素对羊皮胶原蛋白提取效果的影响,确定单因素最优水平;在此基础上,采用正交试验设计对羊皮胶原蛋白提取的工艺条件进行优化,并通过紫外光谱扫描、红外光谱扫描、SDS-PAGE图谱和扫描电镜等生化技术探讨酶解过程对胶原蛋白结构性质的影响;然后将胶原蛋白和聚乳酸复合静电纺丝,制备得到胶原基纳米纤维。结果表明,酸酶复合法提取羊皮胶原蛋白最佳工艺为:料液比1:25 g/mL、乙酸浓度1.2 mol/L、胃蛋白酶用量1.0%、酶解时间72 h,在此条件下羊皮胶原蛋白提取率为38.42%±0.49%;紫外光谱扫描显示羊皮胶原蛋白于230 nm附近出现最大紫外吸收峰;红外光谱扫描、SDS-PAGE图谱分析表明羊皮胶原蛋白主要有α1α2β三种亚基成分组成,属于Ⅰ型胶原蛋白,且胶原蛋白的空间结构保留完整;扫描电镜直观表明了羊皮胶原蛋白的纤维网络结构保留较完整;静电纺丝得到的胶原基纳米纤维直径为418.02±183.77 nm,拉伸强度为3.616±0.386 MPa,断裂伸长率为8.69%±1.95%,物理性能优良,有做细胞支架的潜力。本研究为提高羊皮和羊皮胶原蛋白的高值化利用提供了一定的理论基础,也为胶原基纳米医用纤维产品开发提供理论支撑。

     

    Abstract: In order to improve the extraction rate and utilization rate of collagen in sheepskin, sheepskin collagen was extracted by acid enzyme compounding method, and collagen-based nanofibers were prepared by electrospinning technology. Taking the extraction rate of sheepskin collagen as the evaluation index, the effects of four factors, namely material-liquid ratio, acetic acid concentration, pepsin concentration and enzymatic hydrolysis time, on the extraction effect of sheepskin collagen were investigated, and the optimal level of single factors were determined. On this basis, the process conditions of sheepskin collagen extraction were optimized by orthogonal experimental design. The effects of enzymatic hydrolysis on the structural properties of collagen were explored by biochemical techniques such as ultraviolet spectrum scanning, infrared spectrum scanning, SDS-PAGE mapping and scanning electron microscopy. Collagen and polylactic acid were then compounded and electrospun to obtain collagen-based nanofibers. The results showed that the best process for extracting sheepskin collagen by acid enzyme compounding method was as follows: Material-liquid ratio of 1:25 g/mL, acetic acid concentration of 1.2 mol/L, pepsin dosage of 1.0%, enzymatic hydrolysis time of 72 h. Under these conditions, the extraction rate of sheepskin collagen was 38.42%±0.49%. Ultraviolet spectroscopy showed that sheepskin collagen had a maximum UV absorption peak around 230 nm. Infrared spectrum scanning and SDS-PAGE map analysis showed that sheepskin collagen was mainly composed of α1, α2 and β three subunit components, which belonged to type I collagen, and the spatial structure of collagen was intact. Scanning electron microscopy showed that the fiber network structure of sheepskin collagen was relatively intact. The collagen-based nanofibers obtained by electrospinning had a diameter of 418.02±183.77 nm, a tensile strength of 3.616±0.386 MPa, and an elongation at break of 8.69%±1.95%, which had excellent physical properties and the potential to be used as a cell scaffold. This study would provide a theoretical basis for improving the high-value utilization of sheepskin and sheepskin collagen, and also provide theoretical support for the development of collagen-based nanomedical fiber products.

     

/

返回文章
返回